Product & ReviewsAntibodies
LIM Kinase antibody
Product Details
- Cat. No.
- orb345493
- Type
- Primary Antibody
- Clonality
- Polyclonal
- Host
- Rabbit

The supplier does not provide quotations for this antibody through SelectScience. You can search for similar antibodies in our Antibody Directory.
Description
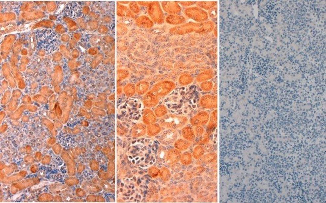
Rabbit polyclonal antibody to LIM Kinase
Biological Information
- Clonality: Polyclonal
- Host: Rabbit
- Isotype: IgG
- Gene: 8156885
Handling
- Quantity: 100 µg
- Storage: Store at 4°C for up to two weeks. For long term storage, aliquot and store at -20°C, avoid freeze/thaw cycles.
- Buffer: 0.02 M Potassium Phosphate, 0.15 M Sodium Chloride, pH 7.2
Applications
- ELISA (ELISA)
- Immunofluorescence (Paraffin-Embedded Sections) (IF (P))
- Western Blotting (WB)


