Product & ReviewsAntibodies
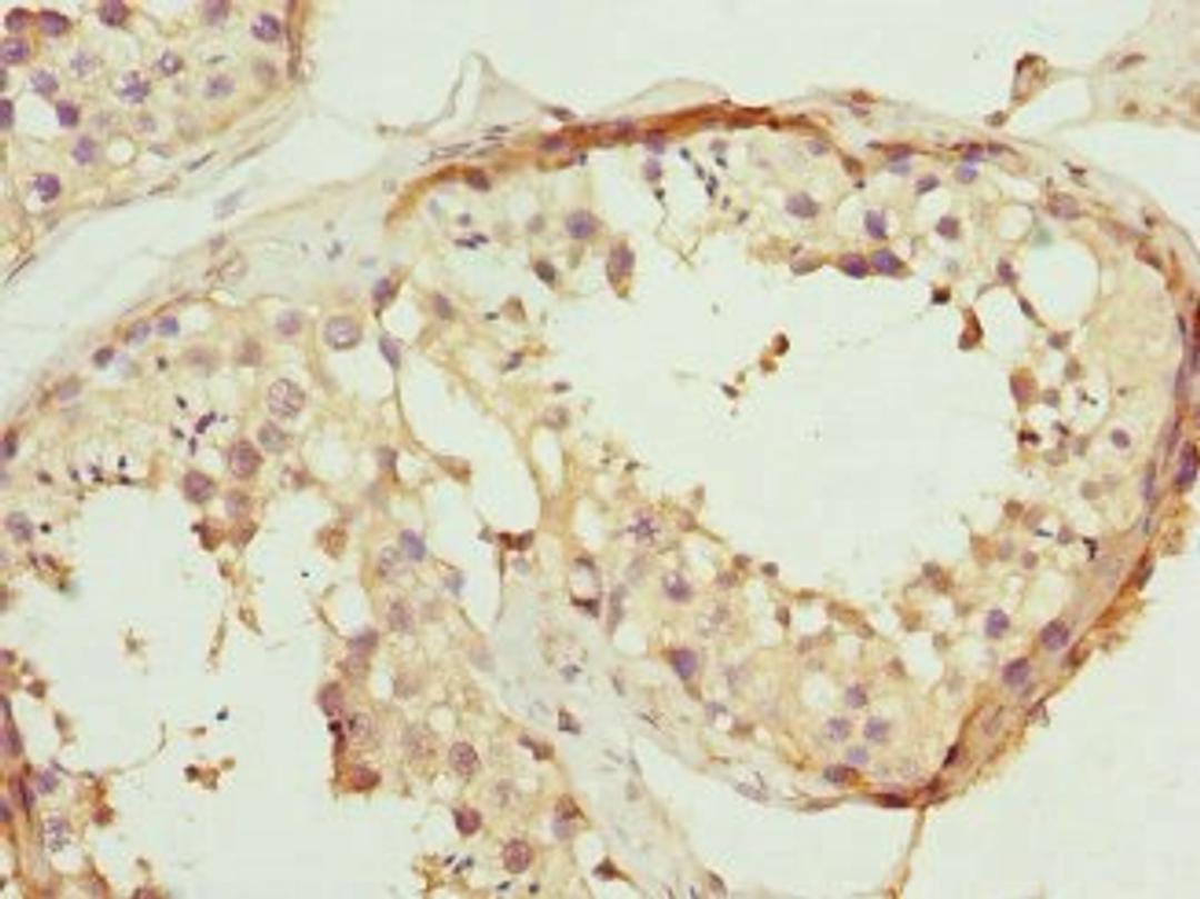
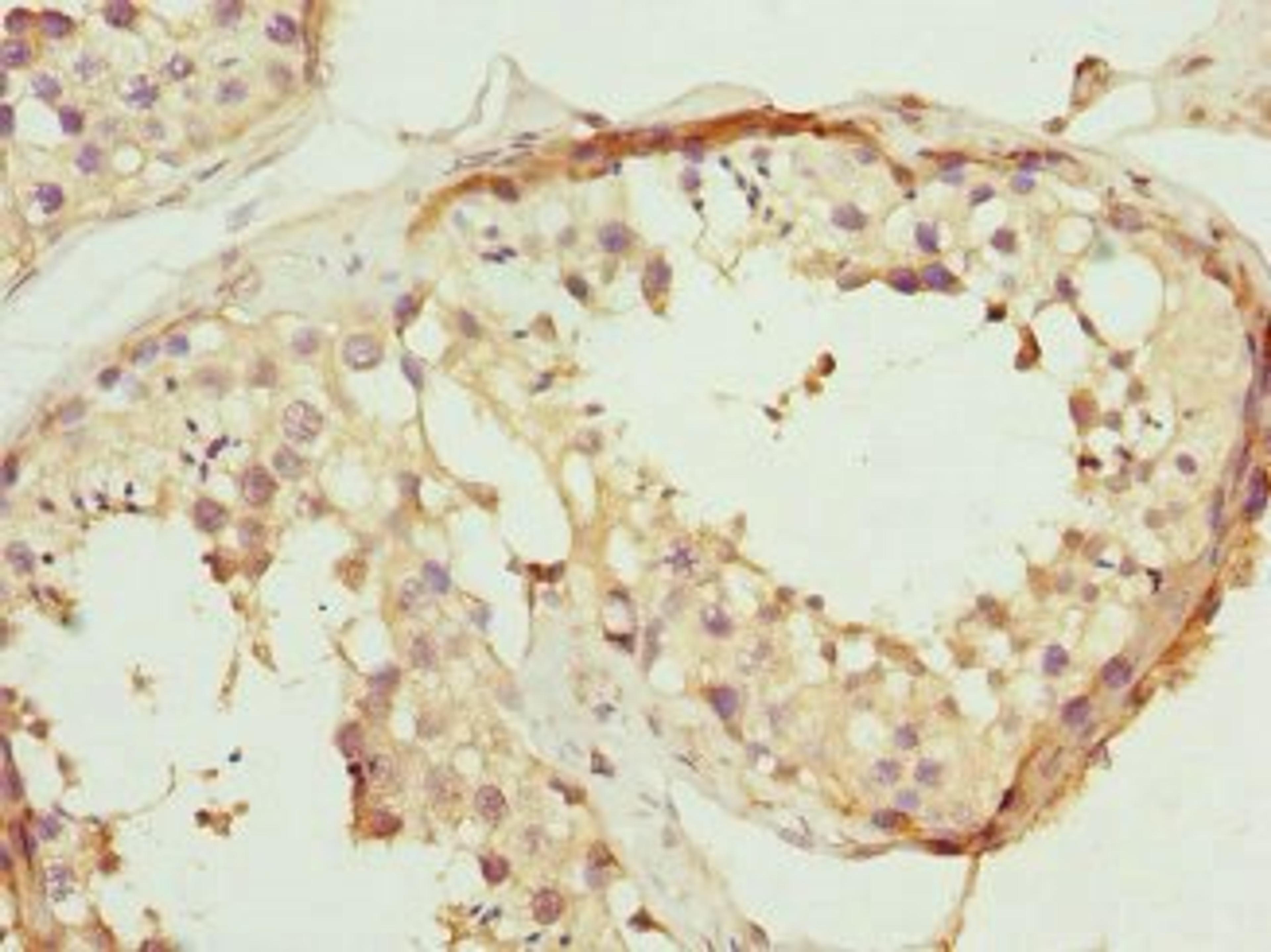
hupB antibody
Product Details
- Cat. No.
- orb400280
- Type
- Primary Antibody
- Clonality
- Polyclonal
- Host
- Rabbit

The supplier does not provide quotations for this antibody through SelectScience. You can search for similar antibodies in our Antibody Directory.
Description
Rabbit polyclonal antibody to hupB
Biological Information
- Clonality: Polyclonal
- Host: Rabbit
- Reactivity: Bacteria
- Isotype: IgG
- Gene: 57151
Handling
- Quantity: 50 µl, 100 µl
- Storage: Store at 4°C for up to two weeks. For long term storage, aliquot and store at -20°C, avoid freeze/thaw cycles.
- Buffer: 0.42% Potassium phosphate, 0.87% Sodium chloride, pH 7.3, 30% glycerol, and 0.01% sodium azide.
Applications
- ELISA (ELISA)
- Western Blotting (WB)


