Product & ReviewsAntibodies
MMP-2 antibody
Product Details
- Cat. No.
- orb101049
- Type
- Primary Antibody
- Clonality
- Polyclonal
- Host
- Rabbit

The supplier does not provide quotations for this antibody through SelectScience. You can search for similar antibodies in our Antibody Directory.
Description
Rabbit Polyclonal to MMP-2.
Biological Information
- Clonality: Polyclonal
- Host: Rabbit
- Reactivity: Human, Mammalian, Mouse
- Isotype: IgG
Handling
- Quantity: 100 µg
- Storage: Store at 4°C for up to two weeks. For long term storage, aliquot and store at -20°C, avoid freeze/thaw cycles.
- Buffer: 0.01M TBS (pH7.4) 0.5% BSA 0.015% Proclin300 25% glycerol
- Specificity: 4
Applications
- ELISA (ELISA)
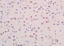
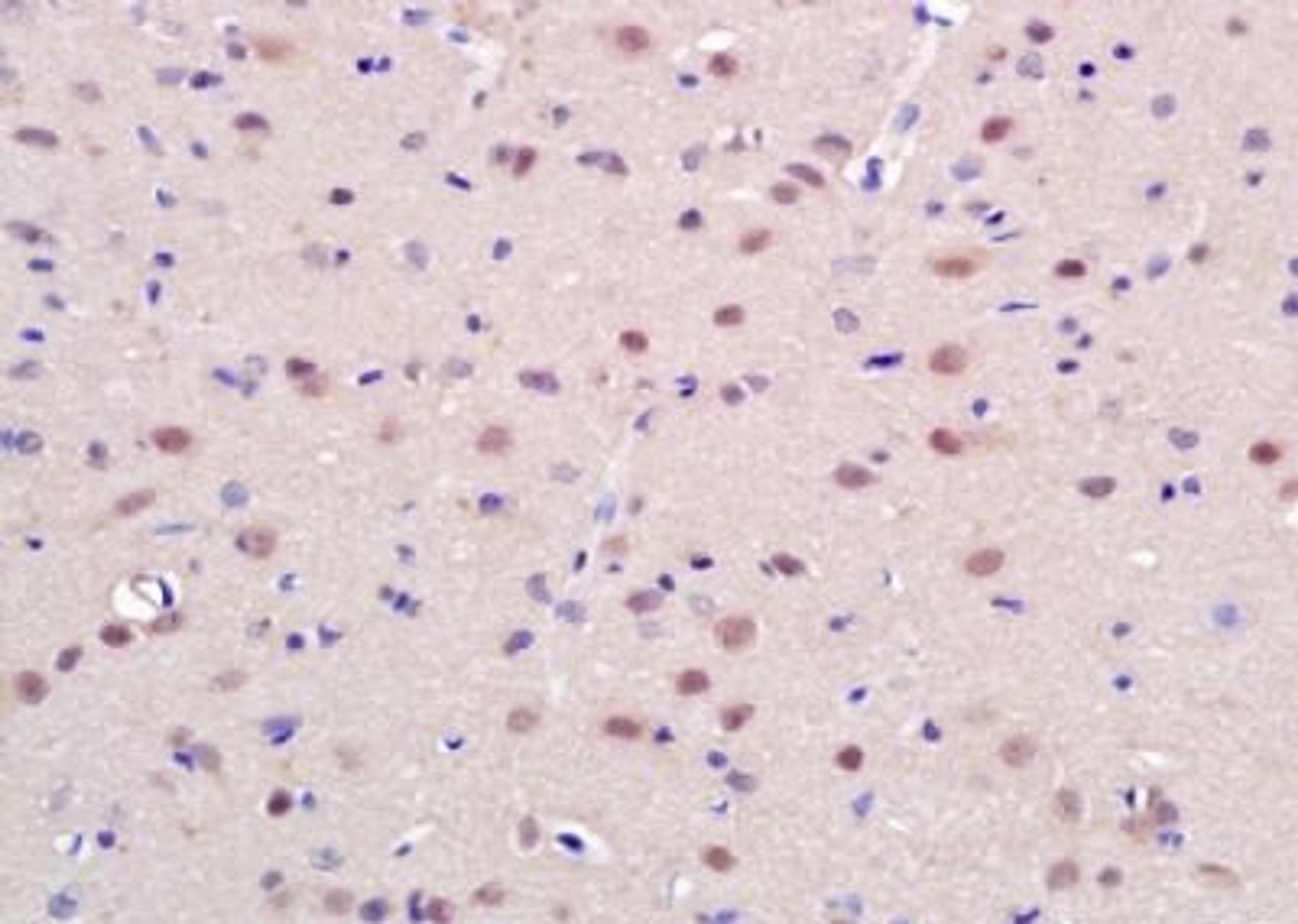
- Immunohistochemistry (Paraffin-Embedded Sections) (IHC (P))
- Western Blotting (WB)
Performs very well.
Application Area:
Western blot
The results are reproducible and the product works very well if the protocols are standardized.
Review Date: 6 Apr 2022 | Biorbyt


