Product & ReviewsAntibodies
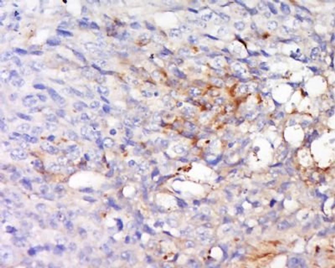
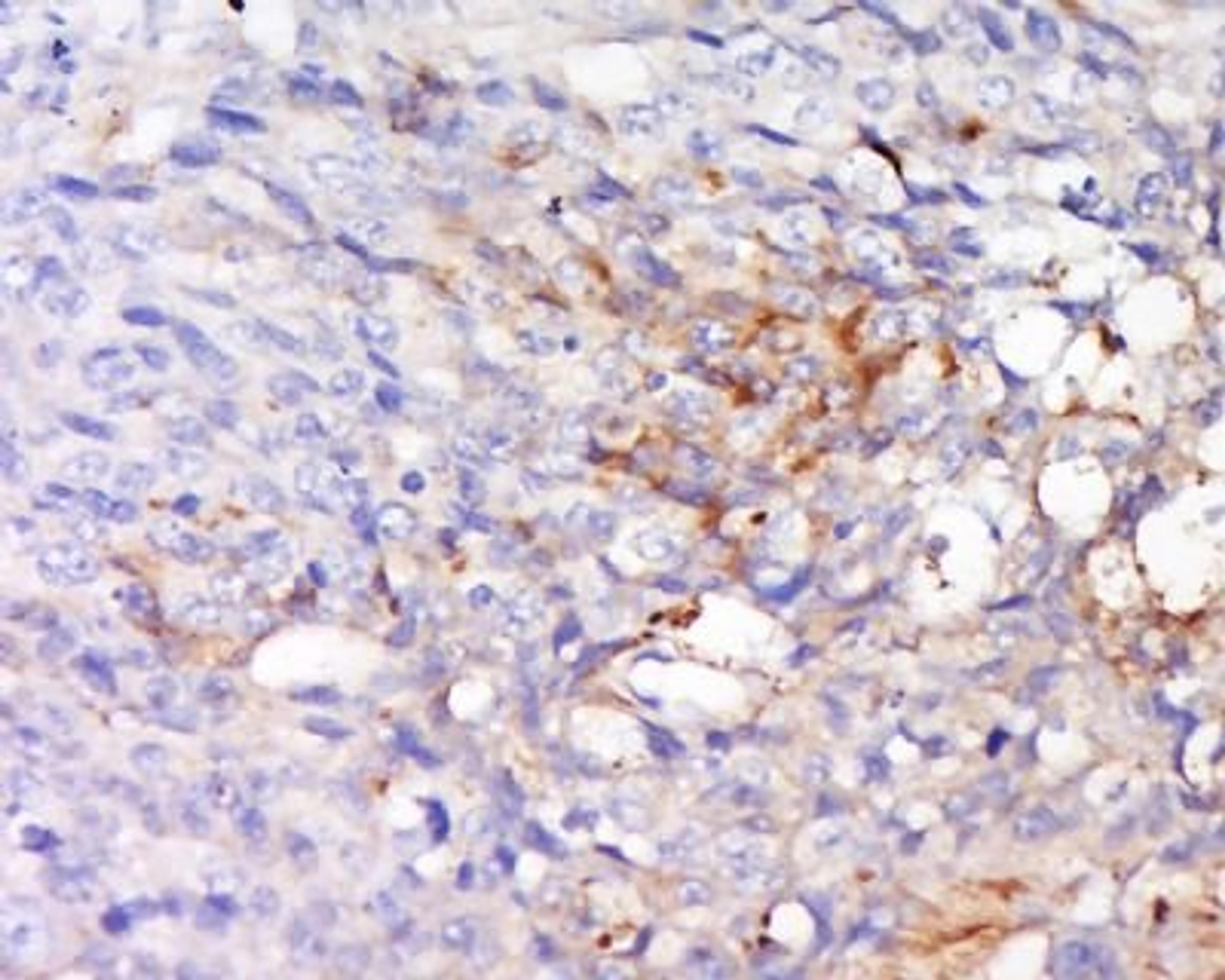
NDST4 antibody
Product Details
- Cat. No.
- orb221655
- Type
- Primary Antibody
- Clonality
- Polyclonal
- Host
- Rabbit

The supplier does not provide quotations for this antibody through SelectScience. You can search for similar antibodies in our Antibody Directory.
Description
Rabbit polyclonal antibody to NDST3
Biological Information
- Clonality: Polyclonal
- Host: Rabbit
- Reactivity: Guinea Pig, Human, Mammalian, Mouse
- Isotype: IgG
Handling
- Quantity: 100 tests
- Storage: Store at 2-8°C.
- Buffer: PBS containing 15 mM sodium azide and 0.2% (w/v) high-grade protease free BSA as a stabilizing agent.
Applications
- ELISA (ELISA)
- Immunohistochemistry (Paraffin-Embedded Sections) (IHC (P))
- Western Blotting (WB)


