Product & ReviewsAntibodies
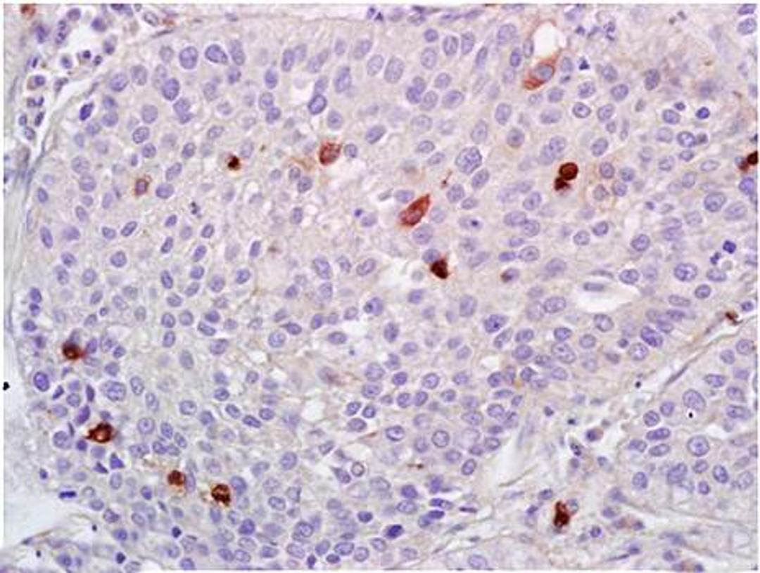
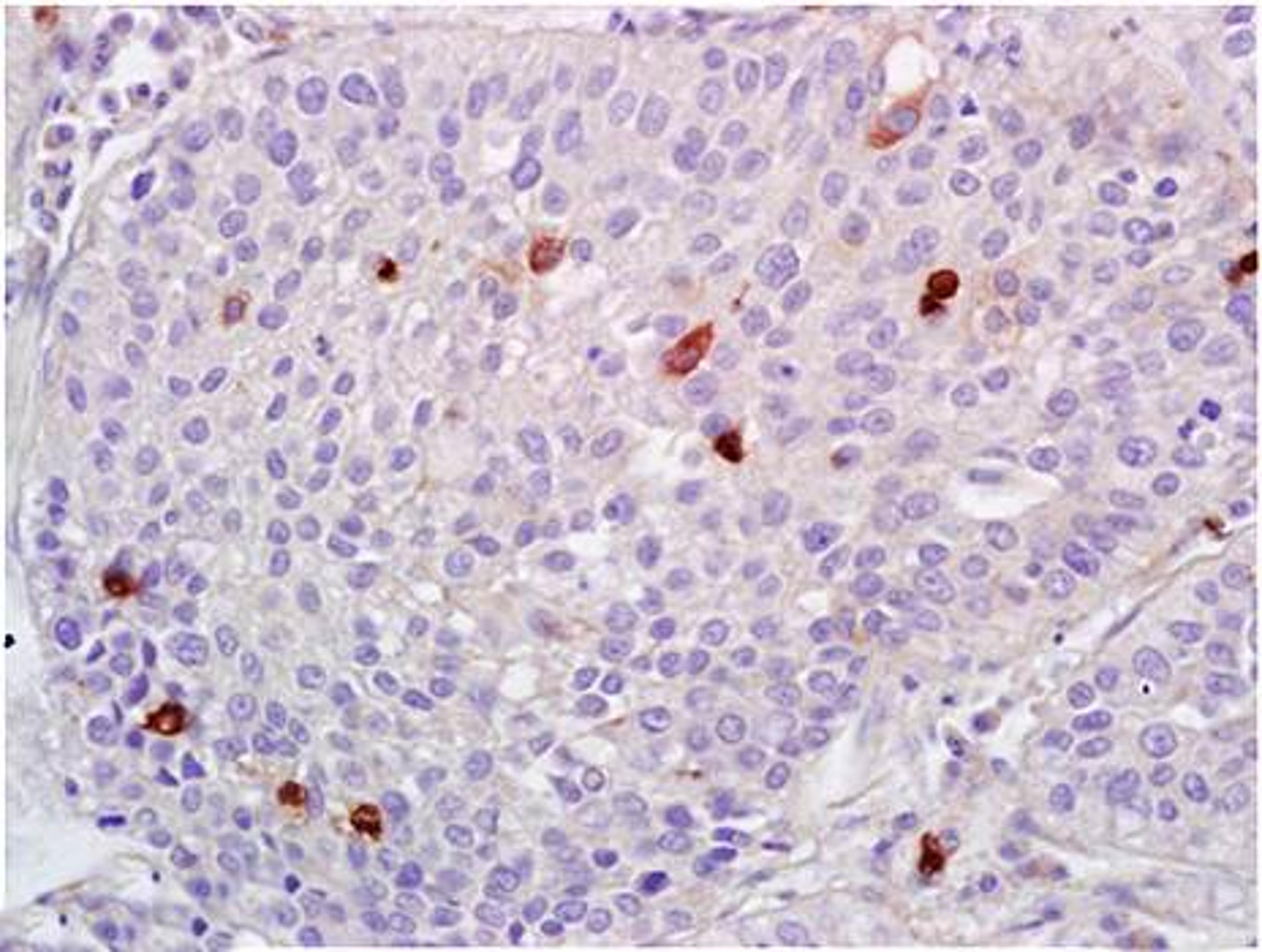
MLC (phospho-Ser20) antibody
Product Details
- Cat. No.
- orb100389
- Type
- Primary Antibody
- Clonality
- Polyclonal
- Host
- Rabbit

The supplier does not provide quotations for this antibody through SelectScience. You can search for similar antibodies in our Antibody Directory.
Description
Rabbit Polyclonal to MLC (phospho-Ser20).
Biological Information
- Clonality: Polyclonal
- Host: Rabbit
- Reactivity: Human, Mammalian, Mouse
- Isotype: IgG
- Gene: 4313
Handling
- Quantity: 5 µg (Trial size), 20 µg (Trial size), 100 µg, 200 µg
- Storage: Store at 4°C for up to two weeks. For long term storage, aliquot and store at -20°C, avoid freeze/thaw cycles.
- Buffer: 10 mM PBS, pH 7.4 with 10 mg/ml BSA, 0.03% Proclin 300 and 25% glycerol
Applications
- ELISA (ELISA)
- Immunohistochemistry (Paraffin-Embedded Sections) (IHC (P))
- Western Blotting (WB)


