Product & ReviewsAntibodies
Multiple antibody
Product Details
- Cat. No.
- orb389007
- Type
- Primary Antibody
- Clonality
- Monoclonal
- Host
- Mouse

The supplier does not provide quotations for this antibody through SelectScience. You can search for similar antibodies in our Antibody Directory.
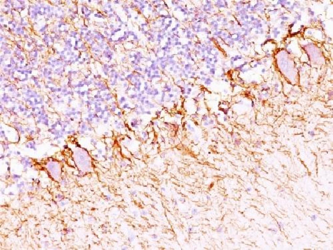
Description
Mouse monoclonal antibody to Multiple
Biological Information
- Clonality: Monoclonal
- Host: Mouse
- Reactivity: Cow, Goat, Guinea Pig, Human, Rat
- Clone: KRT/457
- Isotype: IgG1
- Gene: 9212
Handling
- Quantity: 200 µl, 30 µl (Trial size), 100 µl
- Storage: Store at 4°C for up to two weeks. For long term storage, aliquot and store at -20°C, avoid freeze/thaw cycles.
- Buffer: 0.42% Potassium phosphate, 0.87% Sodium chloride, pH 7.3, 30% glycerol, and 0.01% sodium azide.
Applications
- Flow Cytometry (FC)
- Immunofluorescence (Paraffin-Embedded Sections) (IF (P))
- Immunohistochemistry (Paraffin-Embedded Sections) (IHC (P))
- Western Blotting (WB)


