Product & ReviewsAntibodies
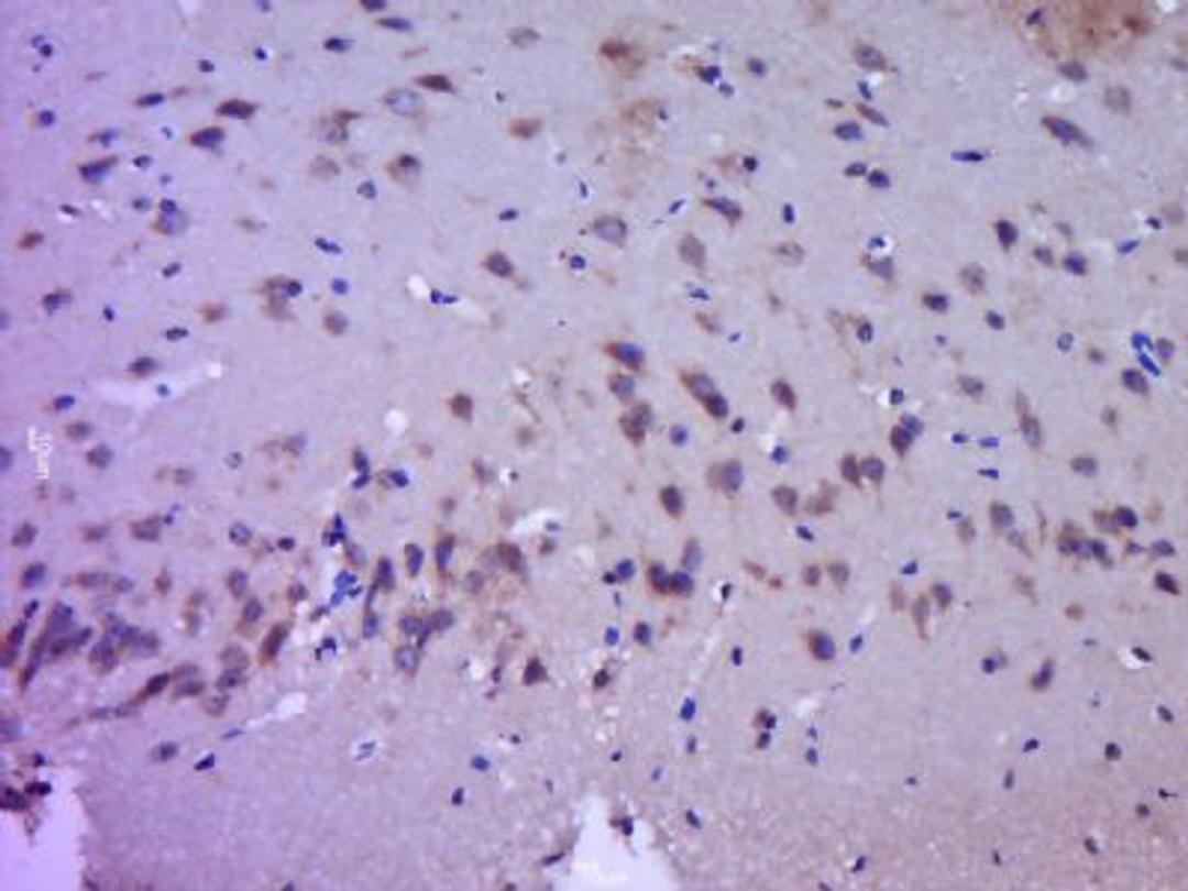
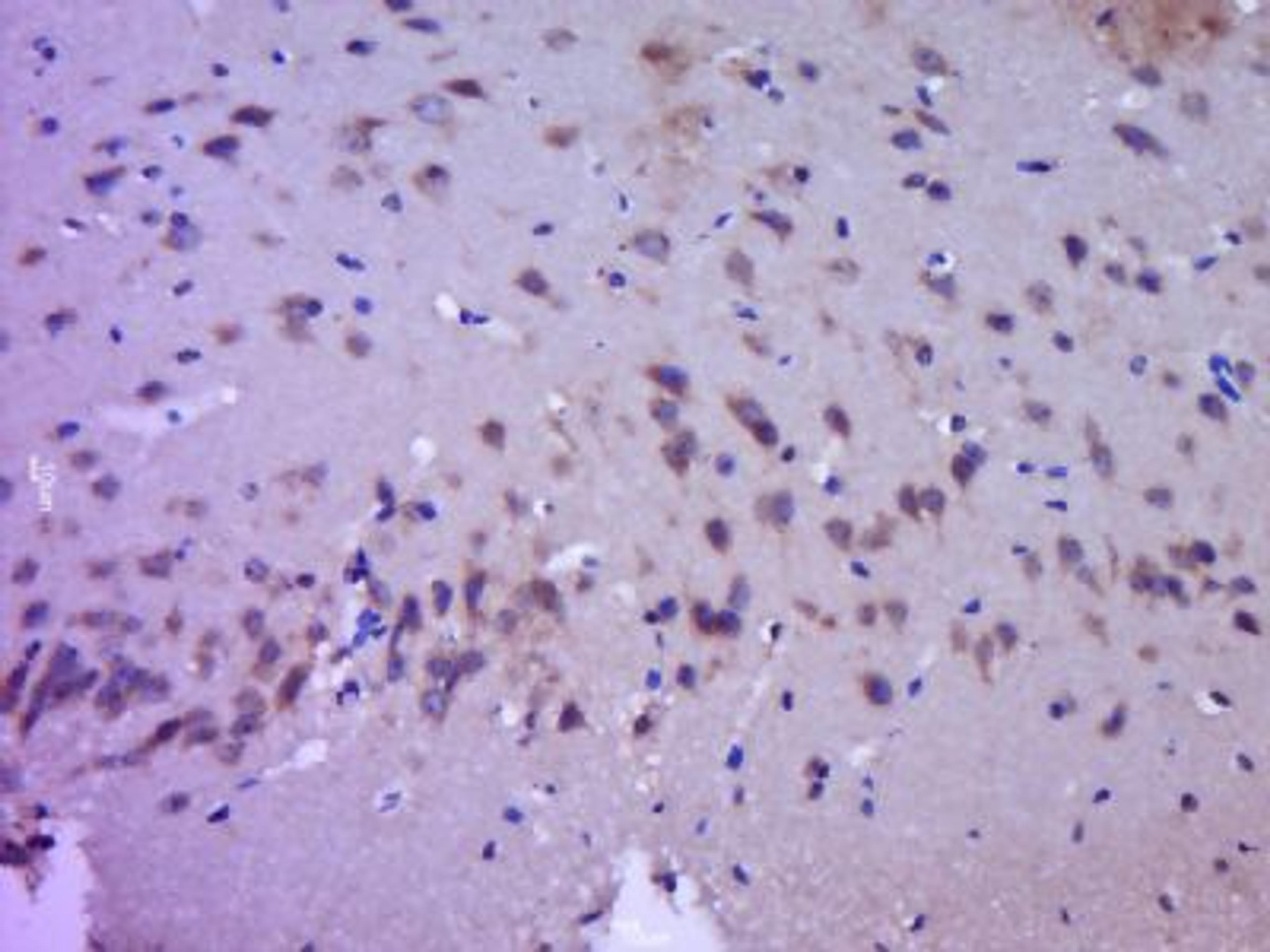
ganglioside GM1 antibody
Product Details
- Cat. No.
- orb312249
- Type
- Primary Antibody
- Clonality
- Polyclonal
- Host
- Rabbit

The supplier does not provide quotations for this antibody through SelectScience. You can search for similar antibodies in our Antibody Directory.
Description
Rabbit polyclonal antibody to ganglioside GM1
Biological Information
- Clonality: Polyclonal
- Host: Rabbit
- Reactivity: Guinea Pig, Human, Mammalian, Mouse
- Isotype: IgG
- Gene: 140775
Handling
- Quantity: 100 µg, 200 µg
- Storage: Store at 4°C for up to two weeks. For long term storage, aliquot and store at -20°C, avoid freeze/thaw cycles.
- Buffer: 0.01M TBS (pH7.4) 0.5% BSA 0.015% Proclin300 25% glycerol
Applications
- ELISA (ELISA)
- Flow Cytometry (FC)
- Immunohistochemistry (Frozen Sections) (IHC (Fr))
- Immunohistochemistry (Paraffin-Embedded Sections) (IHC (P))


