MOUSE ANTI MAPK8 / JNK1
Product Details
- Cat. No.
- VMA00407
- Type
- Primary Antibody
- Clonality
- Monoclonal
- Host
- Mouse

The supplier does not provide quotations for this antibody through SelectScience. You can search for similar antibodies in our Antibody Directory.
Description
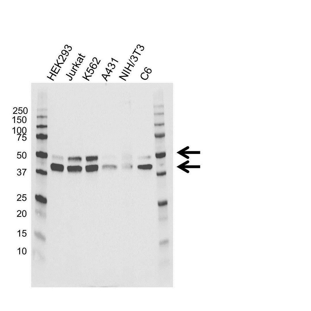
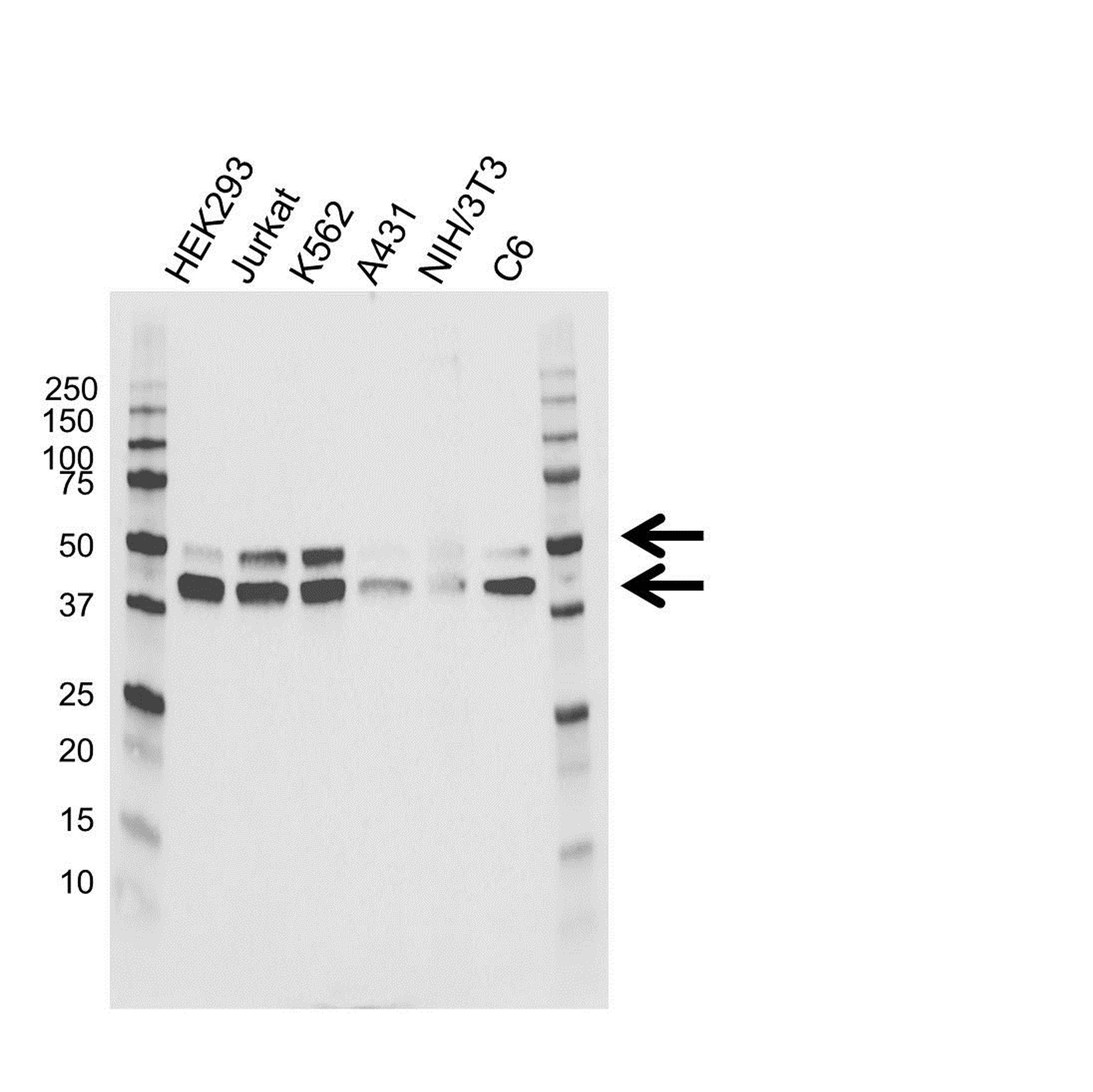
Mouse anti Human MAPK8 / JNK1 antibody recognizes mitogen-activated protein kinase 8, also known as JUN N-terminal kinase, c-Jun N-terminal kinase 1, mitogen-activated protein kinase 8 isoform JNK1 alpha1, mitogen-activated protein kinase 8 isoform JNK1 beta2 and stress-activated protein kinase 1c. Encoded by the MAPK8 / JNK1 gene, mitogen-activated protein kinase 8 is a member of the MAP kinase family. MAP kinases act as an integration point for multiple biochemical signals, and are involved in a wide variety of cellular processes such as proliferation, differentiation, transcription regulation and development. This kinase is activated by various cell stimuli, and targets specific transcription factors, and thus mediates immediate-early gene expression in response to cell stimuli. The activation of this kinase by tumor-necrosis factor alpha (TNF-alpha) is found to be required for TNF-alpha induced apoptosis. This kinase is also involved in UV radiation induced apoptosis, which is thought to be related to cytochrome c-mediated cell death pathway. Studies of the mouse counterpart of MAPK8 suggested that this kinase play a key role in T cell proliferation, apoptosis and differentiation. Five alternatively spliced transcript variants encoding distinct isoforms have been reported (provided by RefSeq, Jun 2013). Mouse anti Human MAPK8 / JNK1 antibody detects a band of 44/52 kDa. The antibody has been extensively validated for western blotting using whole cell lysates.
Biological Information
- Clonality: Monoclonal
- Host: Mouse
- Reactivity: Human, Rat
- Isotype: IgG1
Handling
- Quantity: 100 µl
- Storage: -20ºC only
- Buffer: Phosphate buffered saline, 0.09% Sodium Azide
Applications
- Western Blotting (WB)


