Product & ReviewsAntibodies
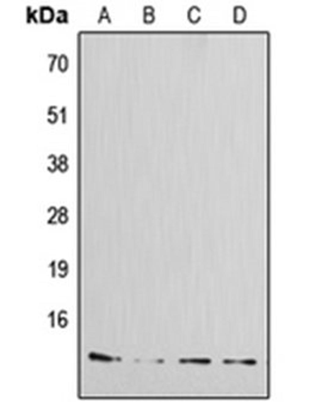
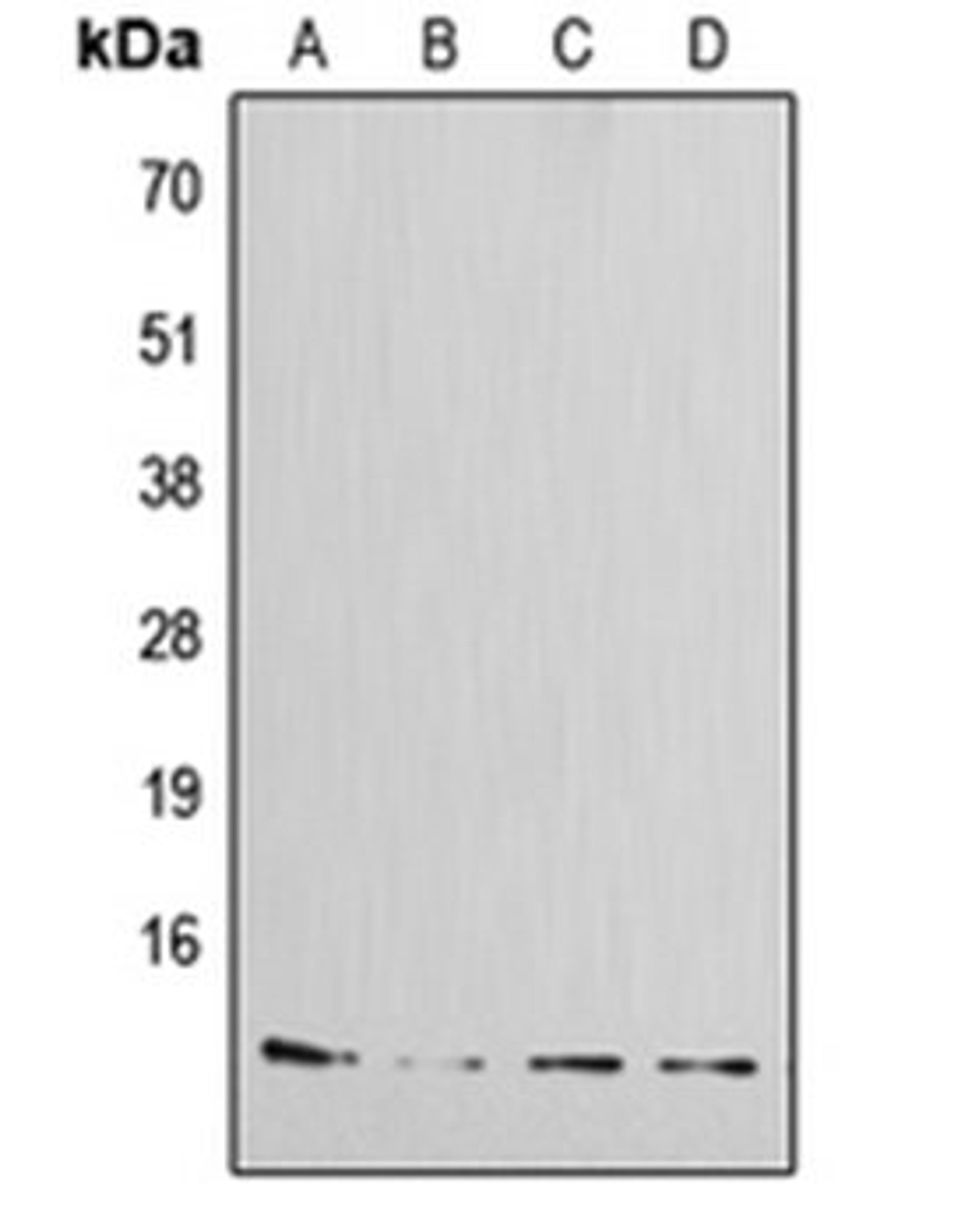
HOXD12 antibody
Product Details
- Cat. No.
- orb214055
- Type
- Primary Antibody
- Clonality
- Polyclonal
- Host
- Rabbit

The supplier does not provide quotations for this antibody through SelectScience. You can search for similar antibodies in our Antibody Directory.
Description
Rabbit polyclonal antibody to HOXD12
Biological Information
- Clonality: Polyclonal
- Host: Rabbit
- Reactivity: Dog (Canine), Human, Mammalian, Mouse
- Isotype: IgG
- Gene: 5005
Handling
- Quantity: 200 µl, 30 µl (Trial size), 100 µl
- Storage: Store at 4°C for short term and at -20°C for long term storage. Avoid freeze/thaw cycles.
- Buffer: Liquid in 0.42% Potassium phosphate, 0.87% Sodium chloride, pH 7.3, 30% glycerol, and 0.01% sodium azide.
Applications
- Immunohistochemistry (Paraffin-Embedded Sections) (IHC (P))
- Immunoprecipitation (IP)
- Western Blotting (WB)


