Product & ReviewsAntibodies
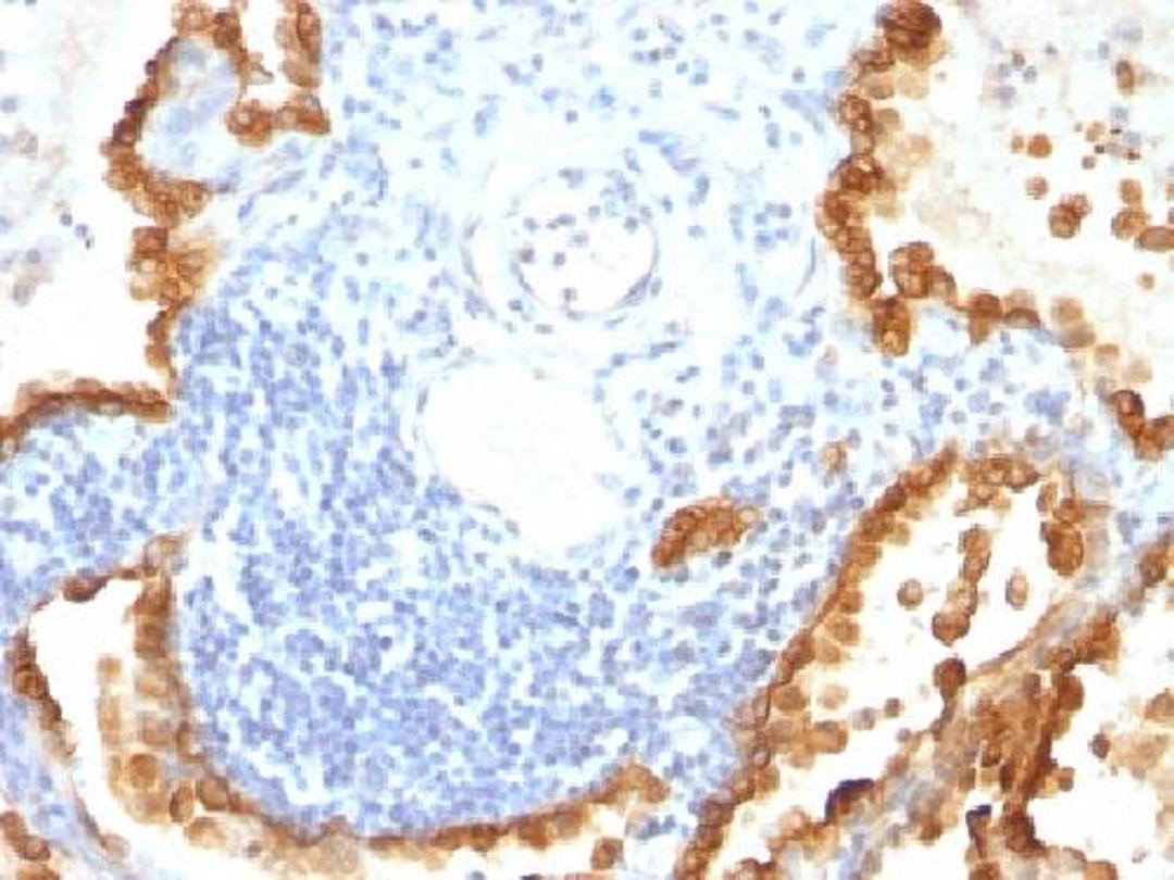
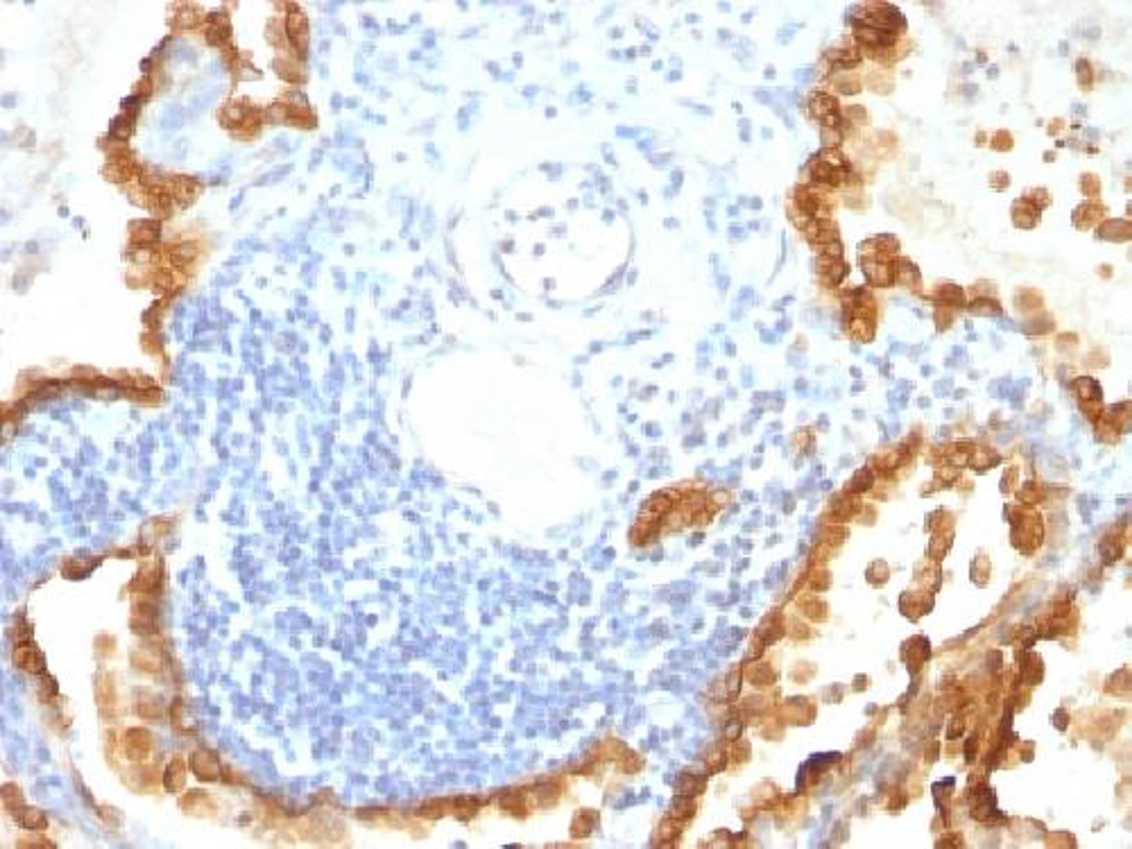
Neurofilament (H+L) antibody
Product Details
- Cat. No.
- orb389010
- Type
- Primary Antibody
- Clonality
- Monoclonal
- Host
- Mouse

The supplier does not provide quotations for this antibody through SelectScience. You can search for similar antibodies in our Antibody Directory.
Description
Mouse monoclonal antibody to Neurofilament (H+L)
Biological Information
- Clonality: Monoclonal
- Host: Mouse
- Reactivity: Dengue Virus (DENV), Human, Pig (Swine), Rat
- Clone: NF421 + NFL/736
- Isotype: IgG
- Gene: 55038
Handling
- Quantity: 200 µl, 30 µl (Trial size), 100 µl
- Storage: Store at 4°C for up to two weeks. For long term storage, aliquot and store at -20°C, avoid freeze/thaw cycles.
- Buffer: 0.42% Potassium phosphate, 0.87% Sodium chloride, pH 7.3, 30% glycerol, and 0.01% sodium azide.
Applications
- Flow Cytometry (FC)
- Immunohistochemistry (Paraffin-Embedded Sections) (IHC (P))


