Product & ReviewsAntibodies
SLC35A1 antibody
Product Details
- Cat. No.
- orb41555
- Type
- Primary Antibody
- Clonality
- Polyclonal
- Host
- Rabbit

The supplier does not provide quotations for this antibody through SelectScience. You can search for similar antibodies in our Antibody Directory.
Description
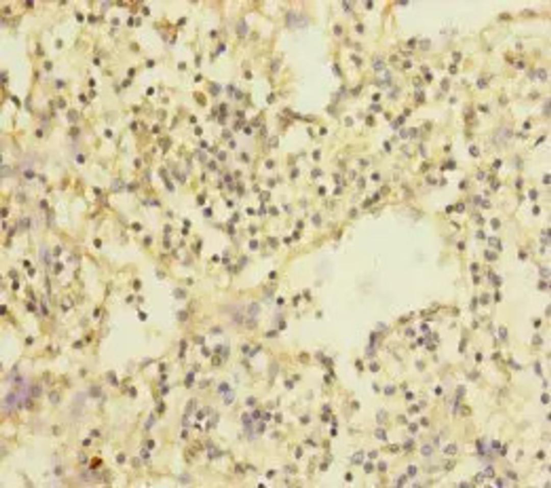
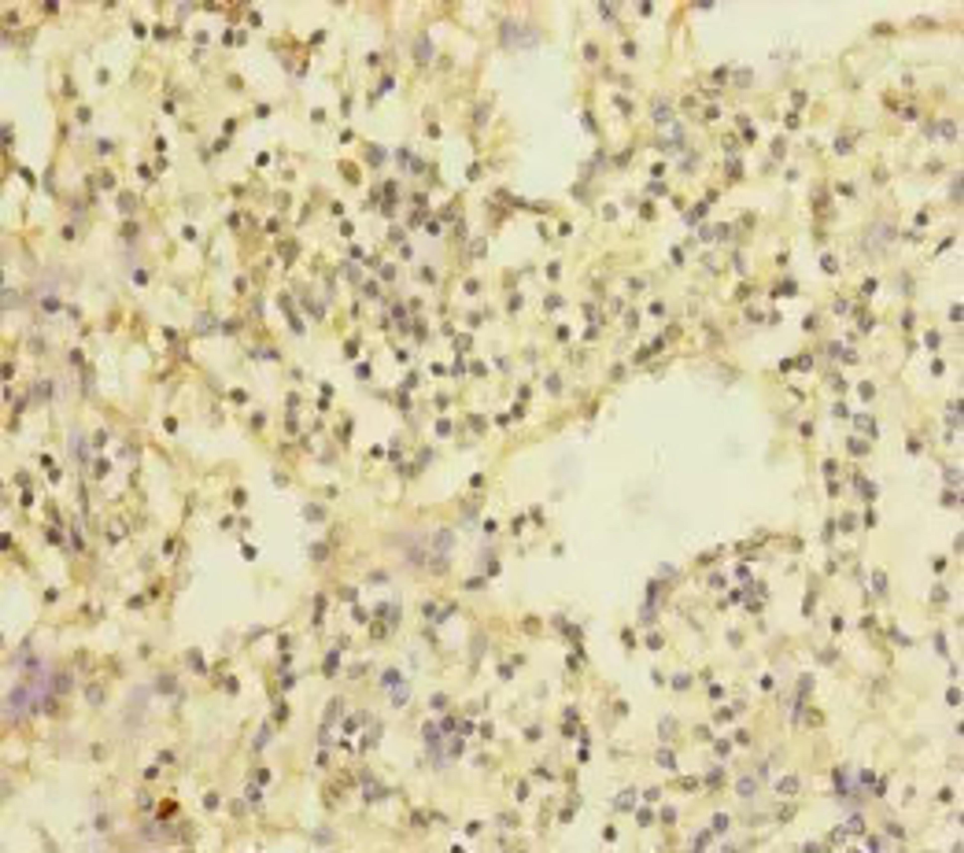
Rabbit polyclonal antibody to SLC35A1
Biological Information
- Clonality: Polyclonal
- Host: Rabbit
- Reactivity: Human
- Isotype: IgG
Handling
- Quantity: 100 μl
- Storage: PBS with 0.02% sodium azide, 50% glycerol, pH7.3.
- Buffer: Upon receipt, store at -20°C or -80°C. Avoid repeated freeze.
- Specificity: 5
Applications
- ELISA (ELISA)
- Immunohistochemistry (Paraffin-Embedded Sections) (IHC (P))
Very good antibody, wouldn't use anything else.
Application Area:
Determine knockdown of protein via amiRNAs
This antibody works as advertised, which is something that cannot be taken for granted when working with antibodies. My western blots are clean and reproducible, which makes for a happy researcher!
Review Date: 13 Nov 2020 | Biorbyt


