Product & ReviewsAntibodies
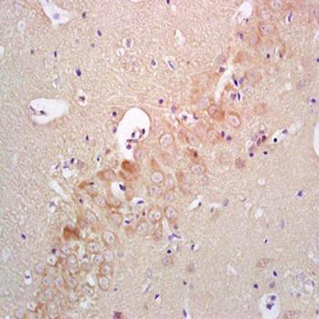
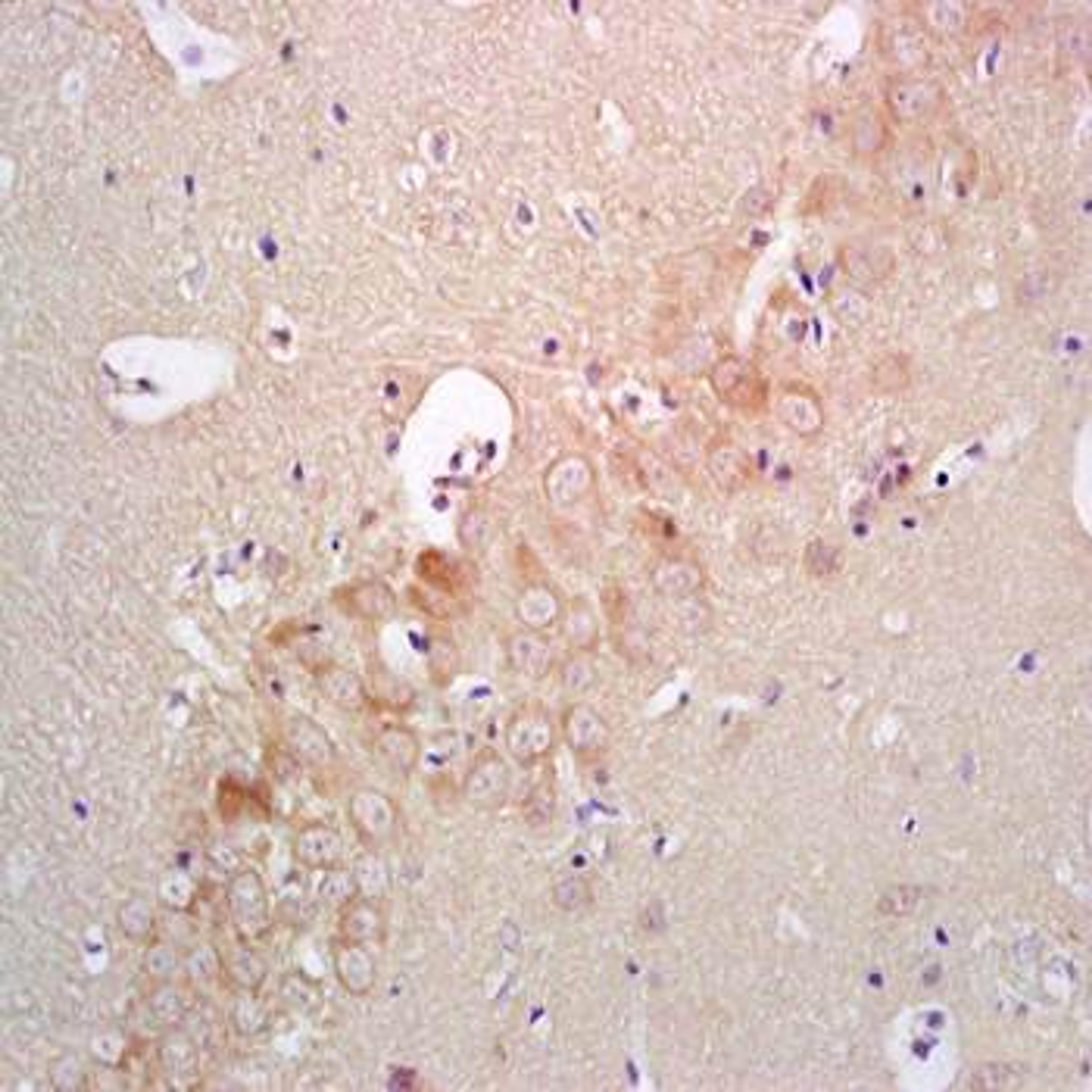
IRAK1 (phospho-Thr387) antibody
Product Details
- Cat. No.
- orb6223
- Type
- Primary Antibody
- Clonality
- Polyclonal
- Host
- Rabbit

The supplier does not provide quotations for this antibody through SelectScience. You can search for similar antibodies in our Antibody Directory.
Description
Rabbit polyclonal to IRAK1 (phospho-Thr387)
Biological Information
- Clonality: Polyclonal
- Host: Rabbit
- Reactivity: Human, Mammalian, Mouse
- Isotype: IgG
Handling
- Quantity: 25 µg, 100 µg
- Storage: At -20°C for one year. After reconstitution at 4°C for two weeks. It can also be aliquotted and stored frozen at -20°C for a longer time.
- Buffer: PBS pH7.4, 50% glycerol
Applications
- Flow Cytometry (FC)
- Immunohistochemistry (Paraffin-Embedded Sections) (IHC (P))
- Western Blotting (WB)


