Product & ReviewsAntibodies
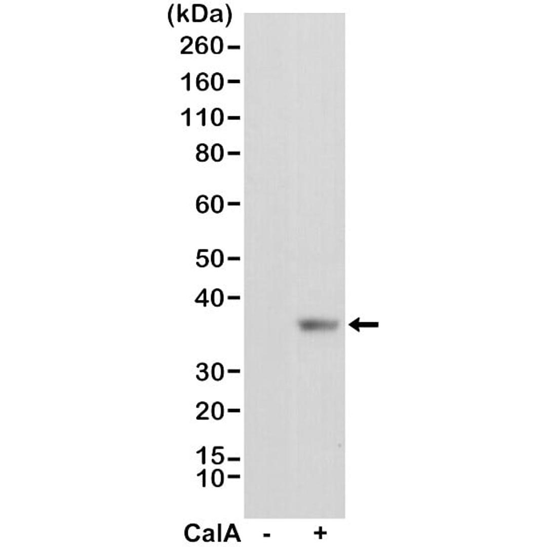
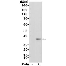
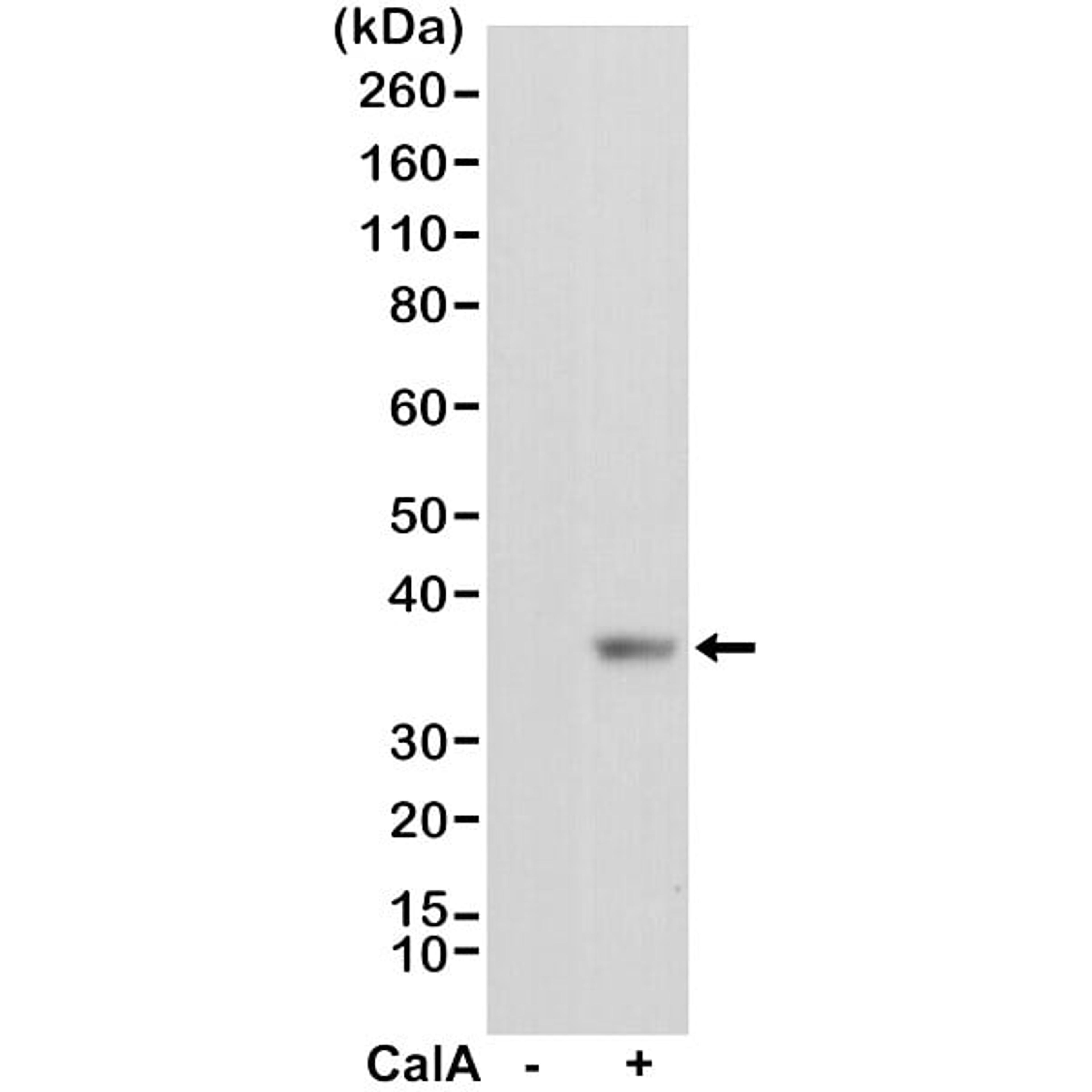
EIF2S1 (PSER51)
Product Details
- Cat. No.
- MCA6325
- Type
- Primary Antibody
- Clonality
- Monoclonal
- Host
- Rabbit

The supplier does not provide quotations for this antibody through SelectScience. You can search for similar antibodies in our Antibody Directory.
Description
RABBIT ANTI EIF2S1 (PSER51)
Biological Information
- Clonality: Monoclonal
- Host: Rabbit
Handling
- Quantity: 0.1 ml


