Product & ReviewsAntibodies
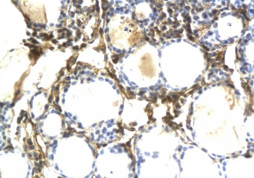
NSE antibody
Product Details
- Cat. No.
- orb11170
- Type
- Primary Antibody
- Clonality
- Polyclonal
- Host
- Rabbit

The supplier does not provide quotations for this antibody through SelectScience. You can search for similar antibodies in our Antibody Directory.
Description
Rabbit polyclonal antibody to NSE. The protein belongs to the enolase family, and is found in elevated concentrations in plasma and certain neoplasias, NSE has neurotrophic and neuroprotective properties on a broad spectrum of central nervous system (CNS)
Biological Information
- Clonality: Polyclonal
- Host: Rabbit
- Reactivity: Human, Mammalian, Mouse
- Isotype: IgG
Handling
- Quantity: 100 µg
- Storage: Store at -20 °C. for long term storage and 2-8 °C. for up to one month.Avoid freeze/thaw cycles.
- Buffer: Aliquot in PBS, 20% glycerol and 0.05% sodium azide.
Applications
- ELISA (ELISA)
- Immunohistochemistry (Paraffin-Embedded Sections) (IHC (P))
- Western Blotting (WB)


