Product & ReviewsAntibodies
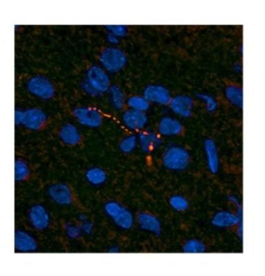
Leptin/OB Antibody
Product Details
- Cat. No.
- NBP1-59324
- Type
- Primary Antibody
- Clonality
- Polyclonal
- Host
- Rabbit

The supplier does not provide quotations for this antibody through SelectScience. You can search for similar antibodies in our Antibody Directory.
Description
Leptin/OB Antibody
Biological Information
- Clonality: Polyclonal
- Host: Rabbit
- Reactivity: Human, Mouse
- Antigen: Leptin/OB
- Source: Immunogen affinity purified
Handling
- Quantity: 0.05 mg
- Storage: Store at -20C. Avoid freeze-thaw cycles.
- Buffer: PBS & 2% Sucrose lyophilized with the antibody.
Applications
- Immunocytochemistry (ICC)
- Immunohistochemistry (IHC)
- Immunohistochemistry (Paraffin-Embedded Sections) (IHC (P))
- Western Blotting (WB)