Product & ReviewsAntibodies
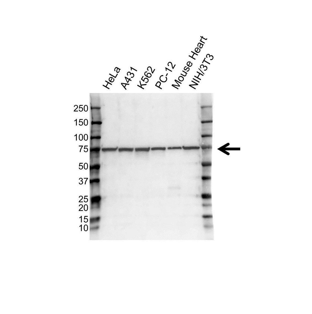
HSC70
Product Details
- Cat. No.
- VMA00600
- Type
- Primary Antibody
- Clonality
- Monoclonal
- Host
- Human

The supplier does not provide quotations for this antibody through SelectScience. You can search for similar antibodies in our Antibody Directory.
Description
HUMAN ANTI HSC70
Biological Information
- Clonality: Monoclonal
- Host: Human
Handling
- Quantity: 100 µl


