Product & ReviewsAntibodies
IKK Alpha + IKK beta antibody
Product Details
- Cat. No.
- orb157675
- Type
- Primary Antibody
- Clonality
- Polyclonal
- Host
- Rabbit

The supplier does not provide quotations for this antibody through SelectScience. You can search for similar antibodies in our Antibody Directory.
Description
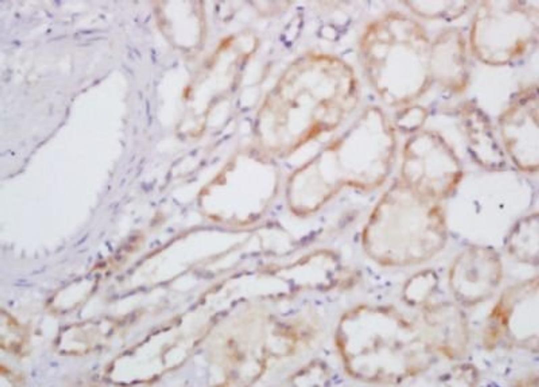
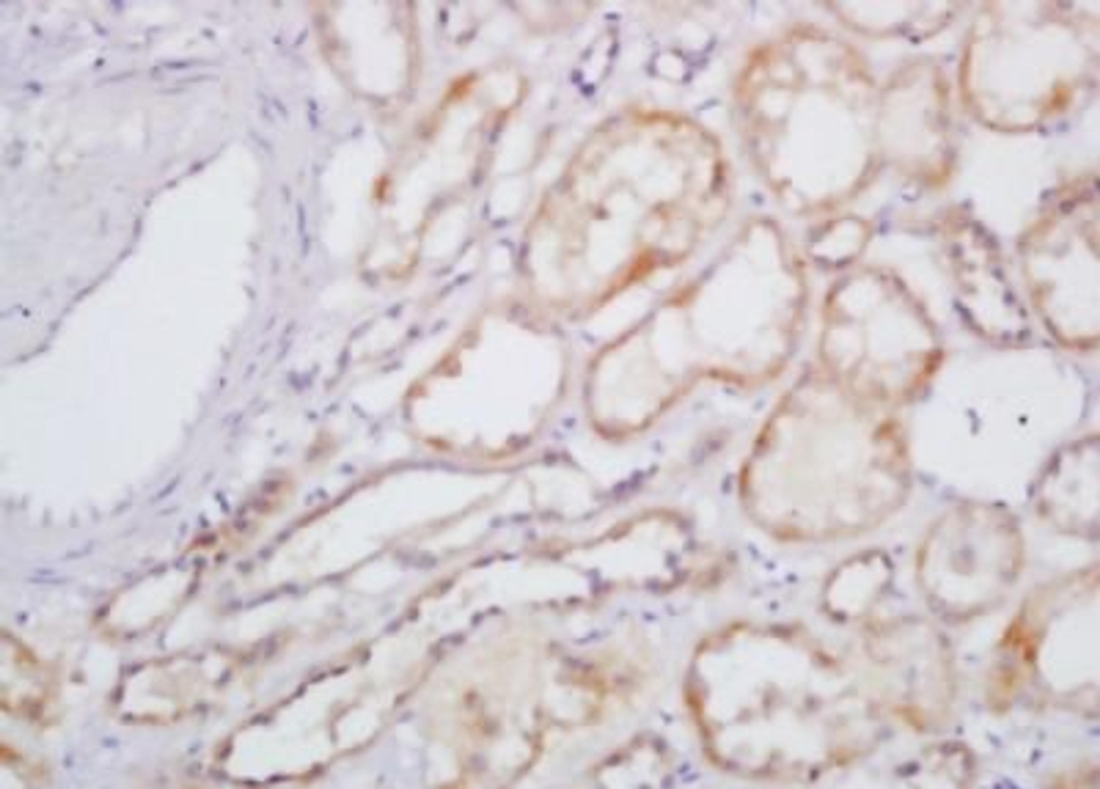
Rabbit polyclonal antibody to IKK Alpha + IKK beta.
Biological Information
- Clonality: Polyclonal
- Host: Rabbit
- Reactivity: Bovine, Dengue Virus (DENV), Human, Mammalian, Mouse
- Isotype: IgG
- Gene: 9037
Handling
- Quantity: 100 µg, 200 µg
- Storage: Store at 4°C for one month and at -20°C for a longer time. Avoid repeated freezing and thawing.
- Buffer: 0.01M TBS (pH7.4) 0.5% BSA 0.015% Proclin300 25% glycerol
Applications
- ELISA (ELISA)
- Immunofluorescence (Paraffin-Embedded Sections) (IF (P))
- Immunohistochemistry (Frozen Sections) (IHC (Fr))
- Immunohistochemistry (Paraffin-Embedded Sections) (IHC (P))
- Western Blotting (WB)


