Product & ReviewsAntibodies
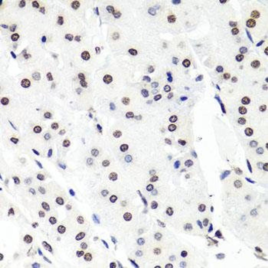
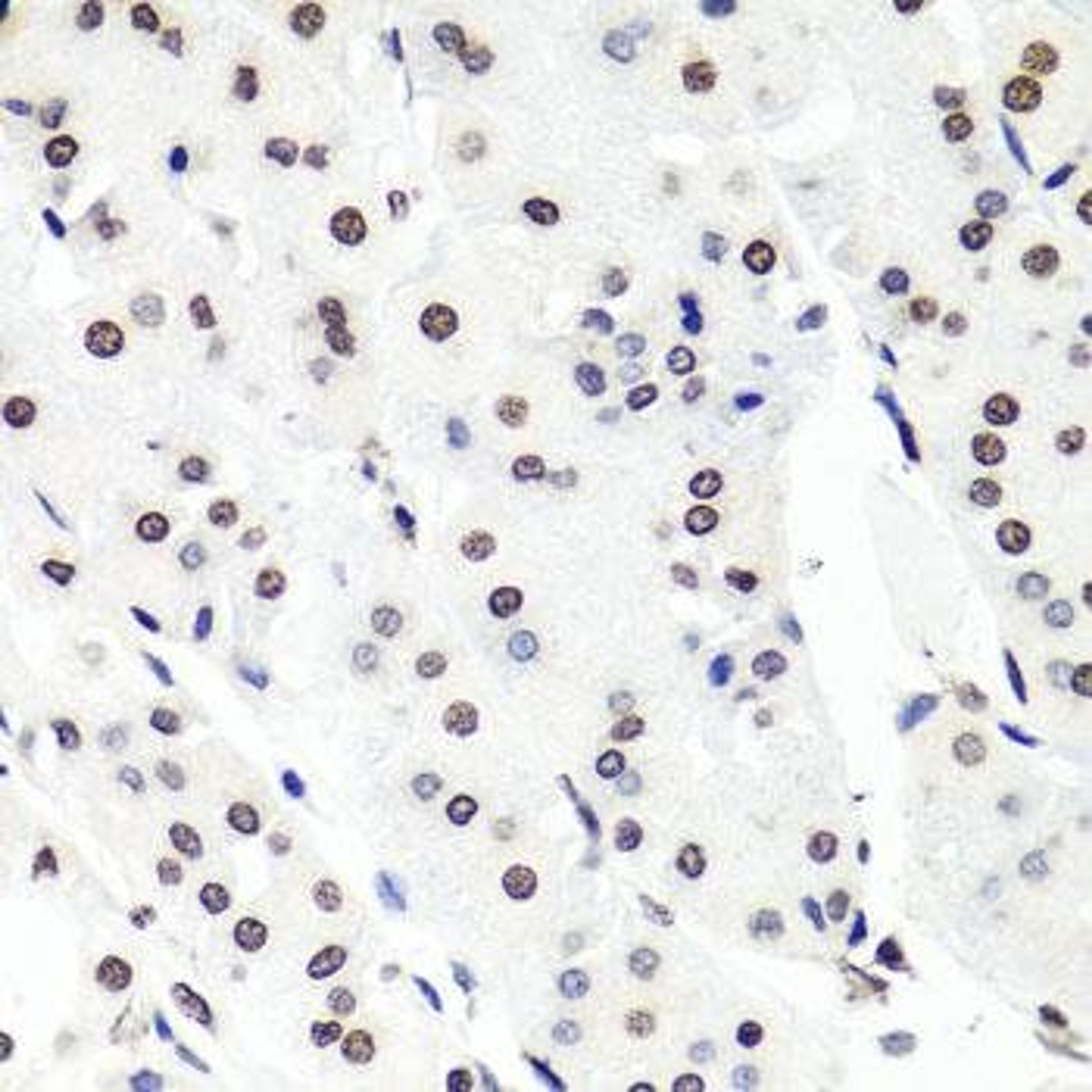
MRPS6 antibody
Product Details
- Cat. No.
- orb374289
- Type
- Primary Antibody
- Clonality
- Polyclonal
- Host
- Rabbit

The supplier does not provide quotations for this antibody through SelectScience. You can search for similar antibodies in our Antibody Directory.
Description
Rabbit polyclonal antibody to MRPS6
Biological Information
- Clonality: Polyclonal
- Host: Rabbit
- Reactivity: Human, Mammalian, Mouse
- Isotype: IgG
- Gene: 72821
Handling
- Quantity: 100 µg
- Storage: Store at-20°C
- Buffer: PBS pH7.4, 50% glycerol, 0.1% sodium azide
Applications
- Western Blotting (WB)


