Product & ReviewsAntibodies
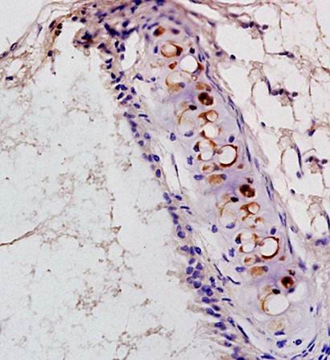
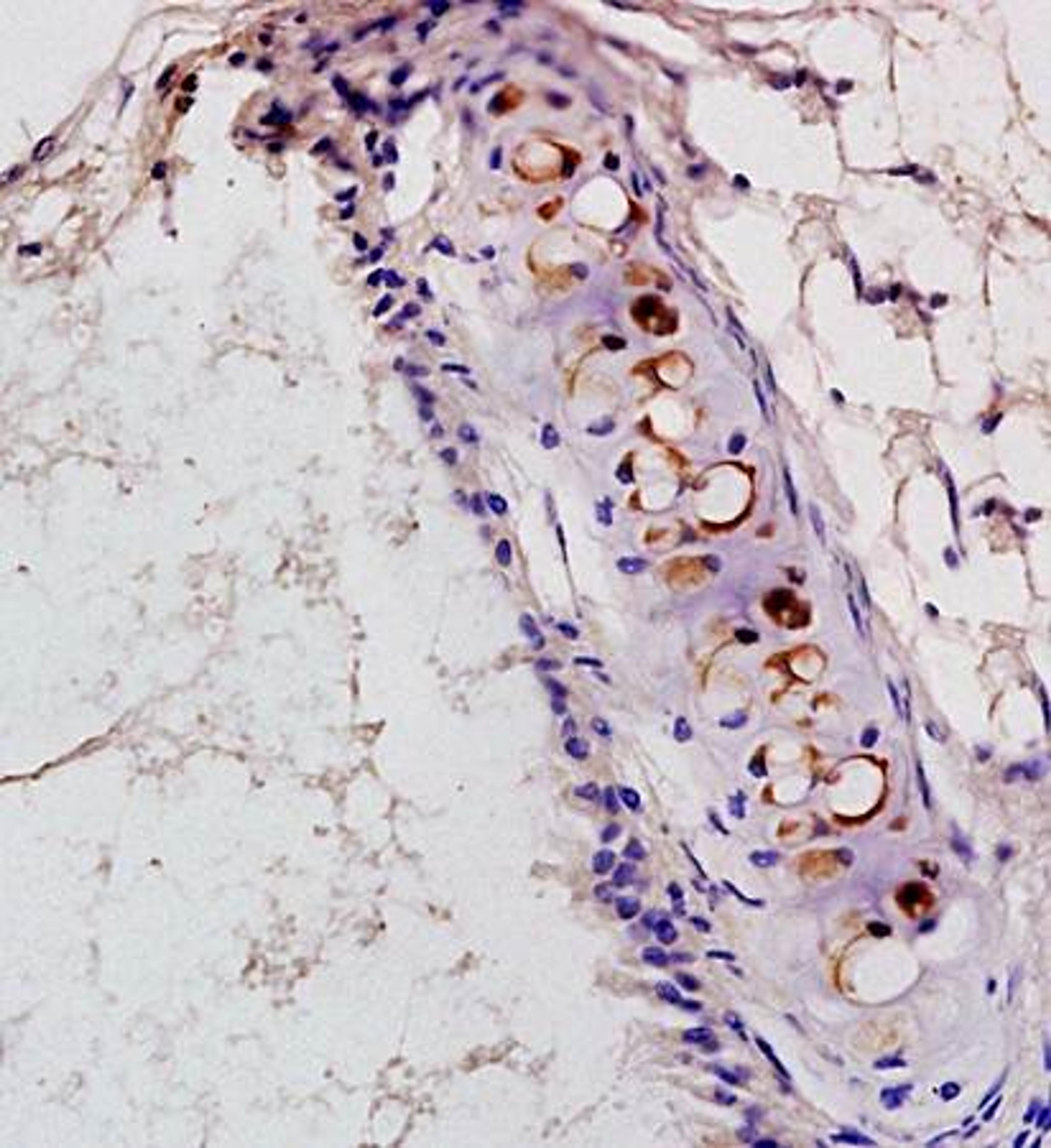
PACAP 38 antibody
Product Details
- Cat. No.
- orb11221
- Type
- Primary Antibody
- Clonality
- Polyclonal
- Host
- Rabbit

The supplier does not provide quotations for this antibody through SelectScience. You can search for similar antibodies in our Antibody Directory.
Description
Rabbit polyclonal antibody to PACAP 38
Biological Information
- Clonality: Polyclonal
- Host: Rabbit
- Reactivity: Human, Mammalian, Mouse
- Isotype: IgG
Handling
- Quantity: 100 µg
- Storage: At -20°C.for one year. After reconstitution, at 4°C.for one month. It can also be aliquotted and stored frozen at -20°C.for a longer time. Avoid repeated freezing and thawing.
- Buffer: Lyophilized
Applications
- ELISA (ELISA)
- Immunofluorescence (Paraffin-Embedded Sections) (IF (P))
- Immunohistochemistry (Paraffin-Embedded Sections) (IHC (P))
- Western Blotting (WB)


