Product & ReviewsAntibodies
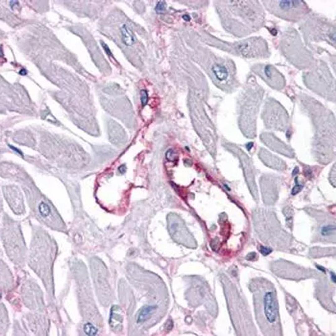
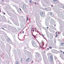
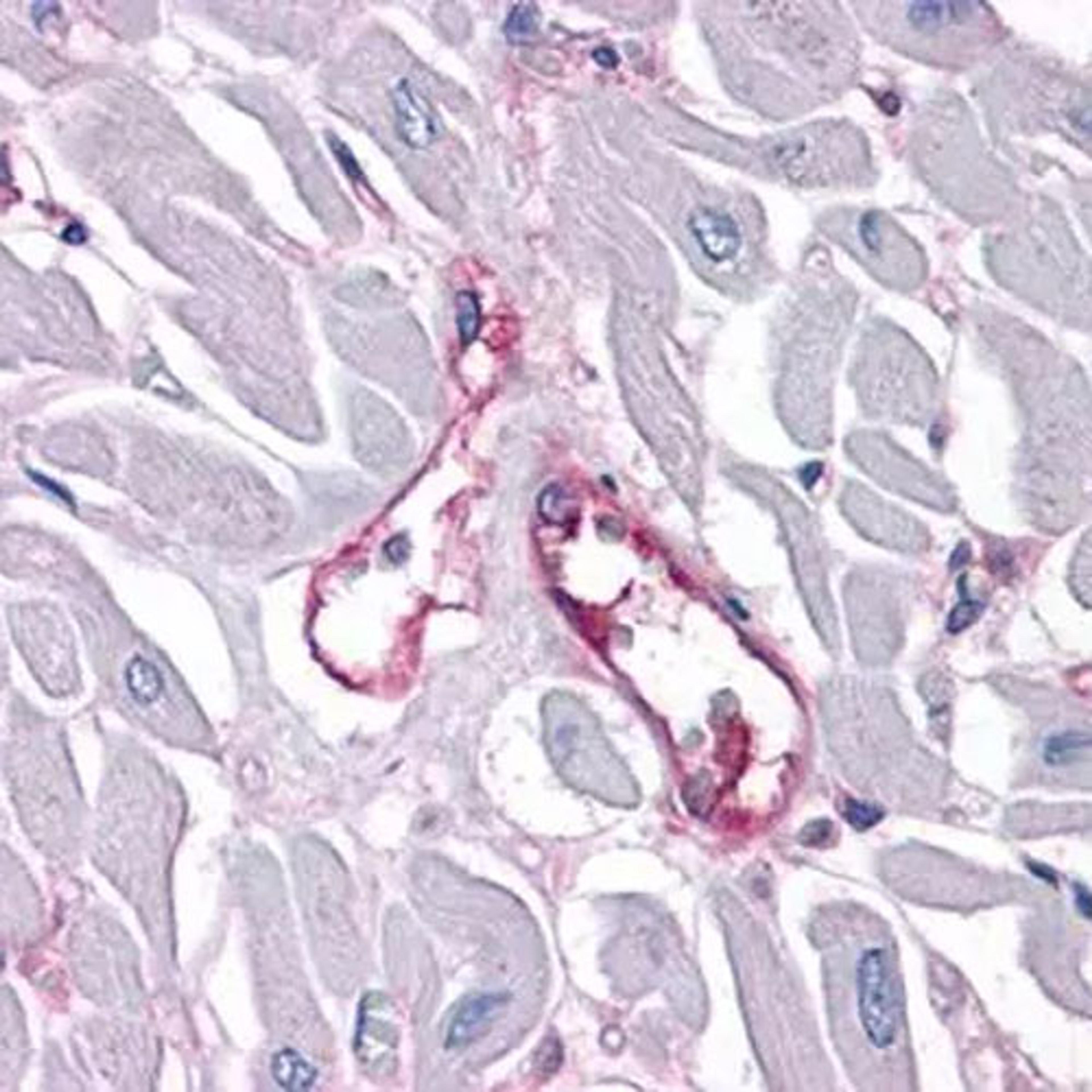
Integrin Alpha 5 antibody
Product Details
- Cat. No.
- orb89416
- Type
- Primary Antibody
- Clonality
- Monoclonal
- Host
- Mouse

The supplier does not provide quotations for this antibody through SelectScience. You can search for similar antibodies in our Antibody Directory.
Description
Mouse Monoclonal to Integrin Alpha 5.
Biological Information
- Clonality: Monoclonal
- Host: Mouse
- Reactivity: Human
- Isotype: IgG2a
Handling
- Quantity: 50 μl
- Storage: Store at -20°C.for long term storage and for short term at 4°C.Avoid repeat freeze-thaw cycles.
- Specificity: 5
Applications
- ELISA (ELISA)
- Immunohistochemistry (Paraffin-Embedded Sections) (IHC (P))
- Western Blotting (WB)
Good!
Application Area:
Flow cytometry
Works well, but wish there was a conjugated version already designed for flow cytometry.
Review Date: 13 Oct 2020 | Biorbyt


