Product & ReviewsAntibodies
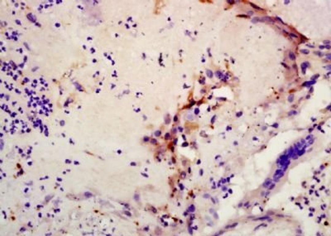
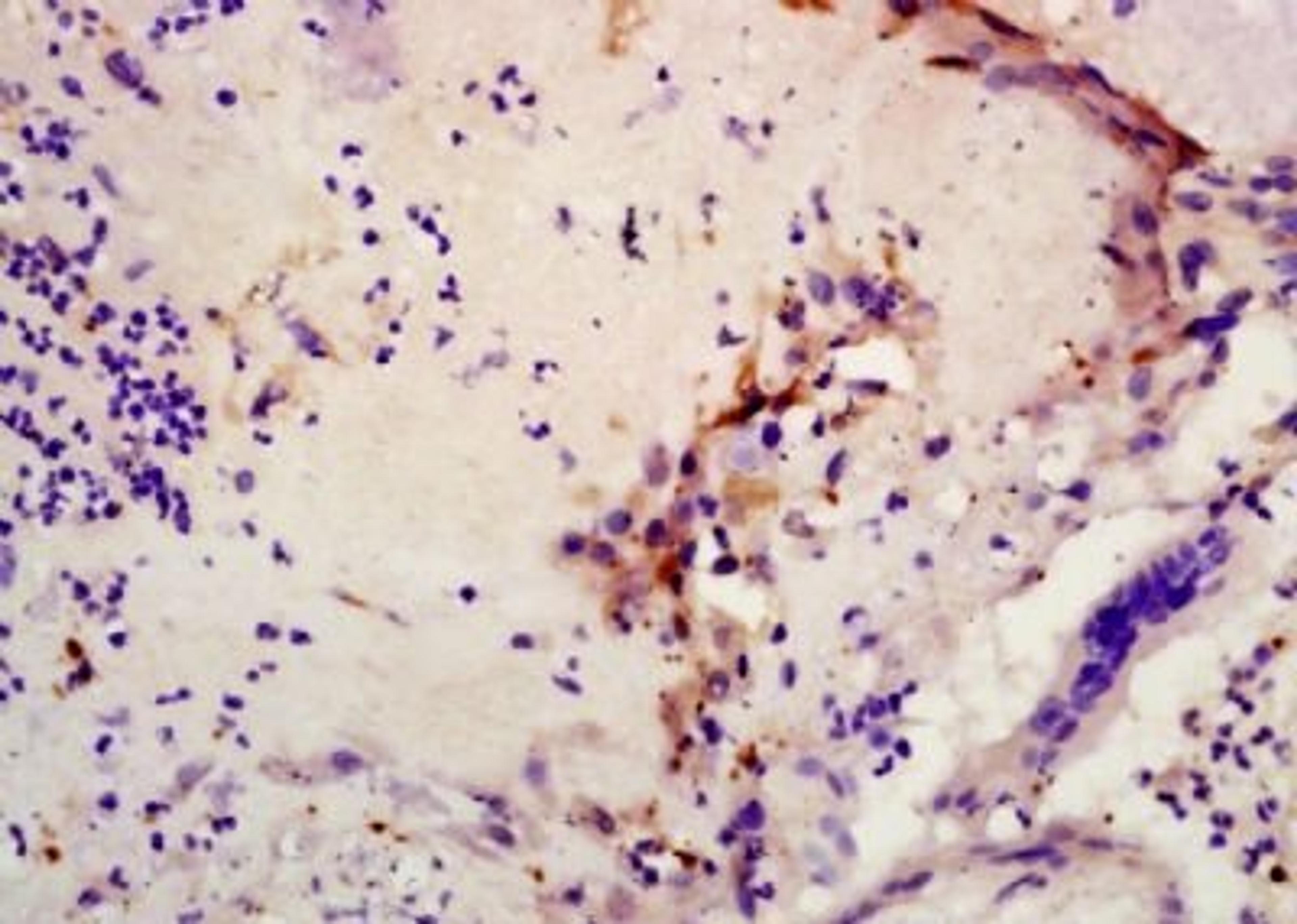
GATA4 antibody
Product Details
- Cat. No.
- orb13419
- Type
- Primary Antibody
- Clonality
- Polyclonal
- Host
- Rabbit

The supplier does not provide quotations for this antibody through SelectScience. You can search for similar antibodies in our Antibody Directory.
Description
Rabbit polyclonal antibody to GATA4. The protein acts as a transcriptional activator of ANF in cooperation with NKX2-5 (By similarity) also is expressed in embryonic brain and liver HeLa and endothelial cells as well as in erythroid cells. Additionally, i
Biological Information
- Clonality: Polyclonal
- Host: Rabbit
- Reactivity: Human, Mammalian, Mouse
- Isotype: IgG
- Gene: 1271
Handling
- Quantity: 50 µl, 100 µl, 200 µl
- Storage: Store at -20°C. Avoid freeze / thaw cycles
- Buffer: PBS with 0.02% sodium azide, 50% glycerol, pH7.3.
Applications
- ELISA (ELISA)
- Immunohistochemistry (Paraffin-Embedded Sections) (IHC (P))
- Immunoprecipitation (IP)
- Western Blotting (WB)


