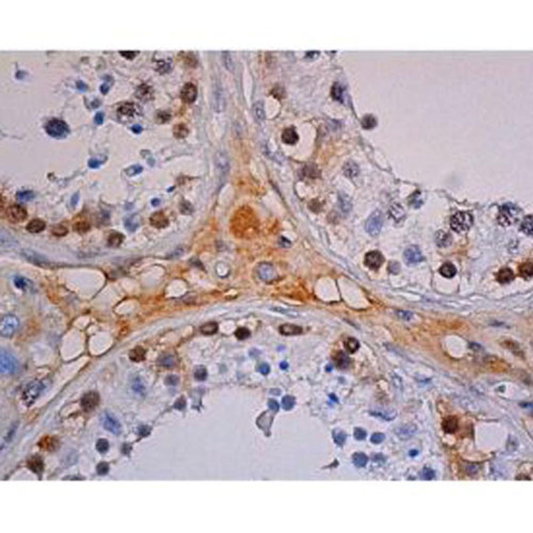
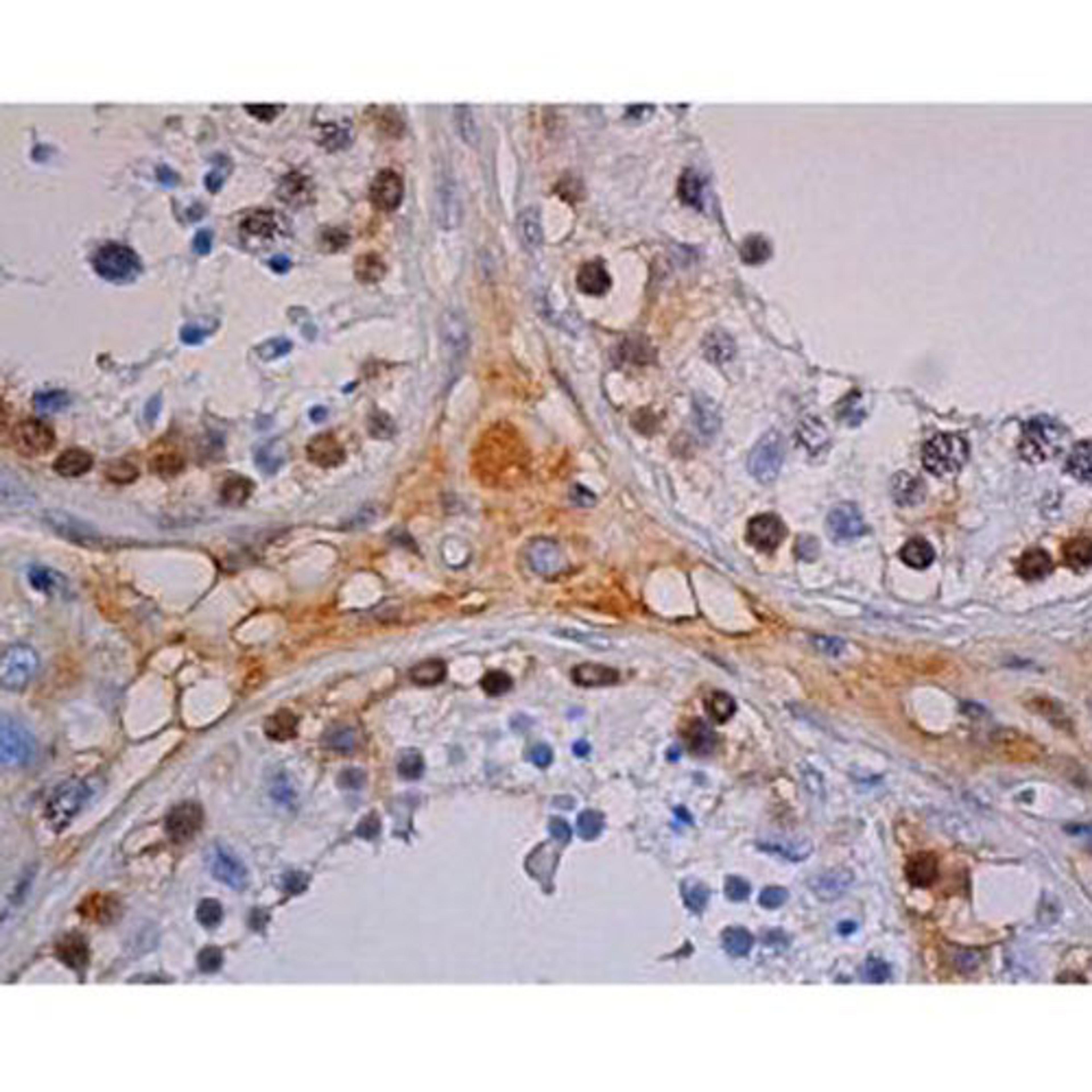
HIF-1α Antibody (28b)
Product Details
- Cat. No.
- sc-13515
- Type
- Primary Antibody
- Clonality
- Monoclonal
- Host
- Mouse
The supplier does not provide quotations for this antibody through SelectScience. You can search for similar antibodies in our Antibody Directory.
Description
HIF-1α Antibody (28b) is a high quality monoclonal HIF-1 alpha antibody (also designated HIF1A antibody or HIF-1 alpha antibody) suitable for the detection of the HIF-1 alpha protein of mouse, rat and human origin. HIF-1α Antibody (28b) is available as both the non-conjugated anti-HIF-1 alpha antibody form, as well as multiple conjugated forms of anti-HIF-1 alpha antibody, including agarose, HRP, PE, FITC and multiple Alexa Fluor® conjugates. Cell growth and viability is compromised by oxygen deprivation (hypoxia). Hypoxia-inducible factors, including HIF-1α, HIF-1β (also designated Arnt 1), EPAS-1 (also designated HIF-2α) and HIF-3α, induce glycolysis, erythropoiesis and angiogenesis in order to restore oxygen homeostasis. Hypoxia-inducible factors are members of the Per-Arnt-Sim (PAS) domain transcription factor family. In response to hypoxia, HIF-1α is upregulated and forms a heterodimer with Arnt 1 to form the HIF-1 complex. The HIF-1 complex recognizes and binds to the hypoxia responsive element (HRE) of hypoxia-inducible genes, thereby activating transcription. Hypoxia-inducible expression of some genes such as Glut-1, p53, p21 or Bcl-2, is HIF-1α dependent, whereas expression of others, such as p27, GADD 153 or HO-1, is HIF-1α independent. EPAS-1 and HIF-3α have also been shown to form heterodimeric complexes with Arnt 1 in response to hypoxia.
Biological Information
- Clonality: Monoclonal
- Host: Mouse
- Reactivity: Human, Mouse, Rat
Handling
- Quantity: 200 µg/ml
- Specificity: 5
Applications
- Immunofluorescence (IF)
- Immunohistochemistry (Paraffin-Embedded Sections) (IHC (P))
- Immunoprecipitation (IP)
- Western Blotting (WB)
Well done.
Molecular biology
It was really nice to deal with it. It worked on my samples and also it was nice to keep it in fridge at 4 degrees.
Review Date: 15 Jul 2020 | Santa Cruz Biotechnology Inc.


