Product & ReviewsAntibodies
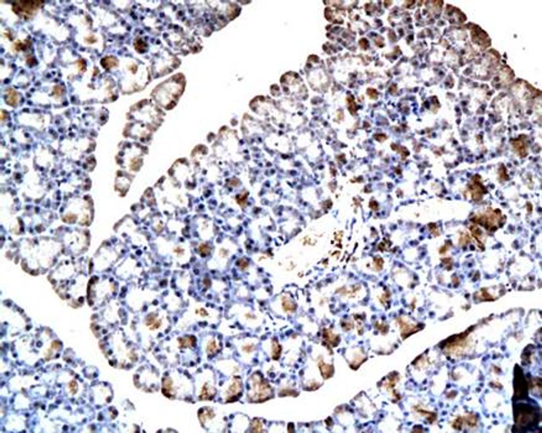
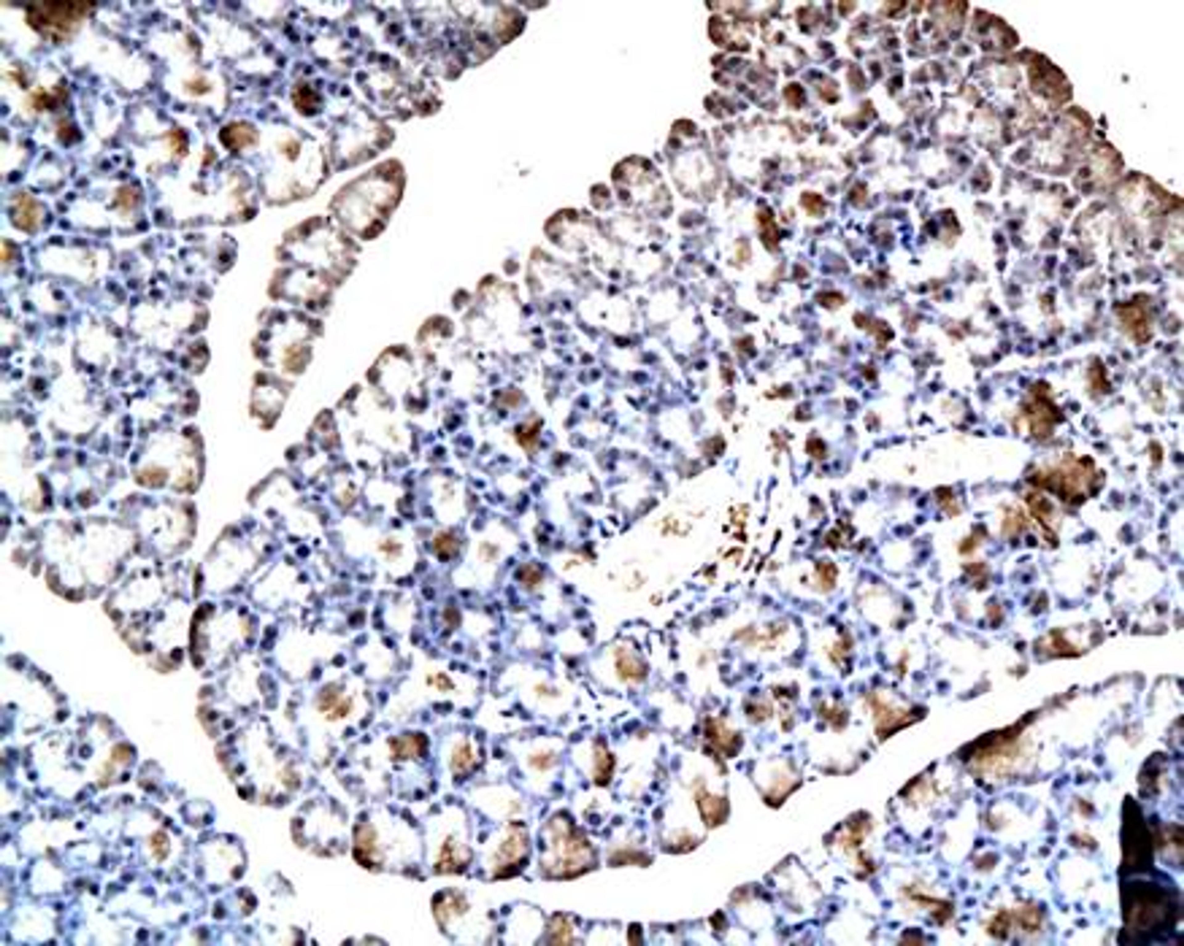
PDGF Receptor alpha antibody
Product Details
- Cat. No.
- orb11256
- Type
- Primary Antibody
- Clonality
- Polyclonal
- Host
- Rabbit

The supplier does not provide quotations for this antibody through SelectScience. You can search for similar antibodies in our Antibody Directory.
Description
Rabbit polyclonal antibody to PDGF Receptor alpha
Biological Information
- Clonality: Polyclonal
- Host: Rabbit
- Reactivity: Human, Mammalian, Mouse
- Isotype: IgG
Handling
- Quantity: 100 µl
- Storage: Store at -20°C avoid freeze/thaw cycles
- Buffer: liquid: Supplied as serum
Applications
- ELISA (ELISA)
- Immunohistochemistry (Paraffin-Embedded Sections) (IHC (P))
- Western Blotting (WB)


