Product & ReviewsAntibodies
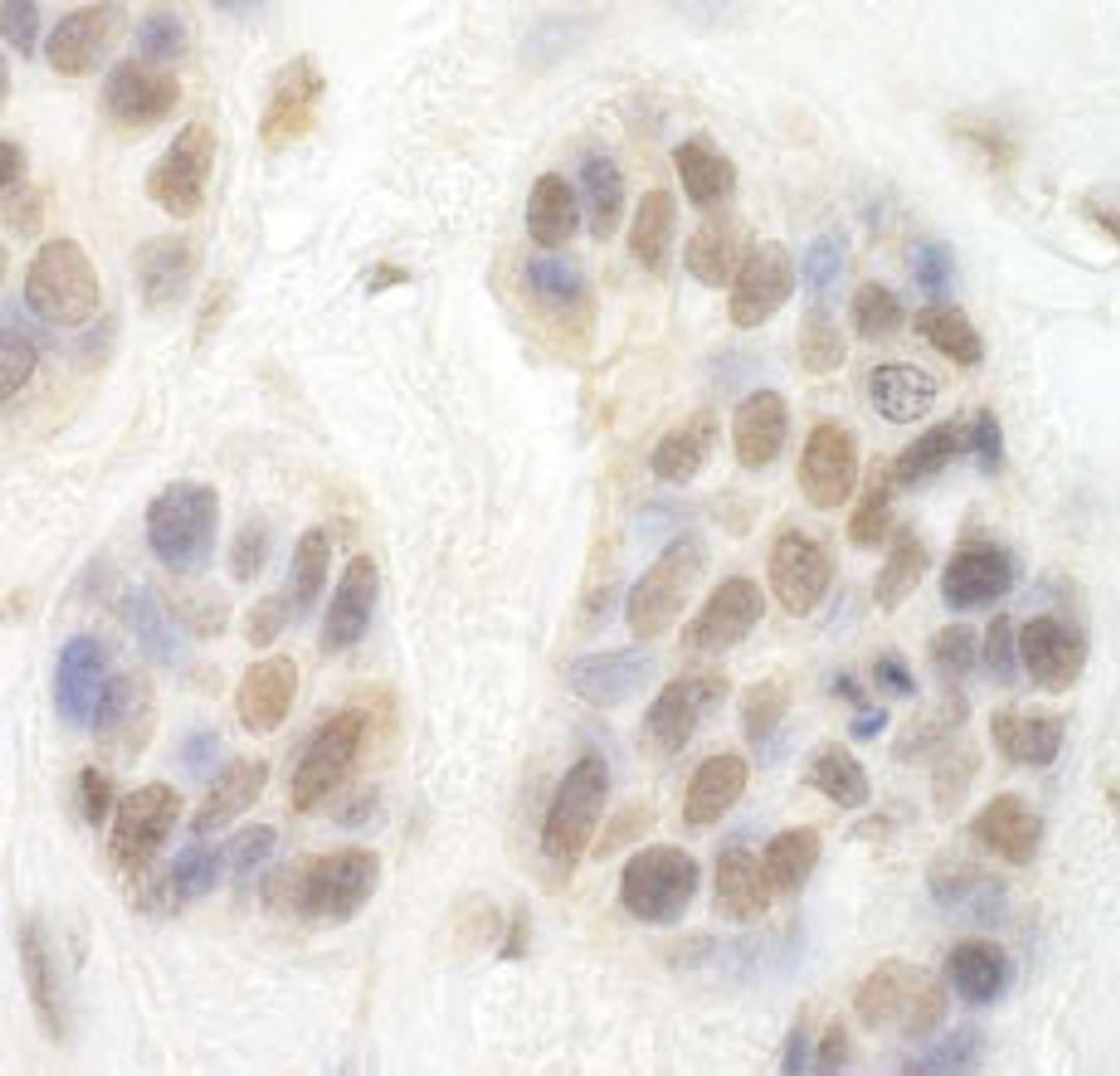
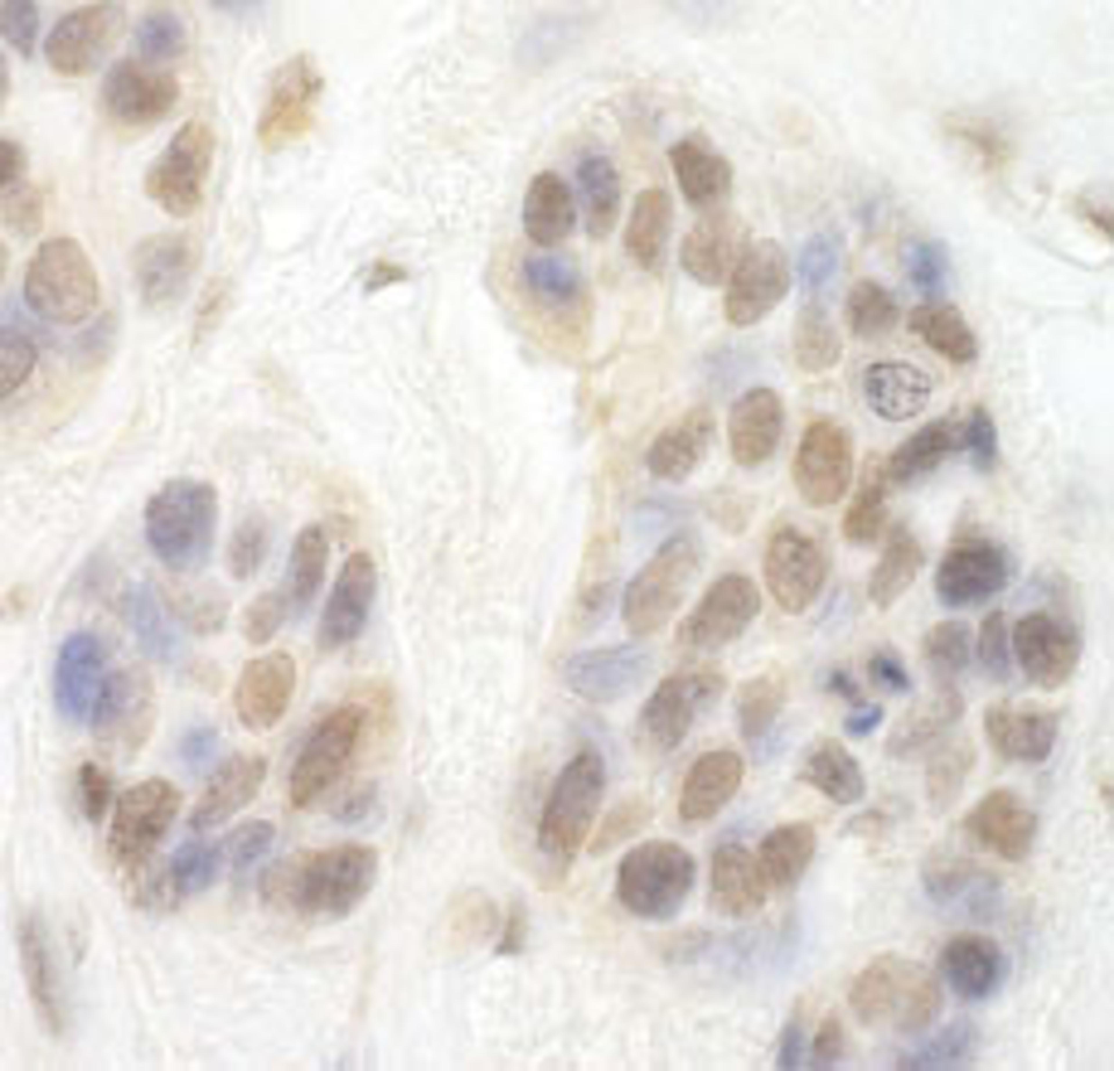
Rabbit anti-CDK8 Antibody, Affinity Purified
Product Details
- Cat. No.
- A302-501A-T
- Clonality
- Polyclonal
- Host
- Rabbit

The supplier does not provide quotations for this antibody through SelectScience. You can search for similar antibodies in our Antibody Directory.


