Rabbit anti-CD163 Recombinant Monoclonal Antibody [BLR087G]
Product Details
- Cat. No.
- A700-087
- Type
- Primary Antibody
- Clonality
- Recombinant
- Host
- Rabbit

The supplier does not provide quotations for this antibody through SelectScience. You can search for similar antibodies in our Antibody Directory.
Description
Rabbit anti-CD163 Recombinant Monoclonal Antibody [BLR087G]
Biological Information
- Clonality: Recombinant
- Host: Rabbit
- Reactivity: Human
- Antigen: CD163
- Clone: BLR087G
- Conjugate: Unconjugated
- Isotype: IgG
- Gene: 9332
Handling
- Quantity: 100 µl (50+ tests)
- Storage: 2 - 8° C
- Buffer: Borate Buffered Saline (BBS) pH 8.2 with 0.1% BSA and 0.09% Sodium Azide
- Specificity: 5
Applications
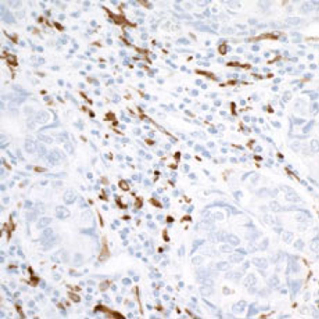
- Immunohistochemistry (IHC)
This antibody works good with a high sensitivity and specificity binding detection.
Western blot
Antibody worked well at recommended starting concentration. A decent CD162 positive population could be identified by flow cytometry. It is suitable for: ICC/IF, IHC-P. Upon receipt, store it immediately at -20 to -70 °C. Western blot shows lysates of human thymus tissue, human liver tissue etc. Millipore Polyvinylidene fluoride membrane was probed with 1 µg/mL of Rabbit Anti-Human CD163 Recombinant Monoclonal Antibody followed by HRP-conjugated Anti-Rabbit IgG Secondary Antibody. A specific band was detected for CD163 at approximately 150 kDa. This experiment was conducted under reducing conditions: 25 mM Tris, pH 7.4, 0.15 M NaCl, 0.1% Tween 20, with adjustment of PH 7.4
Review Date: 1 May 2021 | Bethyl Laboratories. Inc


