Product & ReviewsAntibodies
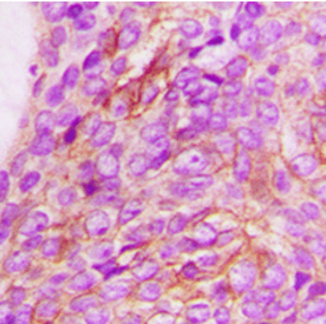
GRIN2B (Phospho-Y1336) antibody
Product Details
- Cat. No.
- orb393307
- Type
- Primary Antibody
- Clonality
- Polyclonal
- Host
- Rabbit

The supplier does not provide quotations for this antibody through SelectScience. You can search for similar antibodies in our Antibody Directory.
Description
Rabbit polyclonal antibody to GRIN2B (Phospho-Y1336)
Biological Information
- Clonality: Polyclonal
- Host: Rabbit
- Reactivity: Human, Mammalian, Mouse
- Isotype: IgG
Handling
- Quantity: 400 µl
- Storage: Aliquot and store at -20°C or -80°C. Avoid repeated freeze/thaw cycles.
- Buffer: Supplied in PBS with 0.09% (W/V) sodium azide.
Applications
- Immunohistochemistry (Paraffin-Embedded Sections) (IHC (P))
- Western Blotting (WB)


