Product & ReviewsAntibodies
DRP-2 antibody
Product Details
- Cat. No.
- orb106507
- Type
- Primary Antibody
- Clonality
- Polyclonal
- Host
- Rabbit

The supplier does not provide quotations for this antibody through SelectScience. You can search for similar antibodies in our Antibody Directory.
Description
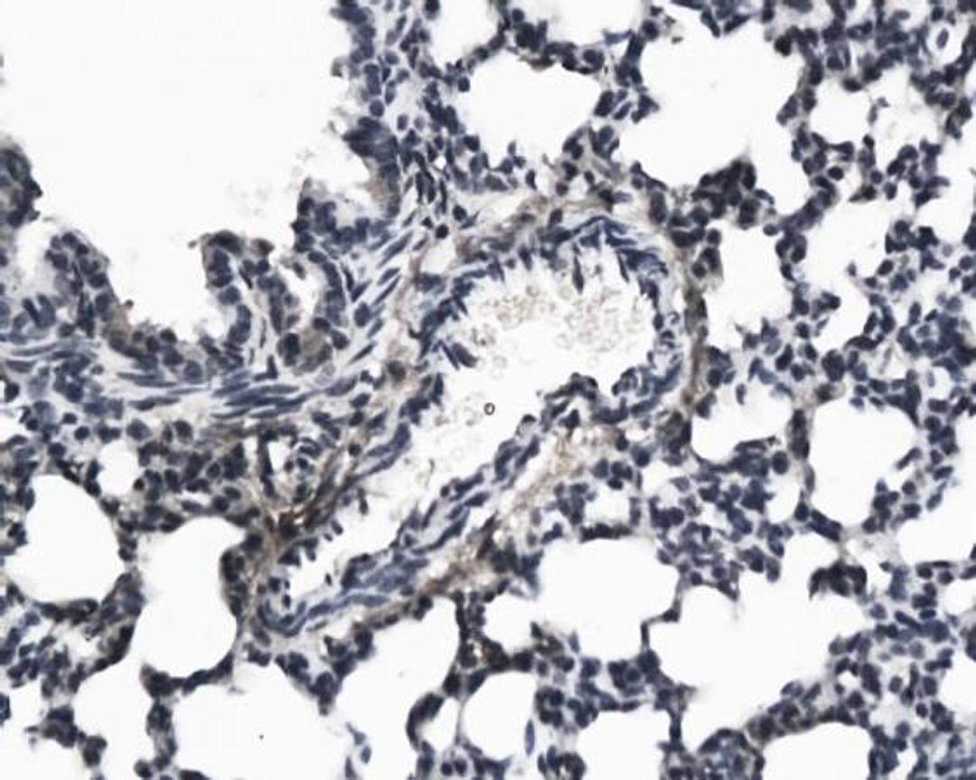
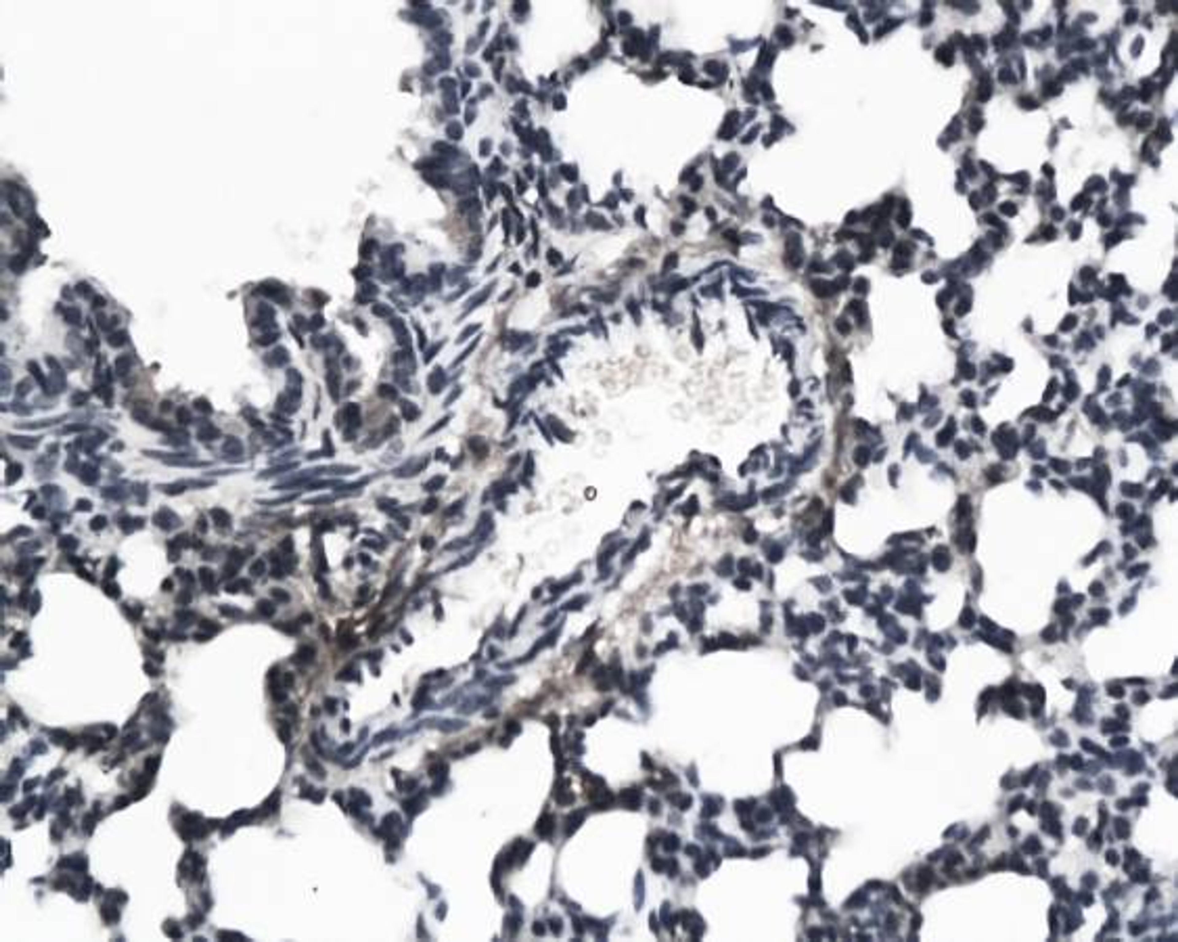
Rabbit polyclonal to DRP-2. CRMP-2 is an enzyme with dihydropyrimidinase activity. Plays a role in RhoA-dependent signaling, through interaction with and regulation of Rho kinase. Plays a role in neurogenesis. Aberrantly expressed in fetal Down syndrome b
Biological Information
- Clonality: Polyclonal
- Host: Rabbit
- Reactivity: Human, Mammalian, Mouse
- Isotype: IgG
Handling
- Quantity: 200 µg
- Storage: Store at -20°C. Aliquot to avoid freeze/thaw cycles.
- Buffer: Provided as solution in phosphate buffered saline with 0.08% sodium azide
Applications
- Immunofluorescence (Paraffin-Embedded Sections) (IF (P))
- Immunohistochemistry (Paraffin-Embedded Sections) (IHC (P))
- Western Blotting (WB)


