Product & ReviewsAntibodies
Maltose Binding Protein antibody
Product Details
- Cat. No.
- orb2088
- Type
- Primary Antibody
- Clonality
- Polyclonal
- Host
- Rabbit

The supplier does not provide quotations for this antibody through SelectScience. You can search for similar antibodies in our Antibody Directory.
Description
Rabbit polyclonal to Maltose Binding Protein. Maltose binding protein-MBP is E. coli malE gene encoding the protein, bacterial member of the maltose transport system. malE gene product can integrate with a variety of proteins, it is an effective medium fo
Biological Information
- Clonality: Polyclonal
- Host: Rabbit
- Reactivity: Escherichia coli
- Isotype: IgG
- Gene: 1439
Handling
- Quantity: 200 µl, 30 µl (Trial size), 100 µl
- Storage: Store at 4°C for short term and at -20°C for long term storage. Avoid freeze/thaw cycles.
- Buffer: Liquid in 0.42% Potassium phosphate, 0.87% Sodium chloride, pH 7.3, 30% glycerol, and 0.01% sodium azide.
Applications
- ELISA (ELISA)
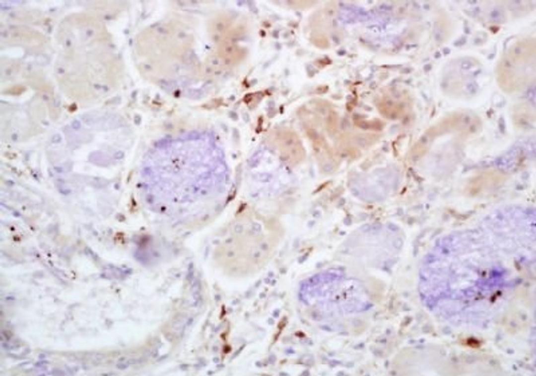
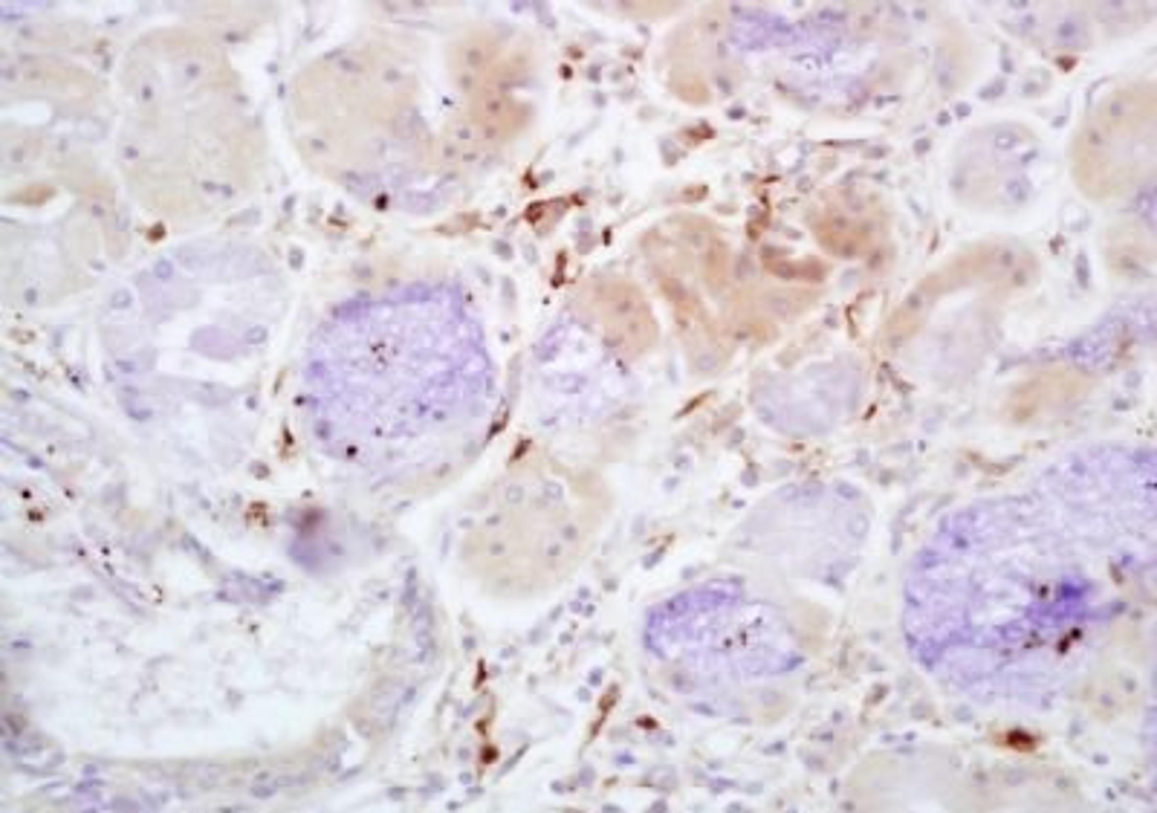
- Immunohistochemistry (Paraffin-Embedded Sections) (IHC (P))


