Product & ReviewsAntibodies
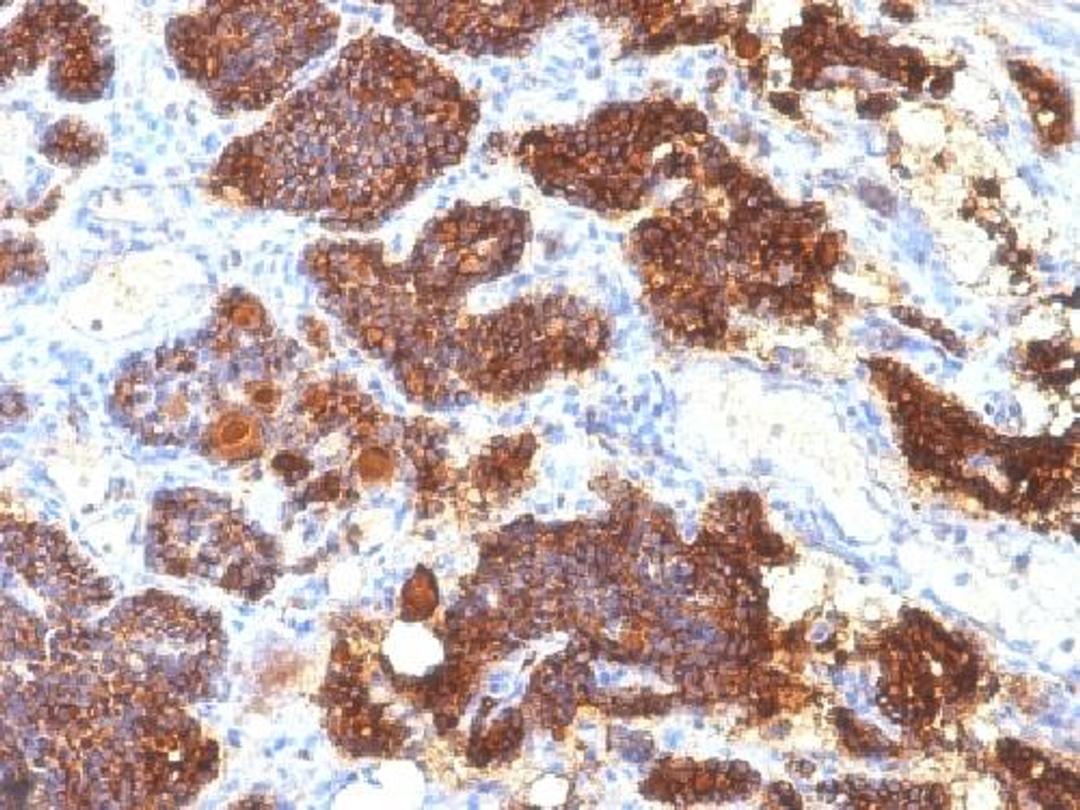
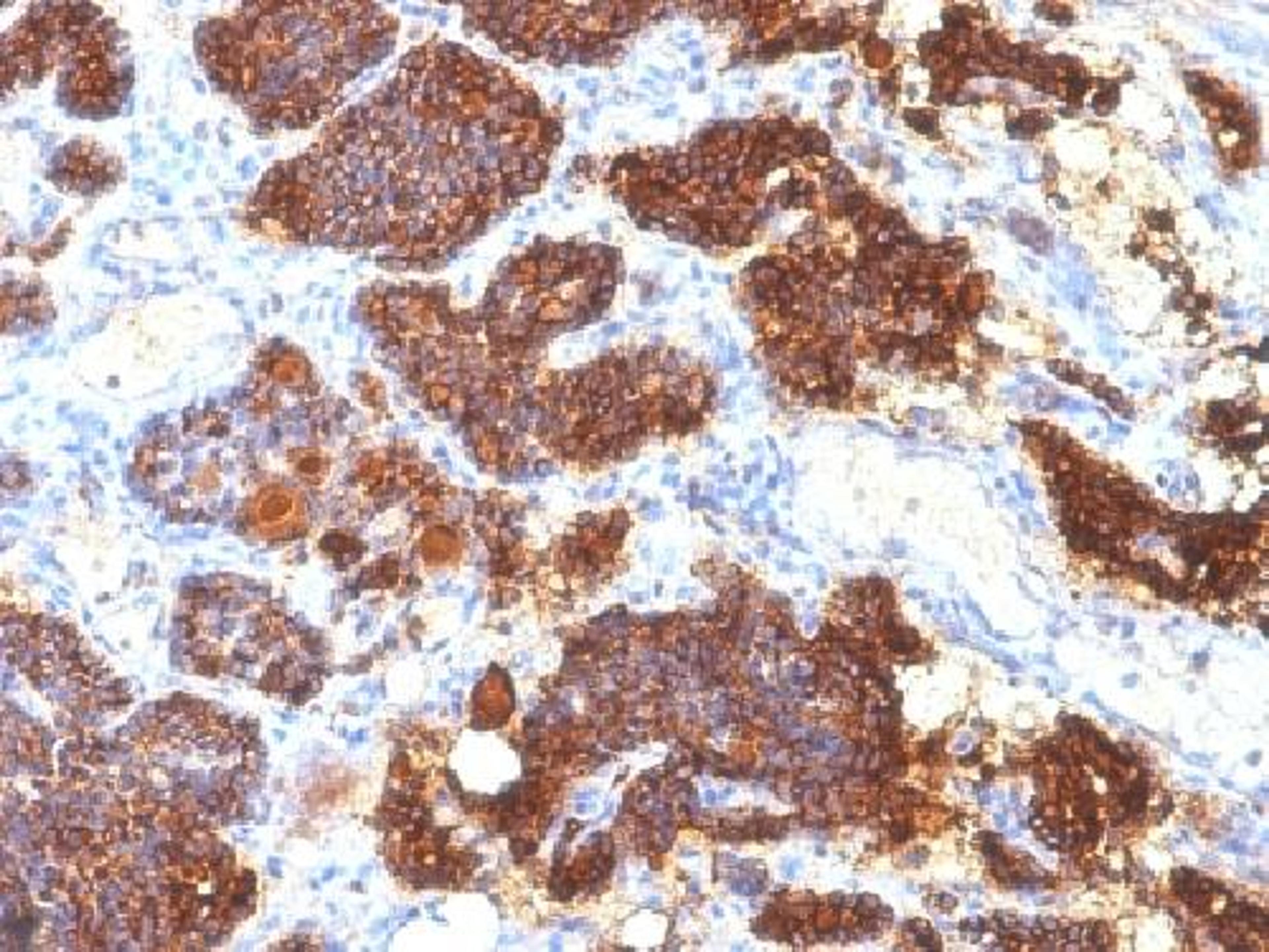
KRT77 and KRT76 antibody
Product Details
- Cat. No.
- orb389105
- Type
- Primary Antibody
- Clonality
- Monoclonal
- Host
- Rabbit

The supplier does not provide quotations for this antibody through SelectScience. You can search for similar antibodies in our Antibody Directory.
Description
Rabbit polyclonal antibody to KRT77 and KRT76
Biological Information
- Clonality: Monoclonal
- Host: Rabbit
- Reactivity: Human
- Isotype: IgG,kappa
Handling
- Quantity: 100 µg
- Storage: Store up to 24 months at -20°C. Avoid freeze/thaw cycles.
- Buffer: PBS with 0.02% sodium azide and 50% glycerol pH 7.3
Applications
- Flow Cytometry (FC)
- Immunofluorescence (Paraffin-Embedded Sections) (IF (P))
- Immunohistochemistry (Paraffin-Embedded Sections) (IHC (P))
- Western Blotting (WB)


