Product & ReviewsAntibodies
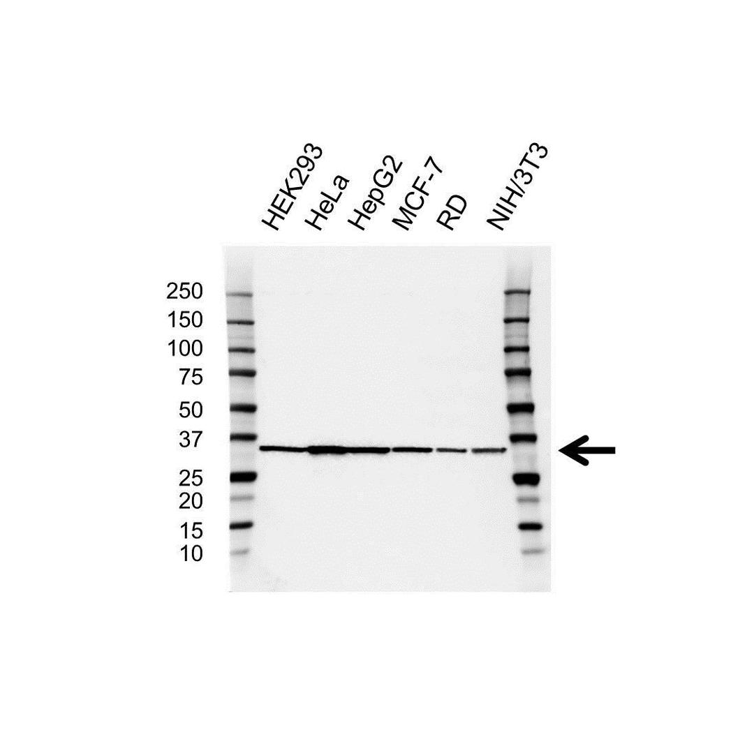
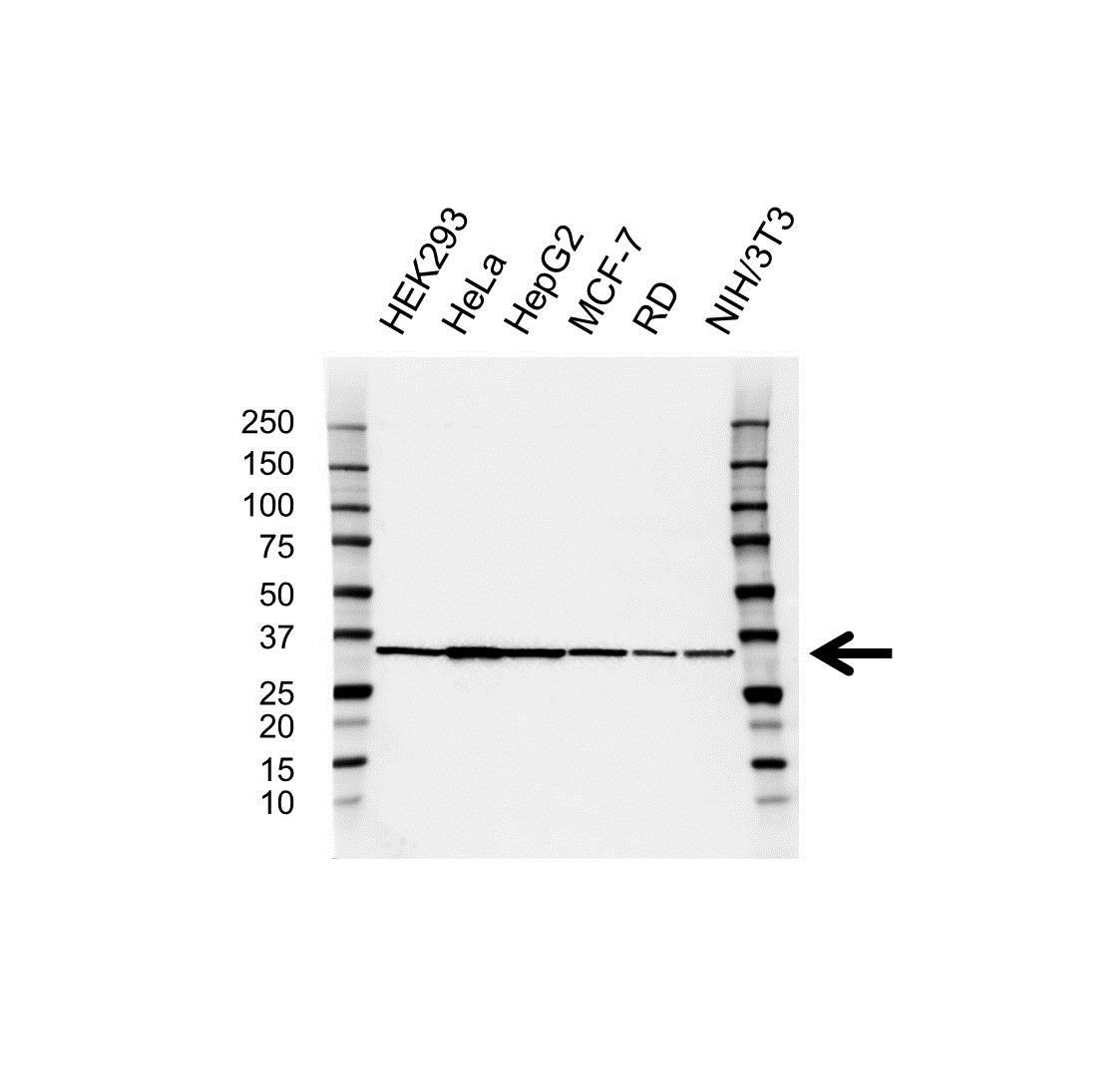
LDHA
Product Details
- Cat. No.
- VPA00516
- Type
- Primary Antibody
- Clonality
- Polyclonal
- Host
- Goat

The supplier does not provide quotations for this antibody through SelectScience. You can search for similar antibodies in our Antibody Directory.
Description
GOAT ANTI LDHA
Biological Information
- Clonality: Polyclonal
- Host: Goat
Handling
- Quantity: 100 µl


