Product & ReviewsAntibodies
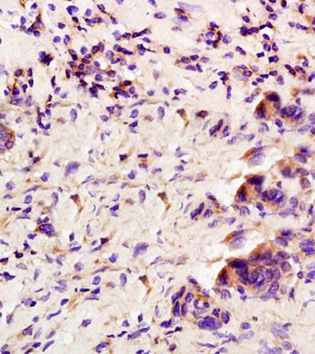
PLOD2 antibody
Product Details
- Cat. No.
- orb106896
- Type
- Primary Antibody
- Clonality
- Polyclonal
- Host
- Rabbit

The supplier does not provide quotations for this antibody through SelectScience. You can search for similar antibodies in our Antibody Directory.
Description
Rabbit polyclonal to PLOD2. Forms hydroxylysine residues in -Xaa-Lys-Gly-sequences in collagens. These hydroxylysines serve as sites of attachment for carbohydrate units and are essential for the stability of the intermolecular collagen cross-links.
Biological Information
- Clonality: Polyclonal
- Host: Rabbit
- Reactivity: Human
- Isotype: IgG
Handling
- Quantity: 100 µg
- Storage: Store at -20°C.
- Buffer: Solution In Phosphate Buffered Saline With 0.08% Sodium Azide
Applications
- ELISA (ELISA)
- Western Blotting (WB)


