Product & ReviewsAntibodies
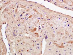
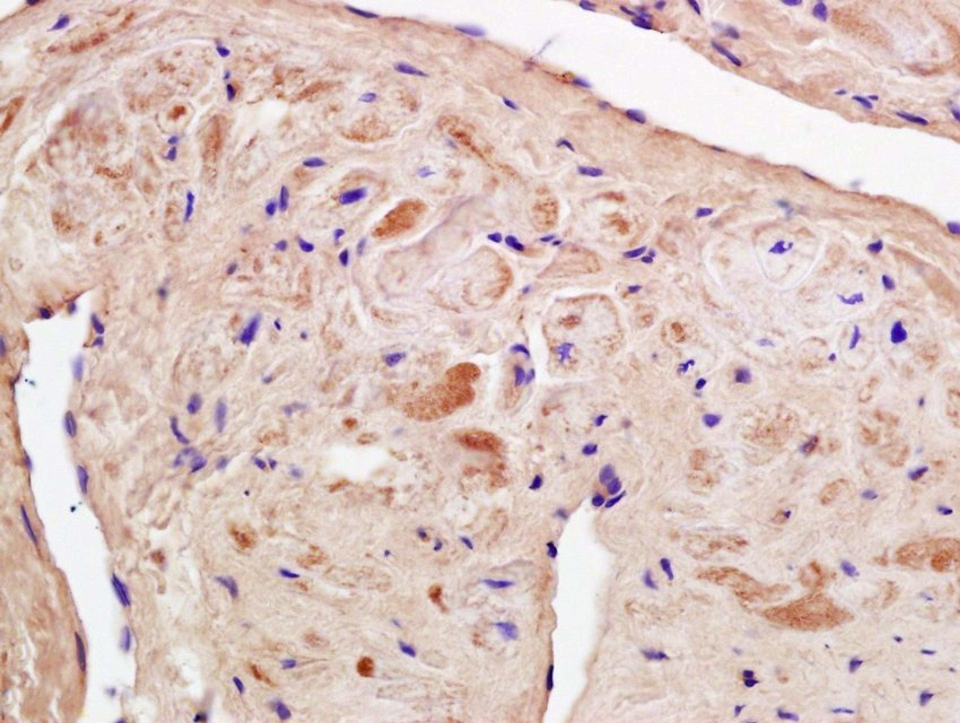
IL-8R beta/CDw128 beta (Phospho-Ser347) antibody
Product Details
- Cat. No.
- orb106102
- Type
- Primary Antibody
- Clonality
- Polyclonal
- Host
- Rabbit

The supplier does not provide quotations for this antibody through SelectScience. You can search for similar antibodies in our Antibody Directory.
Description
Rabbit polyclonal to IL-8R beta/CDw128 beta (Phospho-Ser347). IL-8R B Receptor for interleukin-8 which is a powerful neutrophil chemotactic factor. Binding of IL-8 to the receptor causes activation of neutrophils. This response is mediated via a G-protein
Biological Information
- Clonality: Polyclonal
- Host: Rabbit
- Reactivity: Human, Mouse
- Isotype: IgG
Handling
- Quantity: 50 µl, 20 µl (Trial size), 100 µl
- Storage: Store at -20°C.Stable for 12 months from date of receipt.
- Buffer: Phosphate buffer saline, pH. 7.4, 150mM NaCl, 0.02% sodium azide and 50% glycerol.
Applications
- Immunofluorescence (Paraffin-Embedded Sections) (IF (P))
- Immunohistochemistry (Paraffin-Embedded Sections) (IHC (P))
- Western Blotting (WB)


