Product & ReviewsAntibodies
PAF Receptor antibody
Product Details
- Cat. No.
- orb11225
- Type
- Primary Antibody
- Clonality
- Polyclonal
- Host
- Rabbit

The supplier does not provide quotations for this antibody through SelectScience. You can search for similar antibodies in our Antibody Directory.
Description
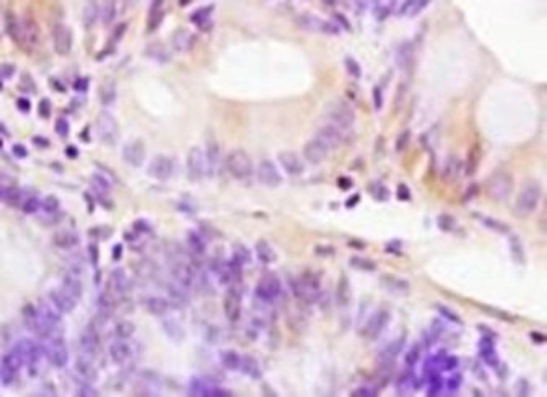
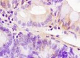
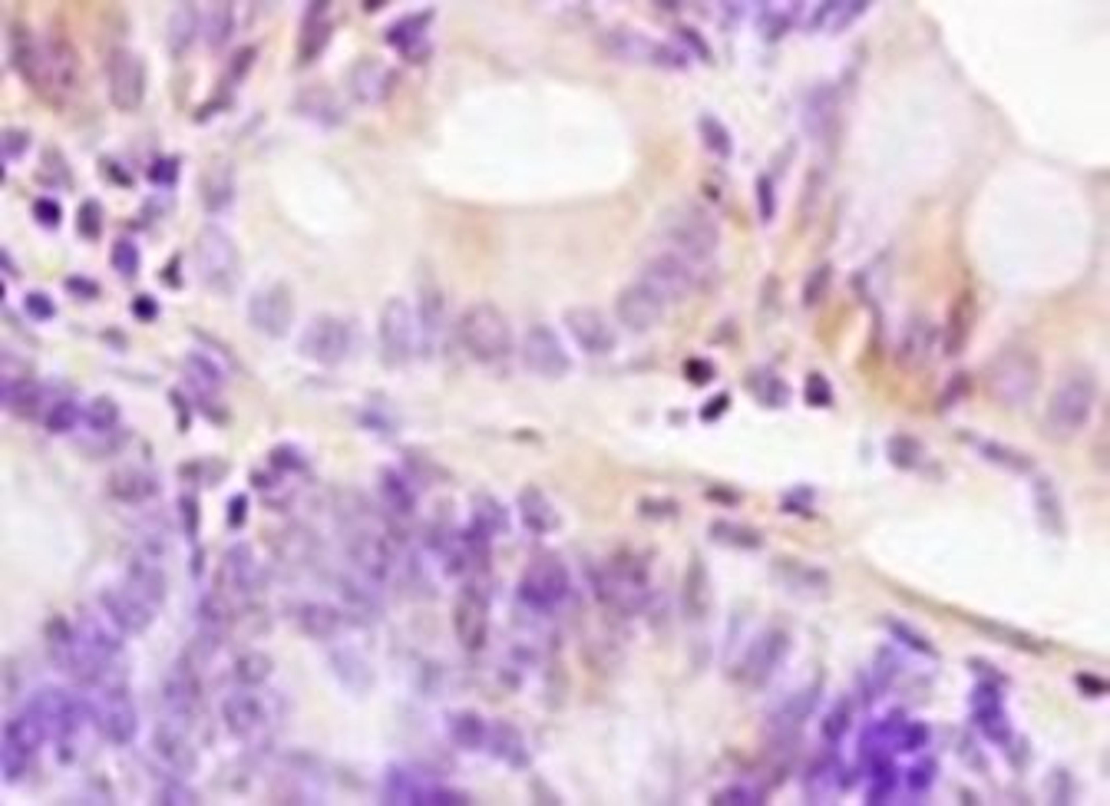
Rabbit polyclonal antibody to PAF receptor which is also known as PAF-R and PAFr whose expression can be detected in the heart and lung but is highly expressive in the placenta and ventricles. It is found in the cell membrane. It can perform functions lik
Biological Information
- Clonality: Polyclonal
- Host: Rabbit
- Reactivity: Bovine, Human, Mammalian, Mouse, Rabbit (Lapine)
- Isotype: IgG
Handling
- Quantity: 100 µg, 200 µg
- Storage: Store at 4°C for up to two weeks. For long term storage, aliquot and store at -20°C, avoid freeze/thaw cycles.
- Buffer: 10 mM PBS, pH 7.4 with 10 mg/ml BSA, 0.03% Proclin 300 and 25% glycerol
Applications
- ELISA (ELISA)
- Immunofluorescence (Paraffin-Embedded Sections) (IF (P))
- Immunohistochemistry (Frozen Sections) (IHC (Fr))
- Immunohistochemistry (Paraffin-Embedded Sections) (IHC (P))
- Western Blotting (WB)


