Product & ReviewsAntibodies
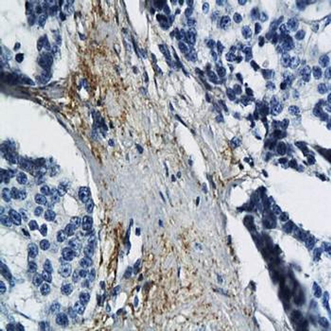
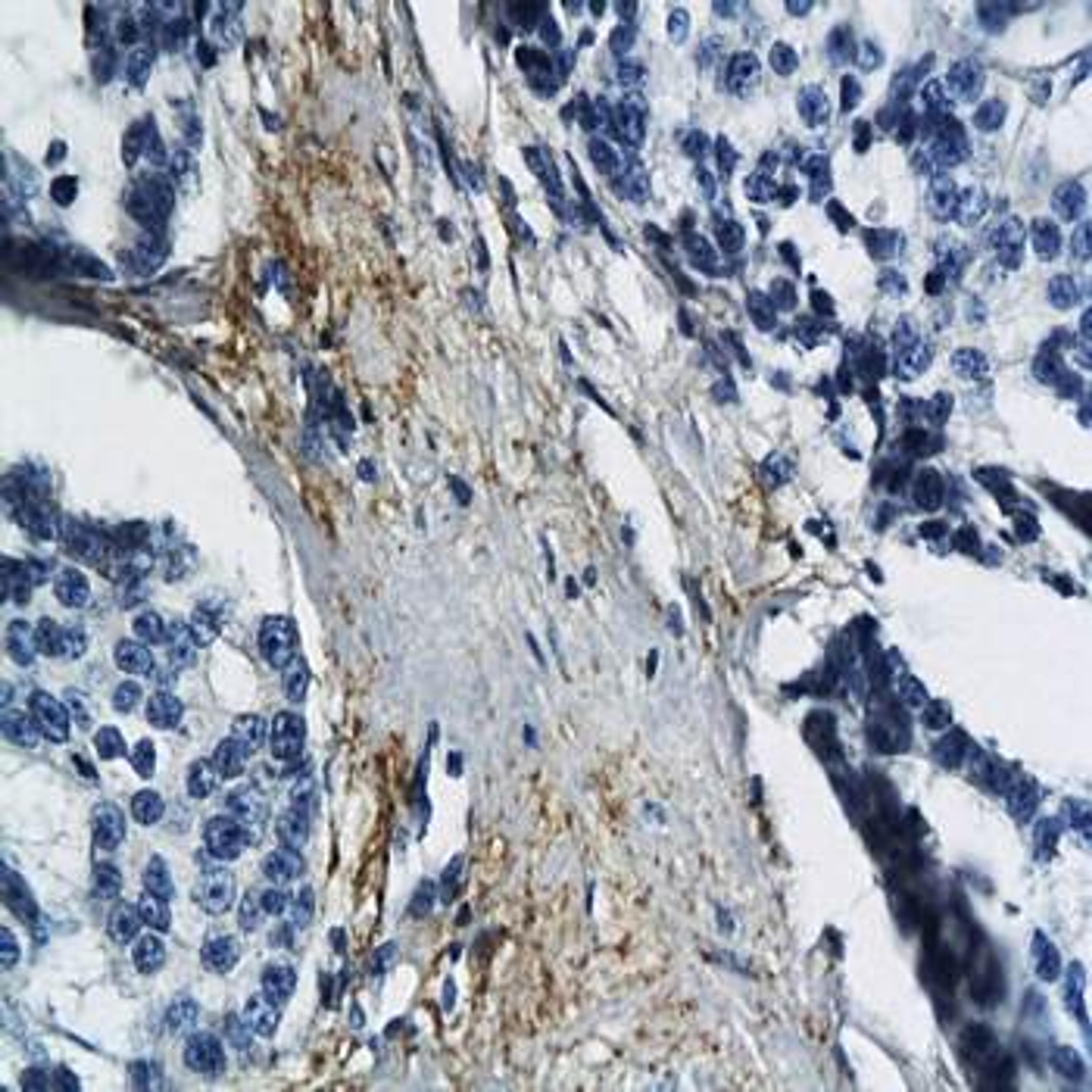
NMDAR2B (phospho-Tyr125) antibody
Product Details
- Cat. No.
- orb6540
- Type
- Primary Antibody
- Clonality
- Polyclonal
- Host
- Rabbit

The supplier does not provide quotations for this antibody through SelectScience. You can search for similar antibodies in our Antibody Directory.
Description
Rabbit polyclonal to NMDAR2B (phospho-Tyr125)
Biological Information
- Clonality: Polyclonal
- Host: Rabbit
- Reactivity: Guinea Pig, Human, Mammalian, Mouse
- Isotype: IgG
Handling
- Quantity: 100 µg
- Storage: At -20°C for one year. After reconstitution at 4°C for two weeks. It can also be aliquotted and stored frozen at -20°C for a longer time.
- Buffer: PBS pH7.2, in 50% glycerol
Applications
- ELISA (ELISA)
- Immunohistochemistry (Paraffin-Embedded Sections) (IHC (P))
- Western Blotting (WB)


