Product & ReviewsAntibodies
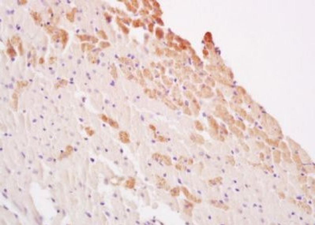
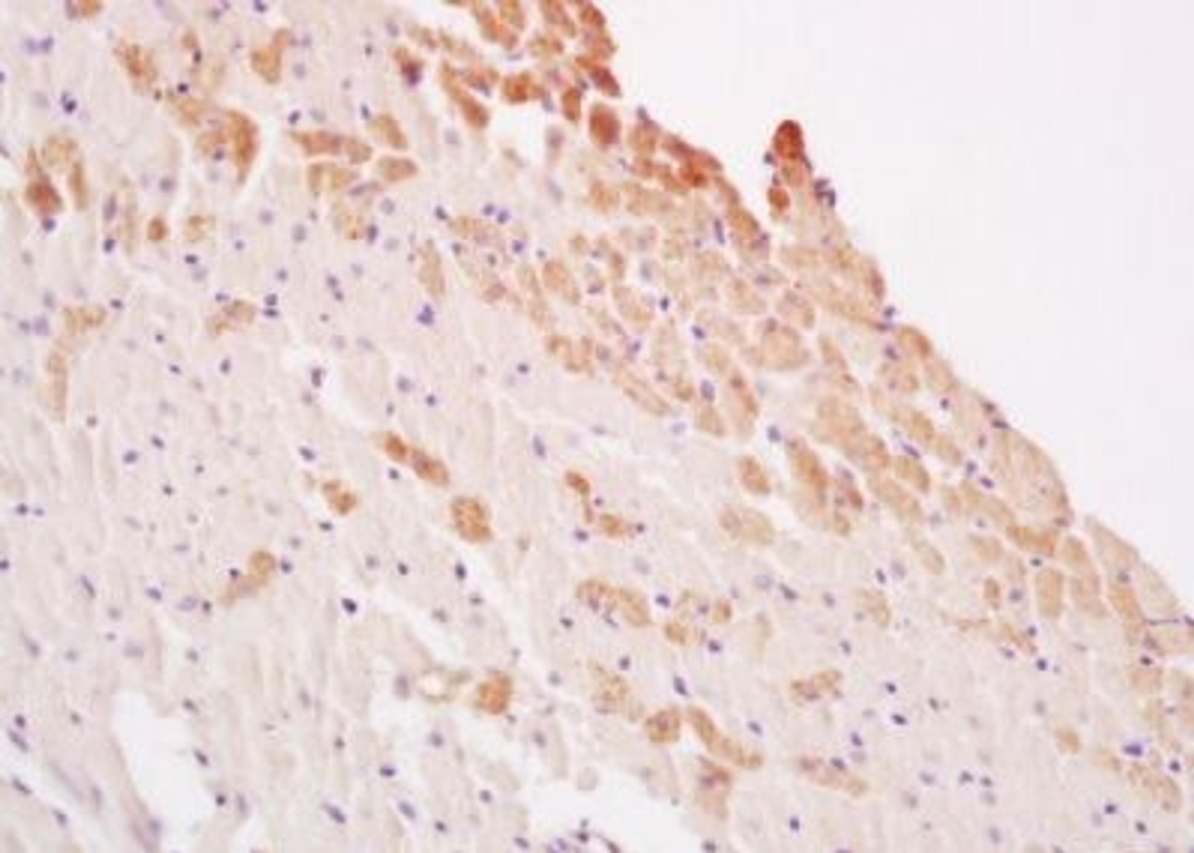
Integrin alpha 4+Beta 7 antibody
Product Details
- Cat. No.
- orb6244
- Type
- Primary Antibody
- Clonality
- Polyclonal
- Host
- Rabbit

The supplier does not provide quotations for this antibody through SelectScience. You can search for similar antibodies in our Antibody Directory.
Description
Rabbit polyclonal antibody to Integrin alpha 4+Beta 7
Biological Information
- Clonality: Polyclonal
- Host: Rabbit
- Reactivity: Bovine, Dog (Canine), Human, Mammalian, Mouse
- Isotype: IgG
Handling
- Quantity: 25 µg, 100 µg
- Storage: At -20°C for one year. After reconstitution at 4°C for two weeks. It can also be aliquotted and stored frozen at -20°C for a longer time.
- Buffer: PBS pH7.4, 50% glycerol
Applications
- ELISA (ELISA)


