Product & ReviewsAntibodies
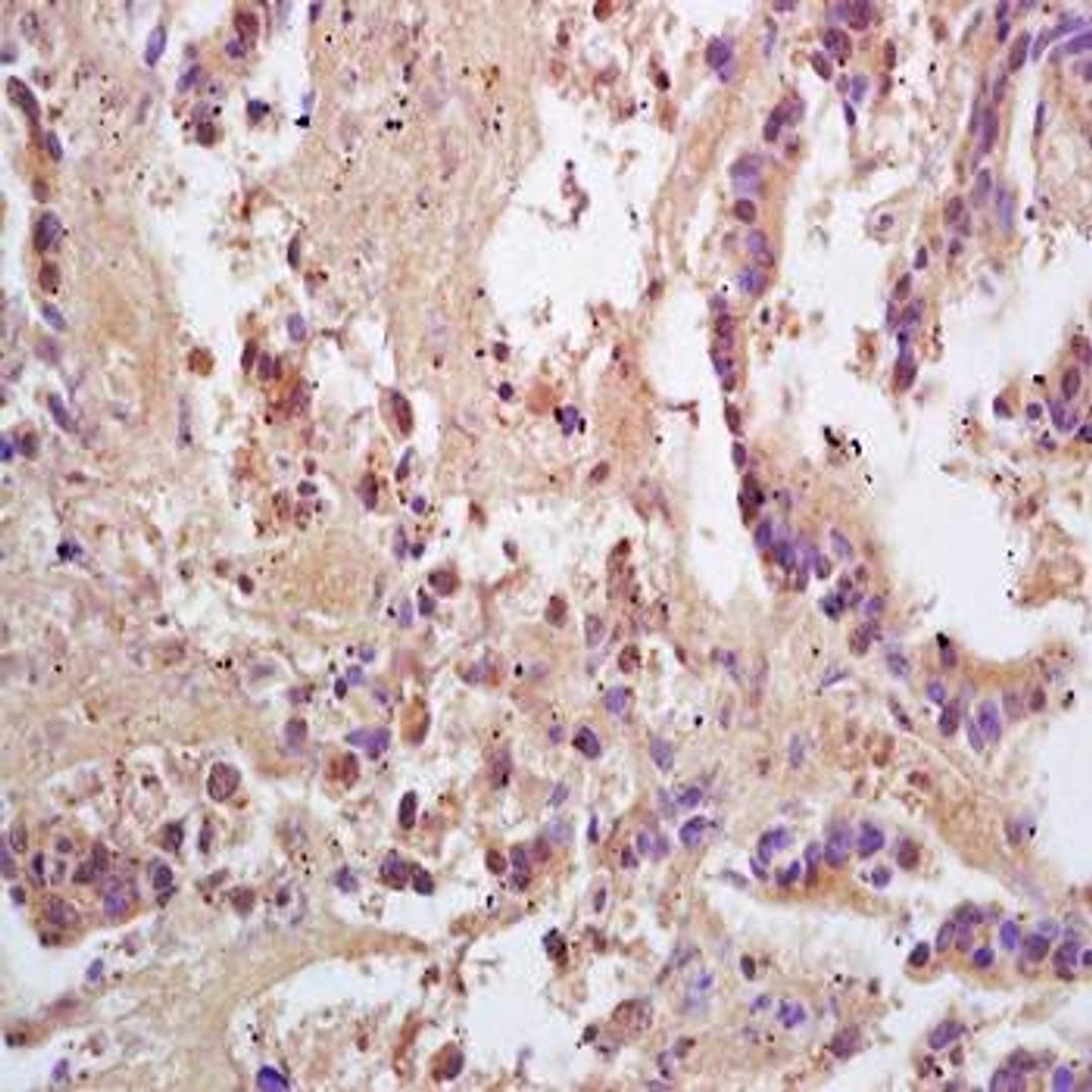
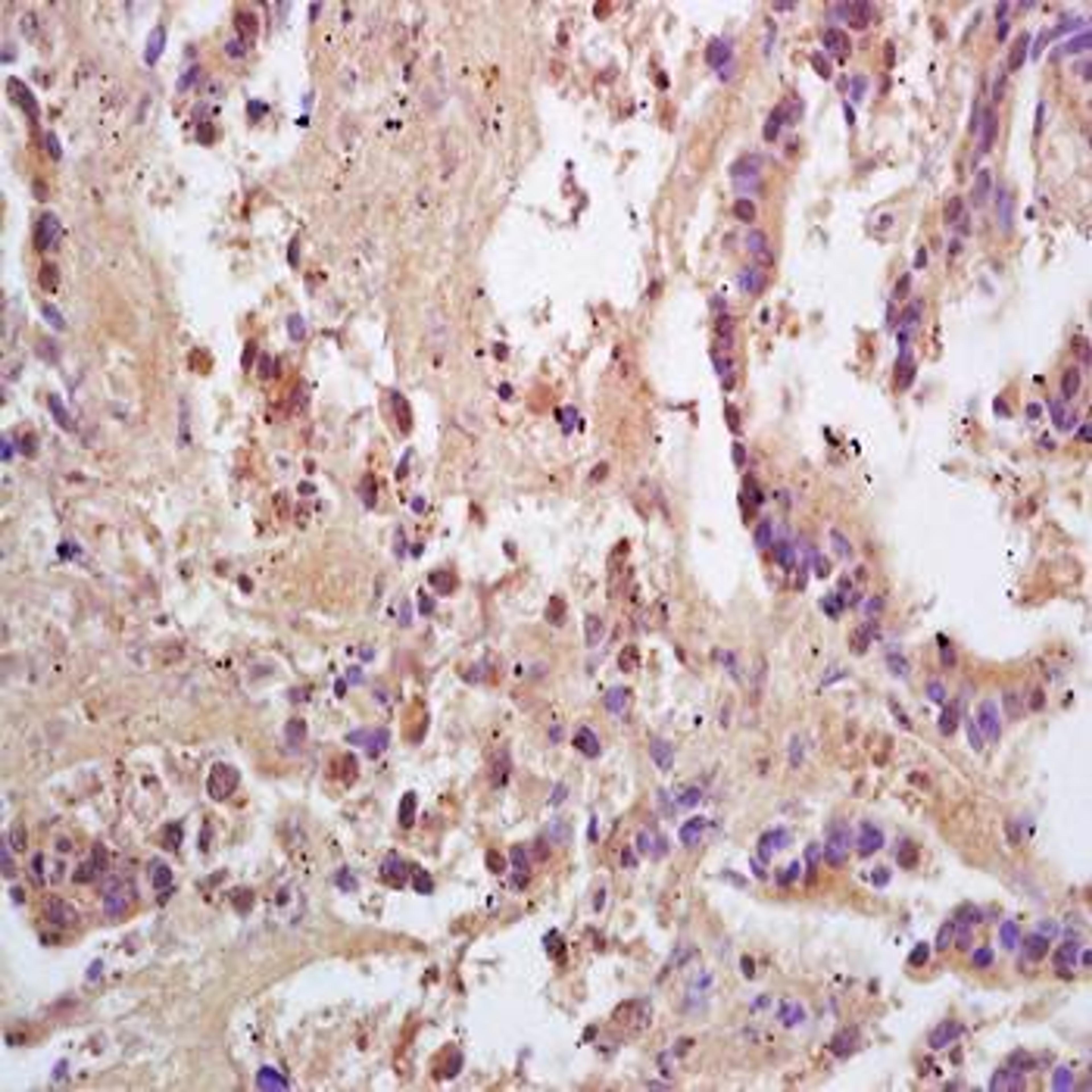
P311 antibody
Product Details
- Cat. No.
- orb11206
- Type
- Primary Antibody
- Clonality
- Polyclonal
- Host
- Rabbit

The supplier does not provide quotations for this antibody through SelectScience. You can search for similar antibodies in our Antibody Directory.
Description
Rabbit polyclonal to P311
Biological Information
- Clonality: Polyclonal
- Host: Rabbit
- Reactivity: Human, Mammalian, Mouse
- Isotype: IgG
- Gene: 9364
Handling
- Quantity: 100 µg
- Storage: Store at -20 °C. for long term storage and 2-8 °C. for up to one month.Avoid freeze/thaw cycles.
- Buffer: supplied as a 200 ul (3 mg/ml) aliquot in PBS, 20% glycerol and 0.05% sodium azide.
Applications
- ELISA (ELISA)
- Immunohistochemistry (Paraffin-Embedded Sections) (IHC (P))
- Western Blotting (WB)


