Product & ReviewsAntibodies
H1N1 HA antibody
Product Details
- Cat. No.
- orb10762
- Type
- Primary Antibody
- Clonality
- Polyclonal
- Host
- Rabbit

The supplier does not provide quotations for this antibody through SelectScience. You can search for similar antibodies in our Antibody Directory.
Description
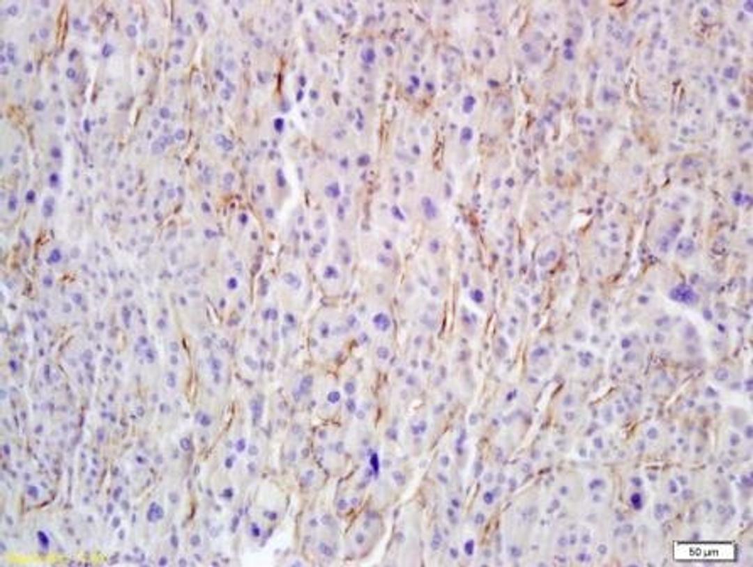
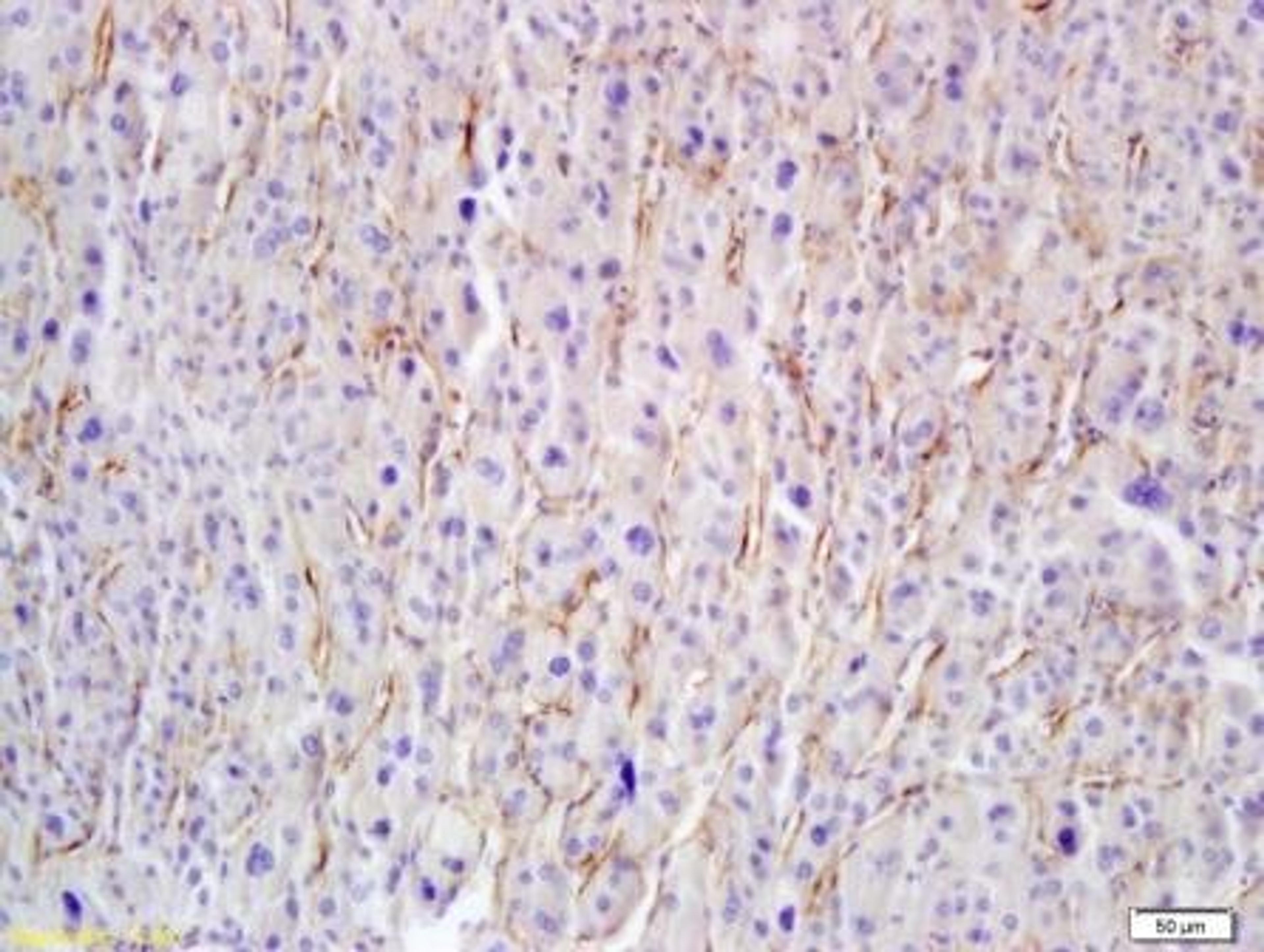
Rabbit polyclonal to H1N1 HA.
Biological Information
- Clonality: Polyclonal
- Host: Rabbit
- Reactivity: Virus
- Isotype: IgG
Handling
- Quantity: 100 µg
- Storage: Store at 4°C.for up to two weeks. For long term storage, aliquot and store at -20°C. Avoid freeze/thaw cycles.
- Buffer: 10 mM PBS, pH 7.4 with 10 mg/ml BSA, 0.03% Proclin 300 and 25% glycerol
Applications
- ELISA (ELISA)
- Immunohistochemistry (Paraffin-Embedded Sections) (IHC (P))
- Western Blotting (WB)


