Product & ReviewsAntibodies
HMGCR (phospho-Ser872) antibody
Product Details
- Cat. No.
- orb6191
- Type
- Primary Antibody
- Clonality
- Polyclonal
- Host
- Rabbit

The supplier does not provide quotations for this antibody through SelectScience. You can search for similar antibodies in our Antibody Directory.
Description
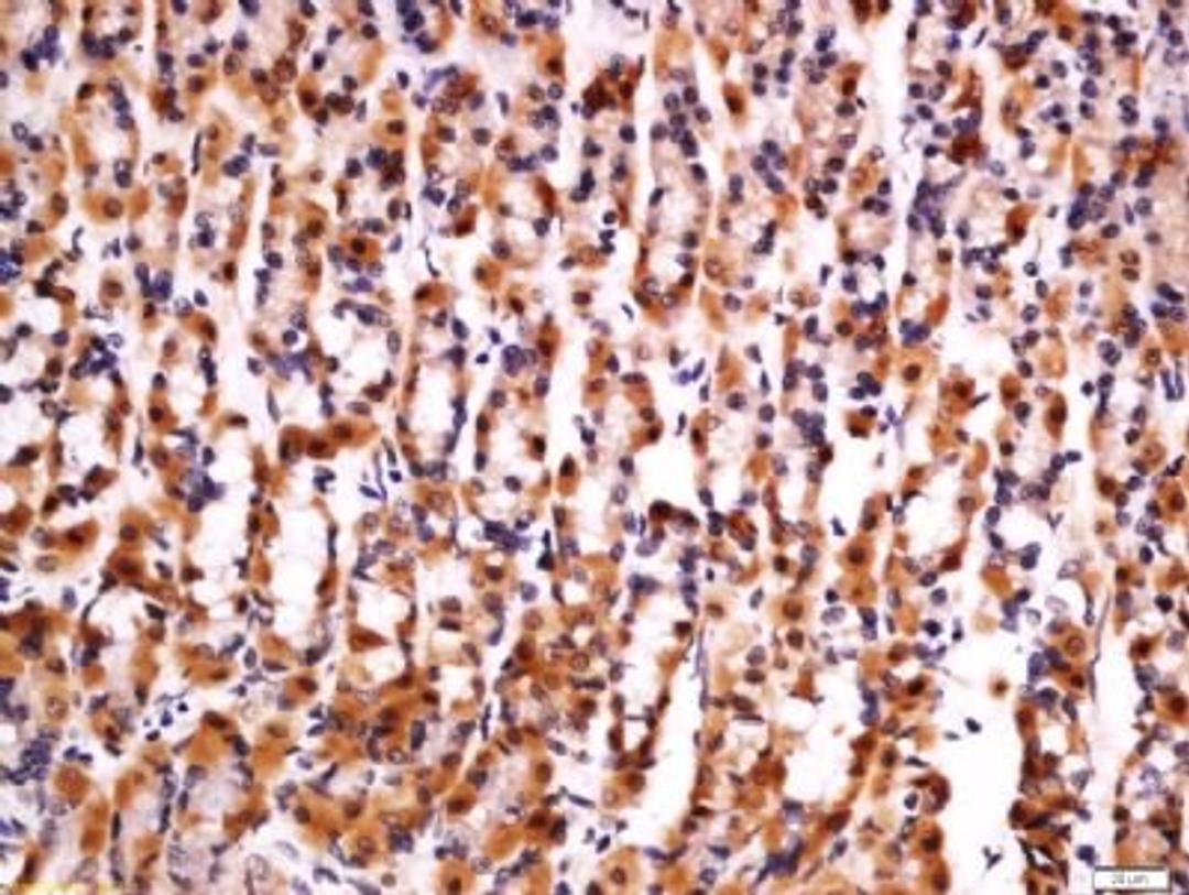
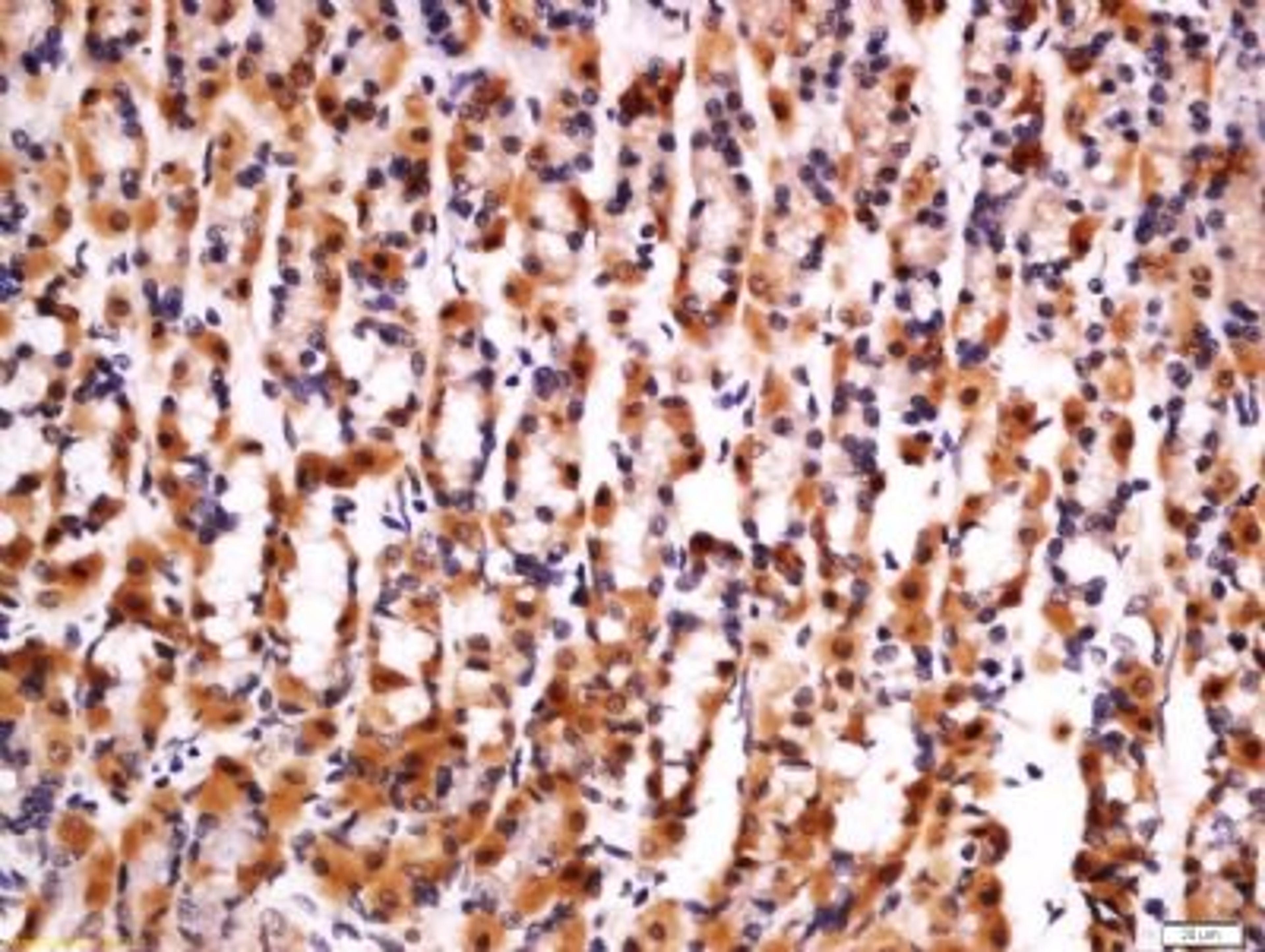
Rabbit polyclonal antibody to HMGCR which is also known as HMG-CoA reductase whose expression can be detected in the blood and brain but it is majorly expressive in the suprapubic skin and adrenal gland. It is found in the endoplasmic reticulum. It can pe
Biological Information
- Clonality: Polyclonal
- Host: Rabbit
- Reactivity: Bovine, Human, Mammalian, Mouse, Rabbit (Lapine)
- Isotype: IgG
Handling
- Quantity: 25 µg, 100 µg
- Storage: At -20°C for one year. After reconstitution at 4°C for two weeks. It can also be aliquotted and stored frozen at -20°C for a longer time.
- Buffer: PBS ph7.4, 50% glycerol
Applications
- ELISA (ELISA)
- Immunofluorescence (Paraffin-Embedded Sections) (IF (P))
- Immunohistochemistry (Frozen Sections) (IHC (Fr))
- Immunohistochemistry (Paraffin-Embedded Sections) (IHC (P))


