Product & ReviewsAntibodies
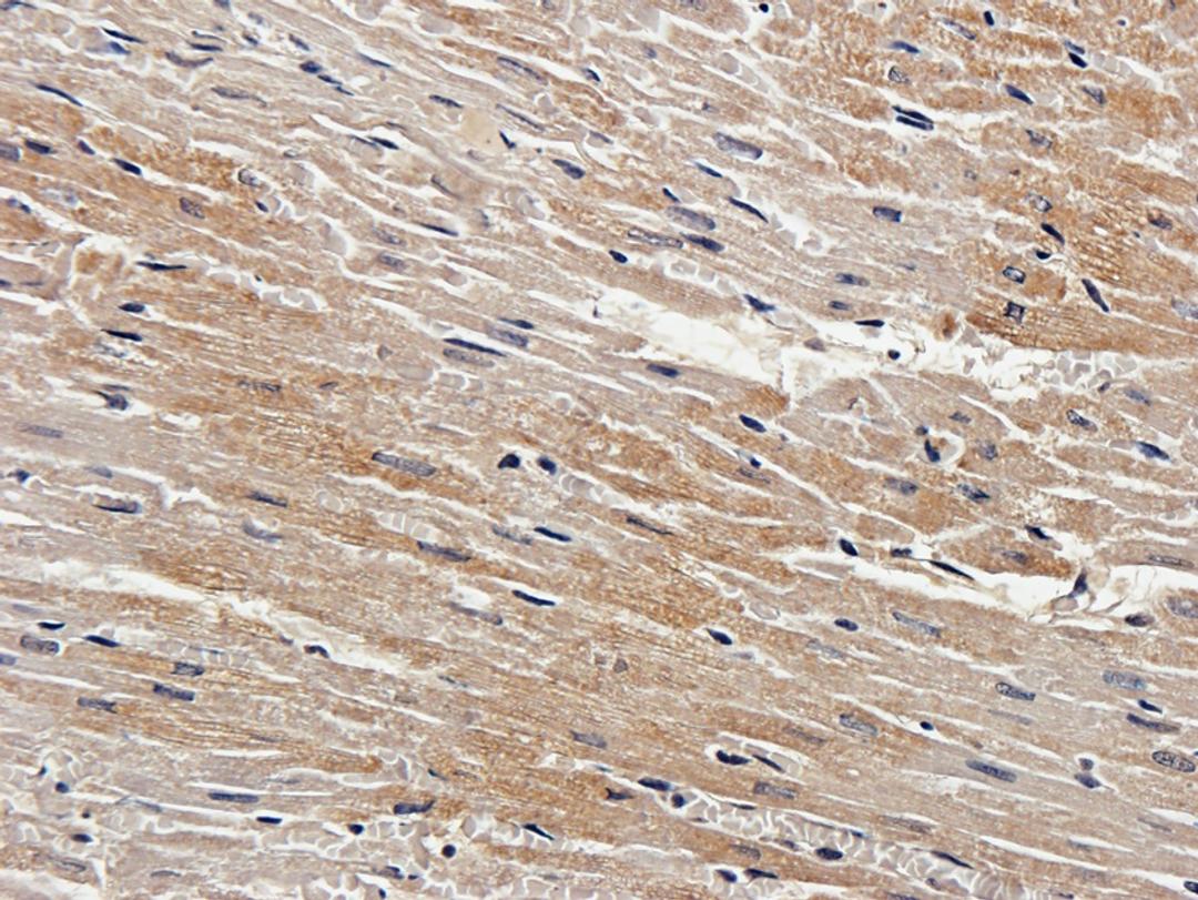
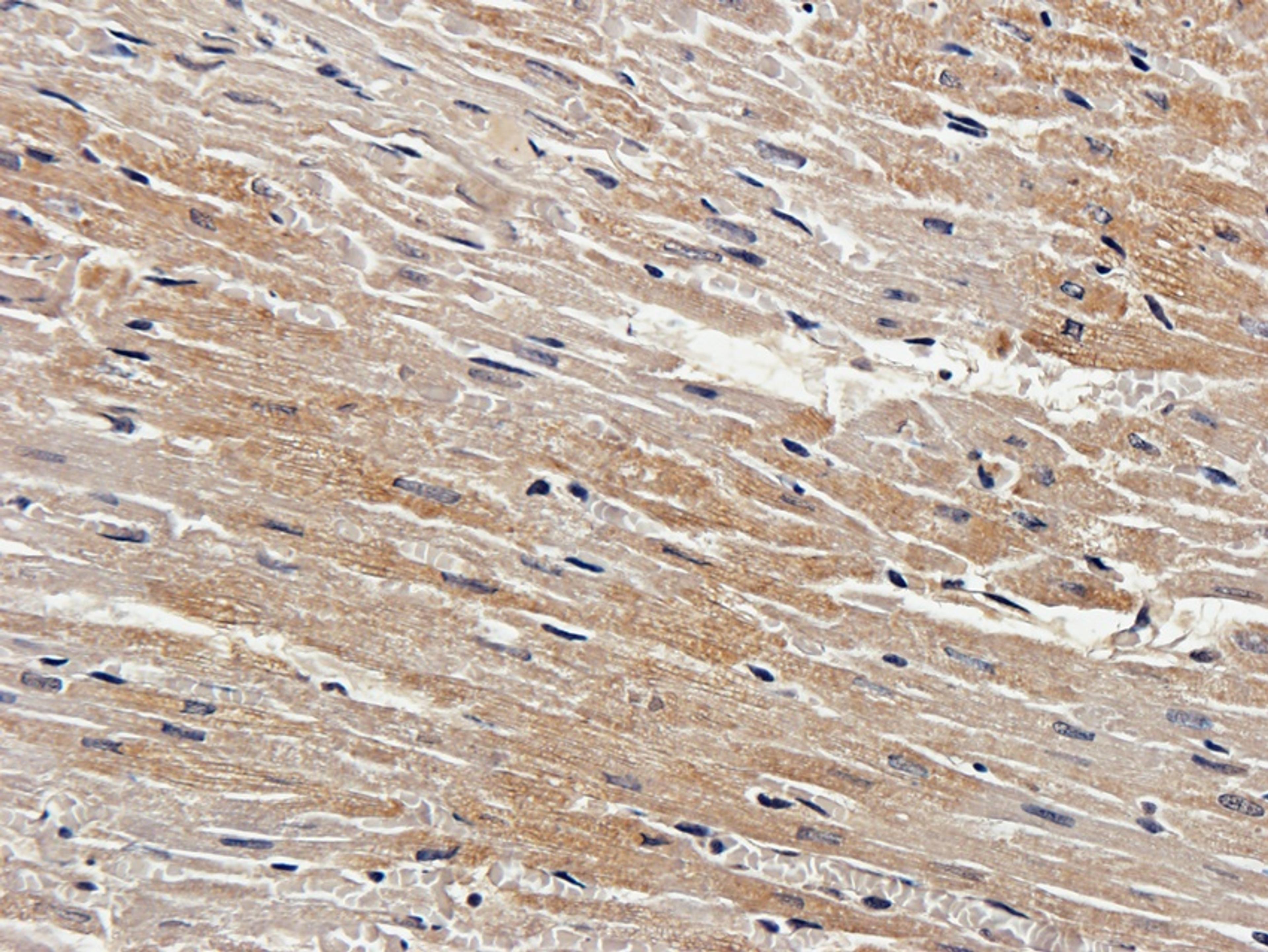
Mlkl antibody
Product Details
- Cat. No.
- orb32399
- Type
- Primary Antibody
- Clonality
- Polyclonal
- Host
- Rabbit

The supplier does not provide quotations for this antibody through SelectScience. You can search for similar antibodies in our Antibody Directory.
Description
Rabbit polyclonal antibody to MlKl (mixed lineage kinase domain-like) is a 471 amino acid protein that contains one protein kinase domain which is thought to be catalytically inactive. Chromosome 16; which is associated with a variety of genetic disorders; encodes over 900 genes and comprises nearly 3% of the human genome. The rare disorder Rubinstein-Taybi syndrome is associated with chromosome 16; as is Crohn's disease; which is a gastrointestinal inflammatory condition.
Biological Information
- Clonality: Polyclonal
- Host: Rabbit
- Reactivity: Guinea Pig, Human, Mouse, Rat
- Clone: NULL
- Conjugate: Unconjugated
- Isotype: IgG
- Gene: 197259
Handling
- Quantity: 100 ?g
- Storage: Store at 4°C for up to two weeks. For long term storage; aliquot and store at -20°C; avoid freeze/thaw cycles.
- Buffer: 10 mM PBS; 0.02% sodium azide
Applications
- Immunofluorescence (IF)
- Immunohistochemistry (Paraffin-Embedded Sections) (IHC (P))
- Western Blotting (WB)


