Product & ReviewsAntibodies
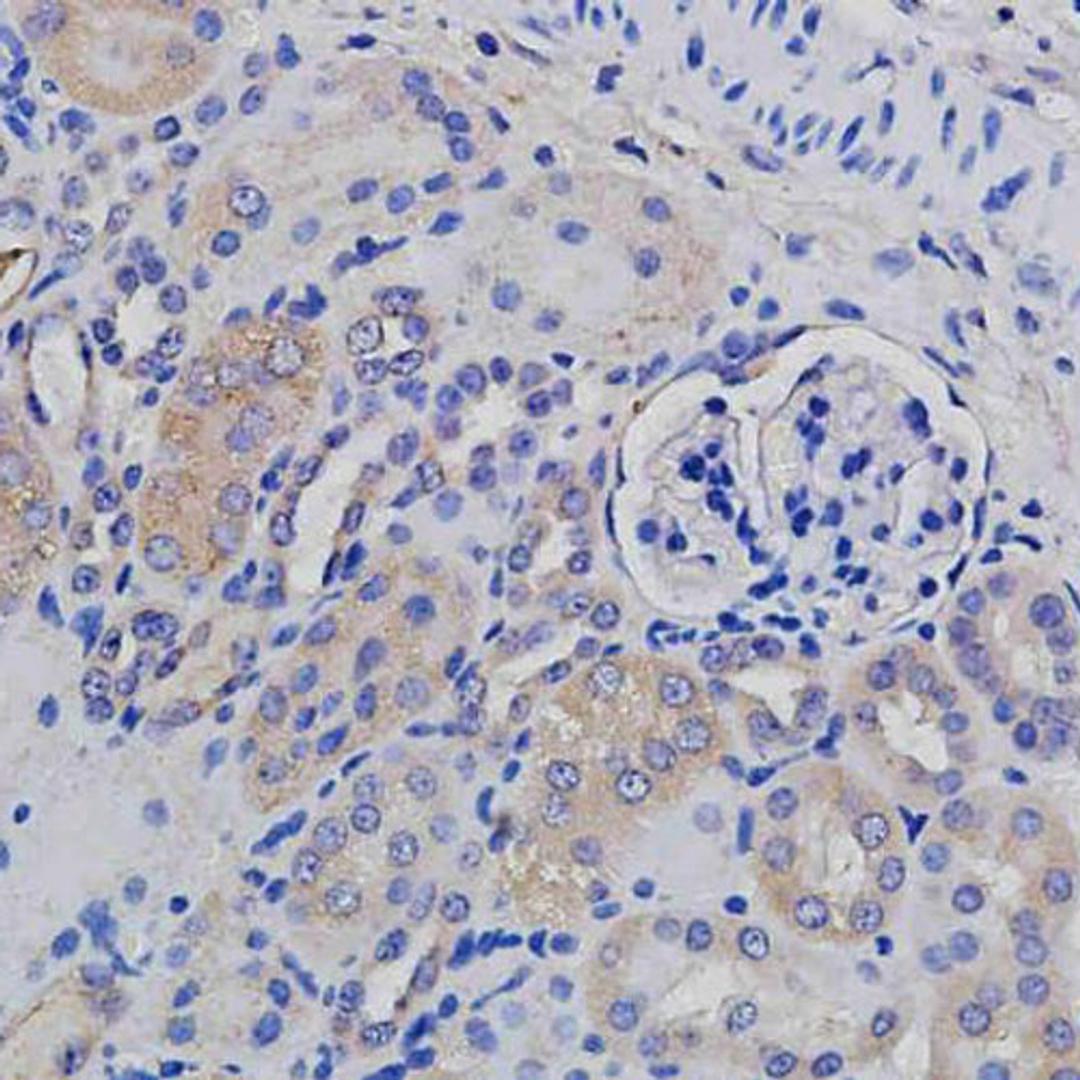
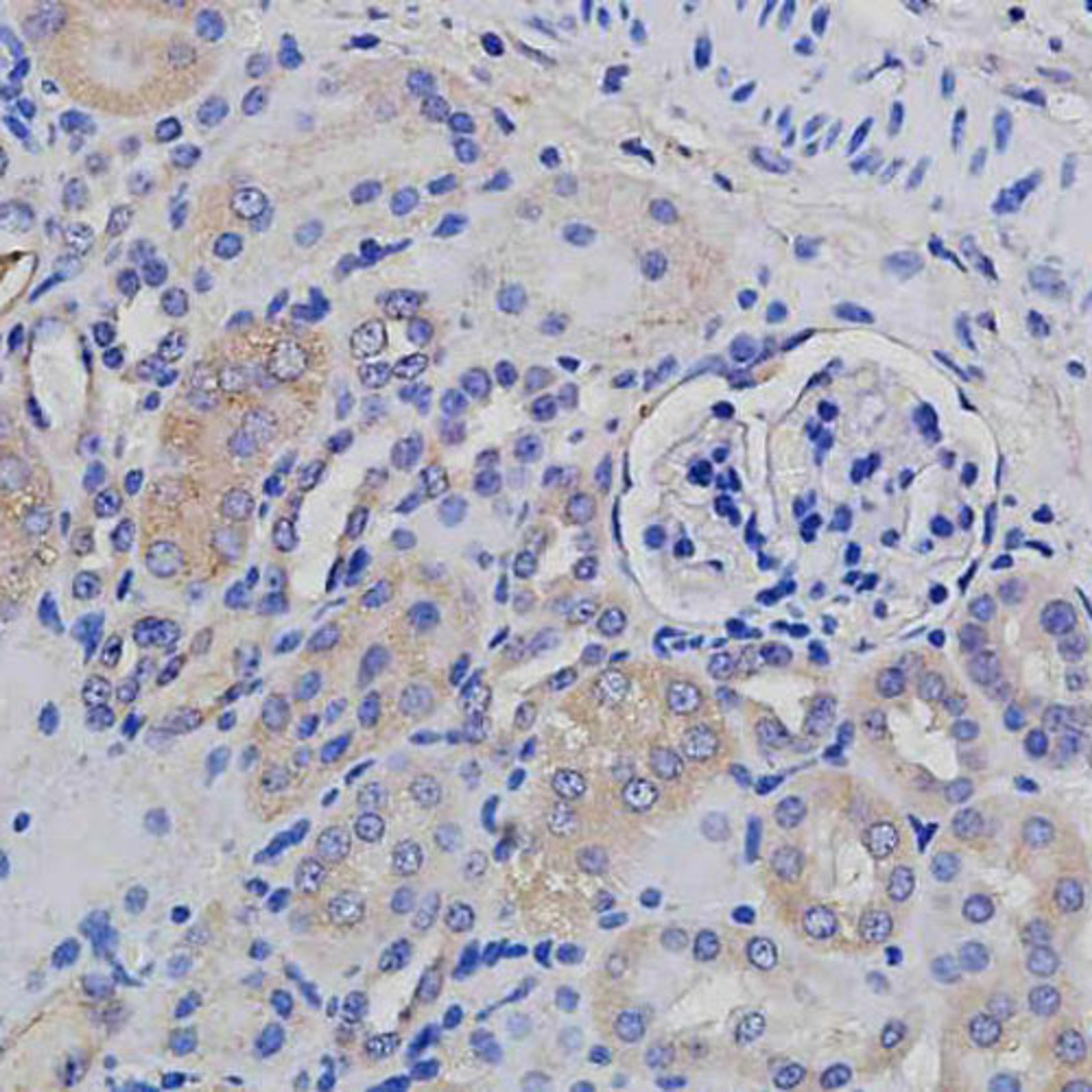
Integrin alpha 2 antibody
Product Details
- Cat. No.
- orb4839
- Type
- Primary Antibody
- Clonality
- Polyclonal
- Host
- Rabbit

The supplier does not provide quotations for this antibody through SelectScience. You can search for similar antibodies in our Antibody Directory.
Description
Rabbit polyclonal to Integrin alpha 2
Biological Information
- Clonality: Polyclonal
- Host: Rabbit
- Reactivity: Human, Mouse, Rat
- Isotype: IgG
Handling
- Quantity: 200 µg
- Storage: Store at 4°C for up to two weeks. For long term storage, aliquot and store at -20°C, avoid freeze/thaw cycles.
- Buffer: 0.01M TBS (pH7.4), 0.5% BSA, 0.015% ProClin™ 300 and 25% glycerol
- Specificity: 5
Applications
- Flow Cytometry (FC)
- Western Blotting (WB)
Good for WB.
Application Area:
Western blot
Performs well in Western blot lysates of cell lines.
Review Date: 25 Apr 2019 | Biorbyt


