Product & ReviewsAntibodies
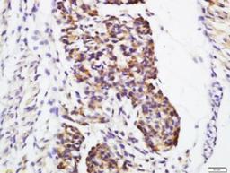
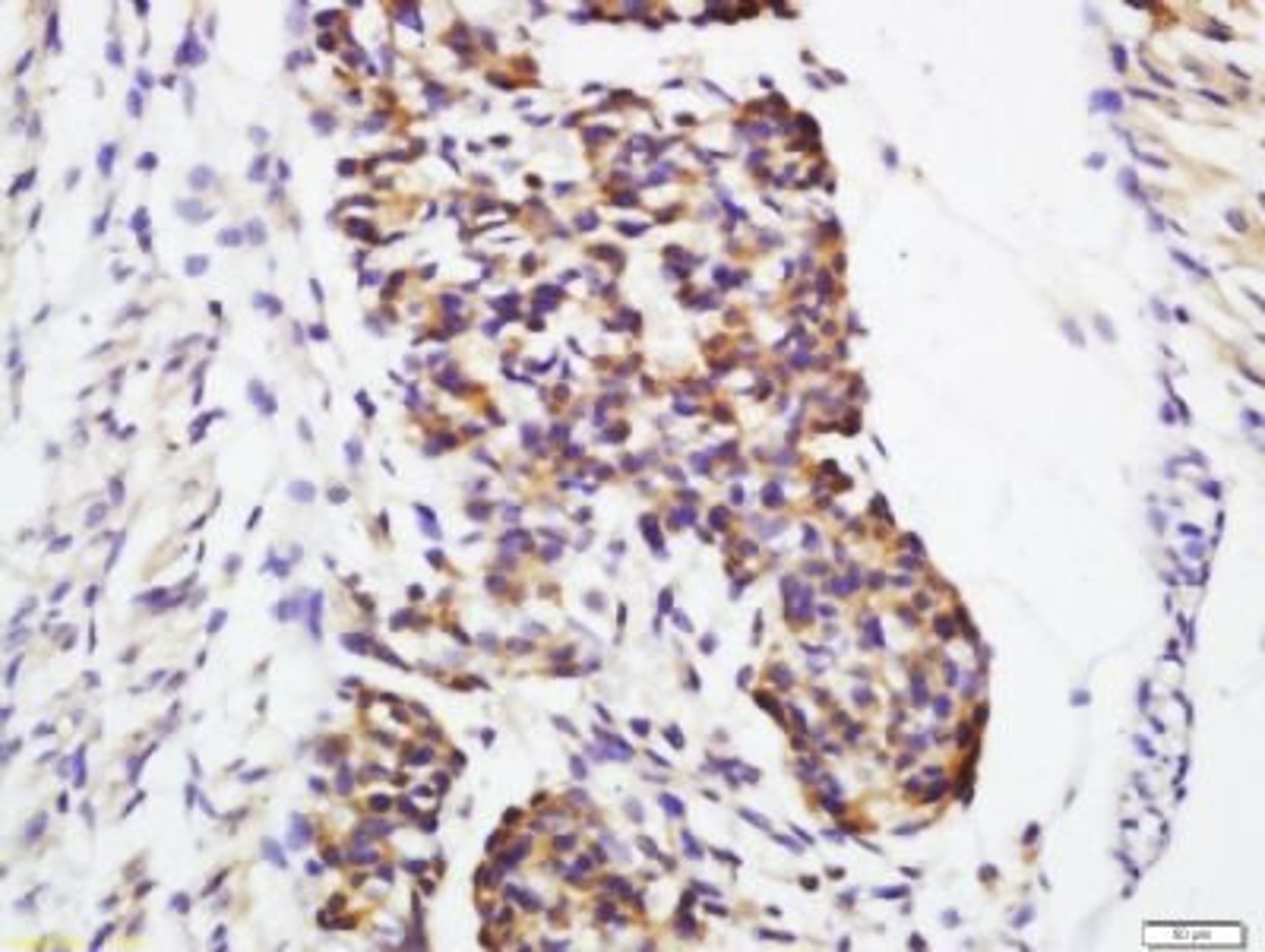
Human Fibrinogen anitbody
Product Details
- Cat. No.
- orb4239
- Type
- Primary Antibody
- Clonality
- Polyclonal
- Host
- Rabbit

The supplier does not provide quotations for this antibody through SelectScience. You can search for similar antibodies in our Antibody Directory.
Description
Rabbit polyclonal antibody to Human Fibrinogen anitbody
Biological Information
- Clonality: Polyclonal
- Host: Rabbit
- Reactivity: Human
- Isotype: IgG
Handling
- Quantity: 100 tests
- Storage: Store at 2-8°C.
- Buffer: PBS containing 15 mM sodium azide and 0.2% (w/v) high-grade protease free BSA as a stabilizing agent.
Applications
- ELISA (ELISA)
- Immunohistochemistry (Paraffin-Embedded Sections) (IHC (P))
- Western Blotting (WB)


