RABBIT ANTI FLIP GAMMA/DELTA
Product Details
- Cat. No.
- VPA00085
- Type
- Primary Antibody
- Clonality
- Polyclonal
- Host
- Rabbit

The supplier does not provide quotations for this antibody through SelectScience. You can search for similar antibodies in our Antibody Directory.
Description
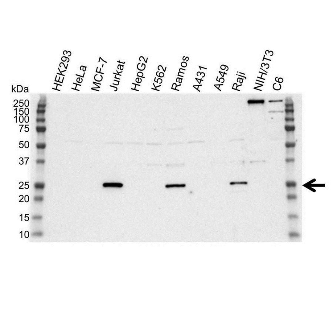
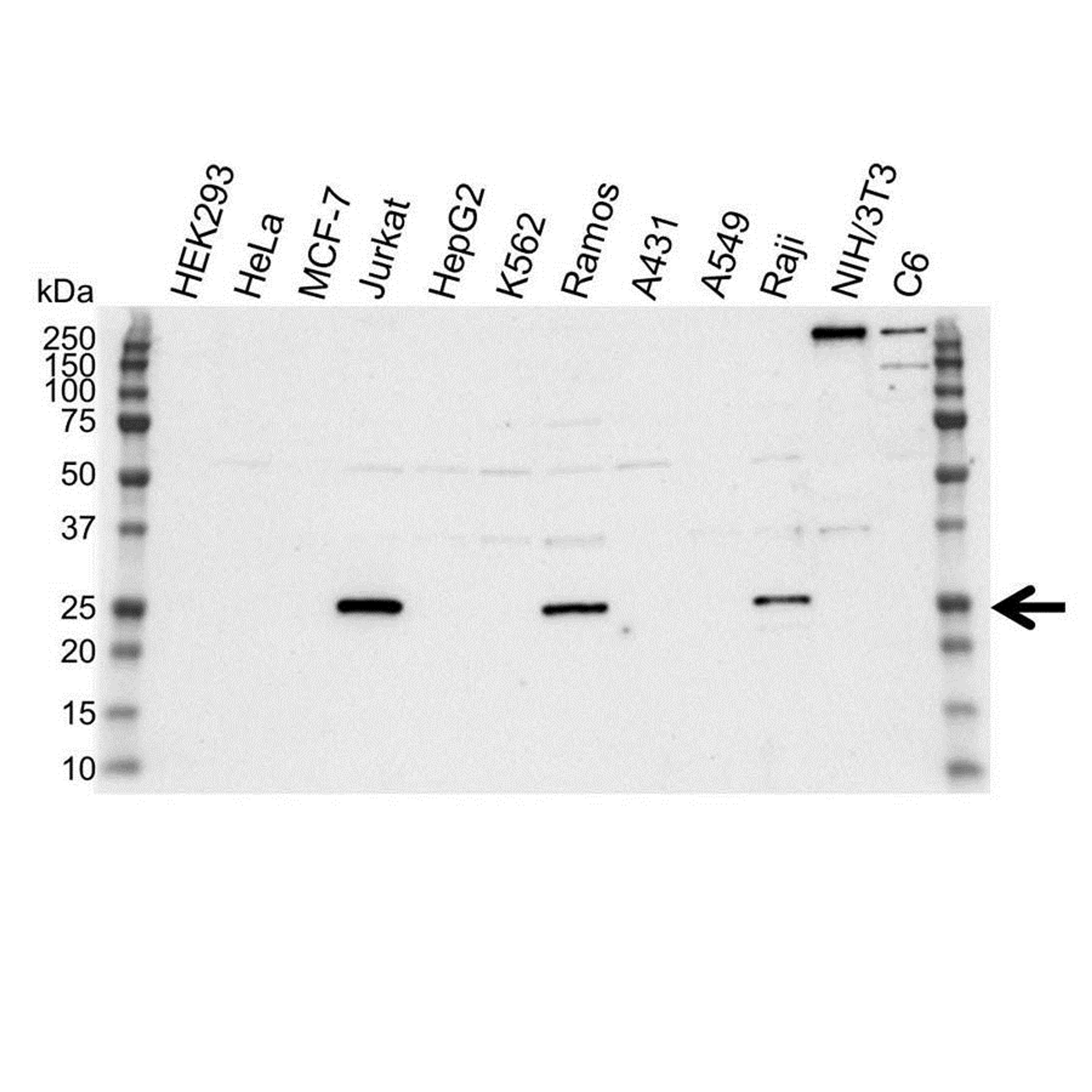
Rabbit anit Human FLIP gamma/delta antibody recognizes the apoptosis related protein designated FLIP (FLICE inhibitory protein) or I-FLICE. . FLIP interacts with the adaptor protein FADD, and with caspase-8 (FLICE) and caspase-10 (FLICE2) to inhibit apoptosis induced by death receptors including CD95, DR3, TRAIL-R and TNFR1.. FLICE inhibitory proteins were initially identified in virus and human and were accordingly designated as v-FLIPs and c-FLIPs. Four spice variants of c-FLIP have been identified and are classified as FLIP alpha, beta, delta and gamma. This antibody recognizes the human delta and gamma variants but not the alpha or beta variants. . FLIP is widely expressed in human tissues. Rabbit anti Human FLIP gamma/delta antibody detects FLIP as a band of 25 kDa in human Jurkat, Ramos and Raji cell line lysates.
Biological Information
- Clonality: Polyclonal
- Host: Rabbit
- Reactivity: Human
- Isotype: Polyclonal IgG
Handling
- Quantity: 100 µl
- Storage: -20ºC only
- Buffer: Phosphate buffered saline, 0.09% Sodium Azide
Applications
- Western Blotting (WB)


