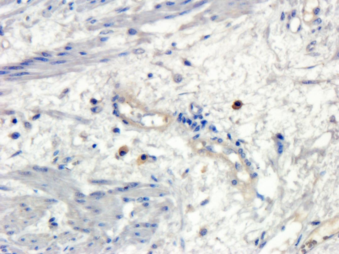
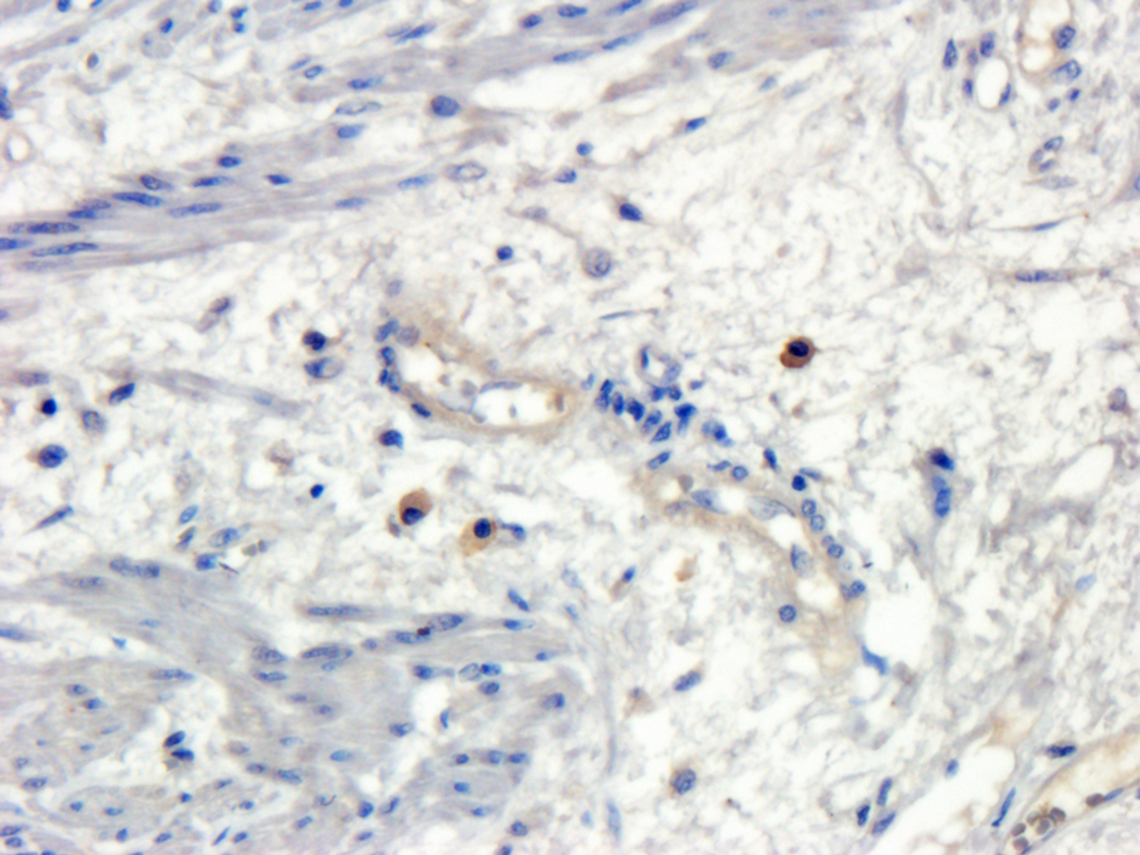
Osteocalcin antibody
Product Details
- Cat. No.
- orb259644
- Type
- Primary Antibody
- Clonality
- Polyclonal
- Host
- Rabbit

The supplier does not provide quotations for this antibody through SelectScience. You can search for similar antibodies in our Antibody Directory.
Description
Rabbit polyclonal antibody to osteocalcin is the most abundant non-collagenous protein in bone; comprising almost 2% of total protein in the human body. It is important in bone metabolism and is used as a clinical marker for bone turnover; but its precise function remains elusive. With no known enzyme activity; osteocalcin's function depends on its structure. That structure has now been determined by X-ray crystallography; to reveal a negatively charged protein surface that places five calcium ions in positions complementary to those in hydroxyapatite; an important mineral component of bone. Using this recognition mechanism; osteocalcin could potentially modulate the crystal morphology and growth of hydroxyapatite. And in this complex; the carboxy terminus of osteocalcin; which promotes the adhesion of osteoblasts and osteoclasts in bone replacement; is readily accessible.
Biological Information
- Clonality: Polyclonal
- Host: Rabbit
- Reactivity: Human, Mouse, Rat
- Clone: NULL
- Conjugate: Unconjugated
- Isotype: IgG
- Gene: 632
Handling
- Quantity: 100 ?g; 200 ?g
- Storage: Store at 4°C for up to two weeks. For long term storage; aliquot and store at -20°C; avoid freeze/thaw cycles.
- Buffer: 10 mM PBS; 0.02% sodium azide
Applications
- ELISA (ELISA)
- Immunohistochemistry (Paraffin-Embedded Sections) (IHC (P))
- Western Blotting (WB)


