Product & ReviewsAntibodies
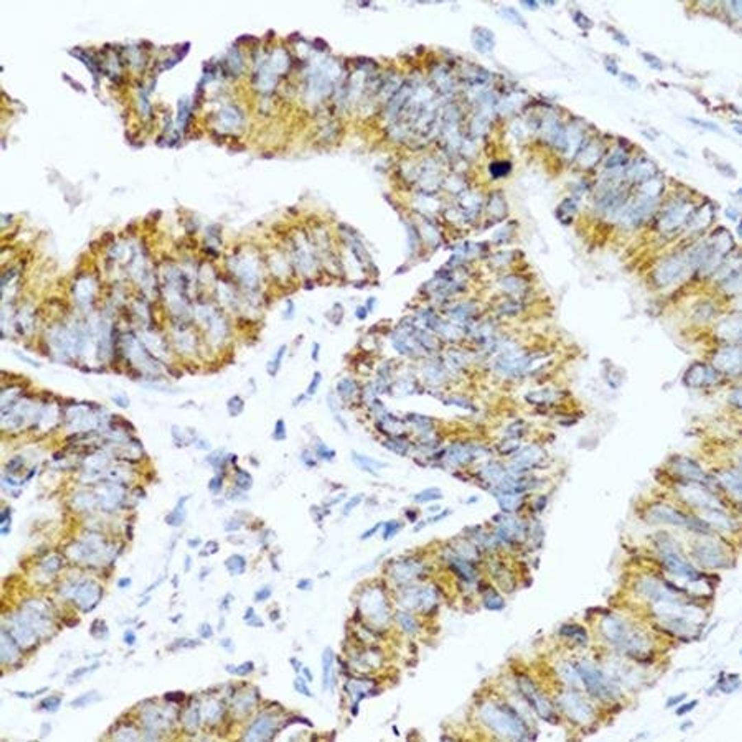
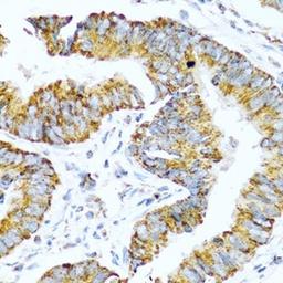
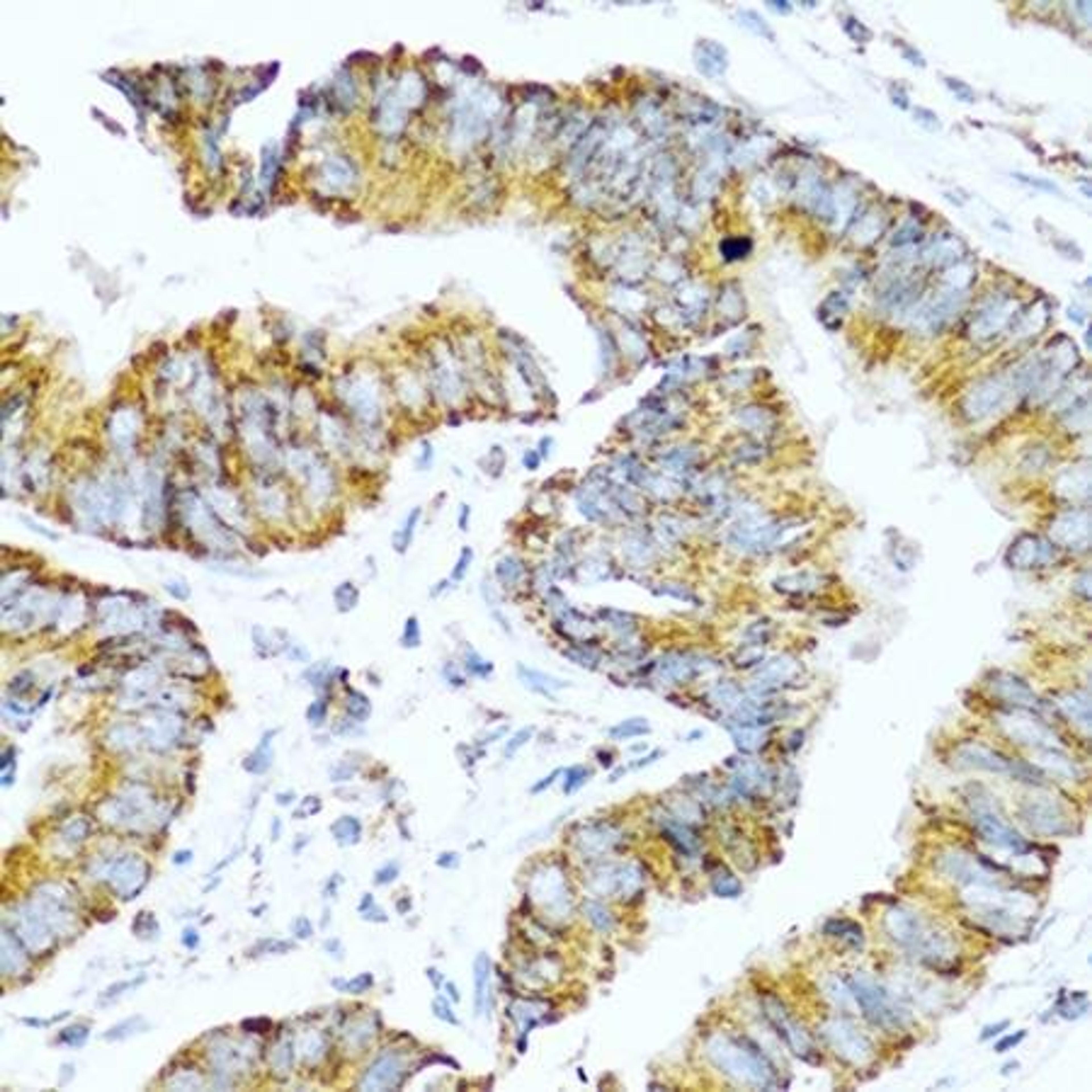
FAS (phospho-Tyr291) antibody
Product Details
- Cat. No.
- orb129605
- Type
- Primary Antibody
- Clonality
- Polyclonal
- Host
- Rabbit

The supplier does not provide quotations for this antibody through SelectScience. You can search for similar antibodies in our Antibody Directory.
Description
Rabbit polyclonal to FAS (phospho-Tyr291).
Biological Information
- Clonality: Polyclonal
- Host: Rabbit
- Reactivity: Human
- Isotype: IgG
Handling
- Quantity: 100 µl
- Storage: Aliquot and store at -20°C or -80°C. Avoid repeated freeze/thaw cycles.
- Buffer: Buffer: TBS (pH7.4), 0.5% BSA, 25% Glycerol. Preservative: 0.05% Sodium Azide
Applications
- Western Blotting (WB)


