Product & ReviewsAntibodies
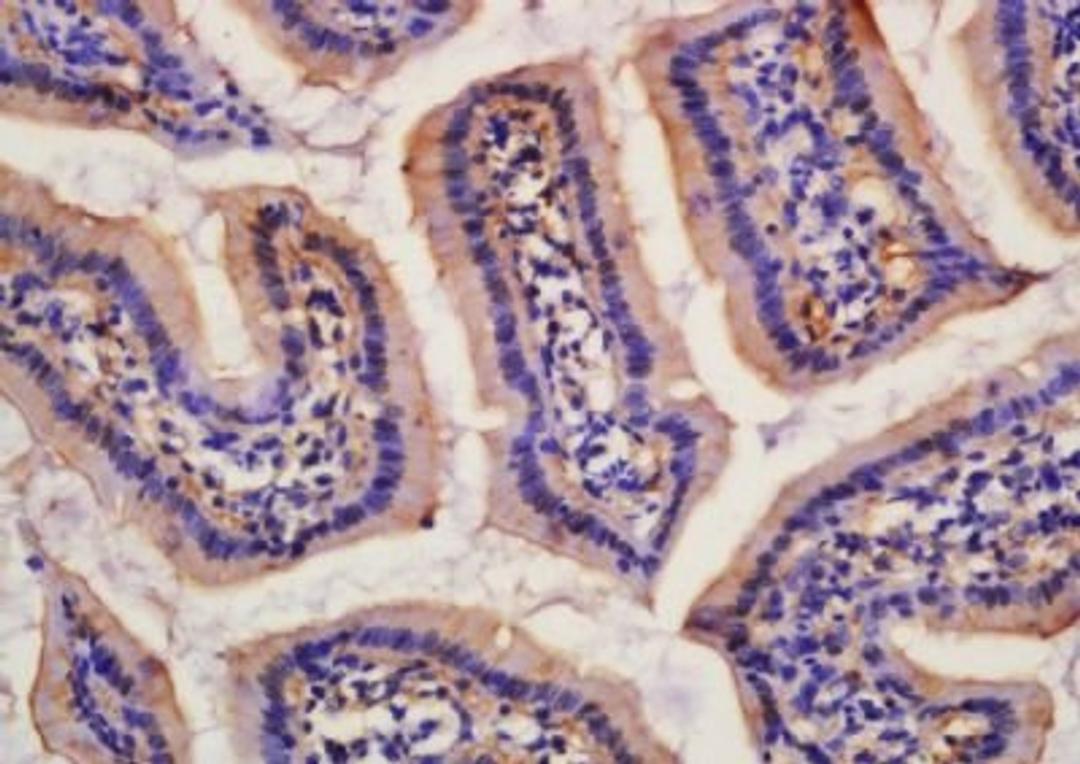
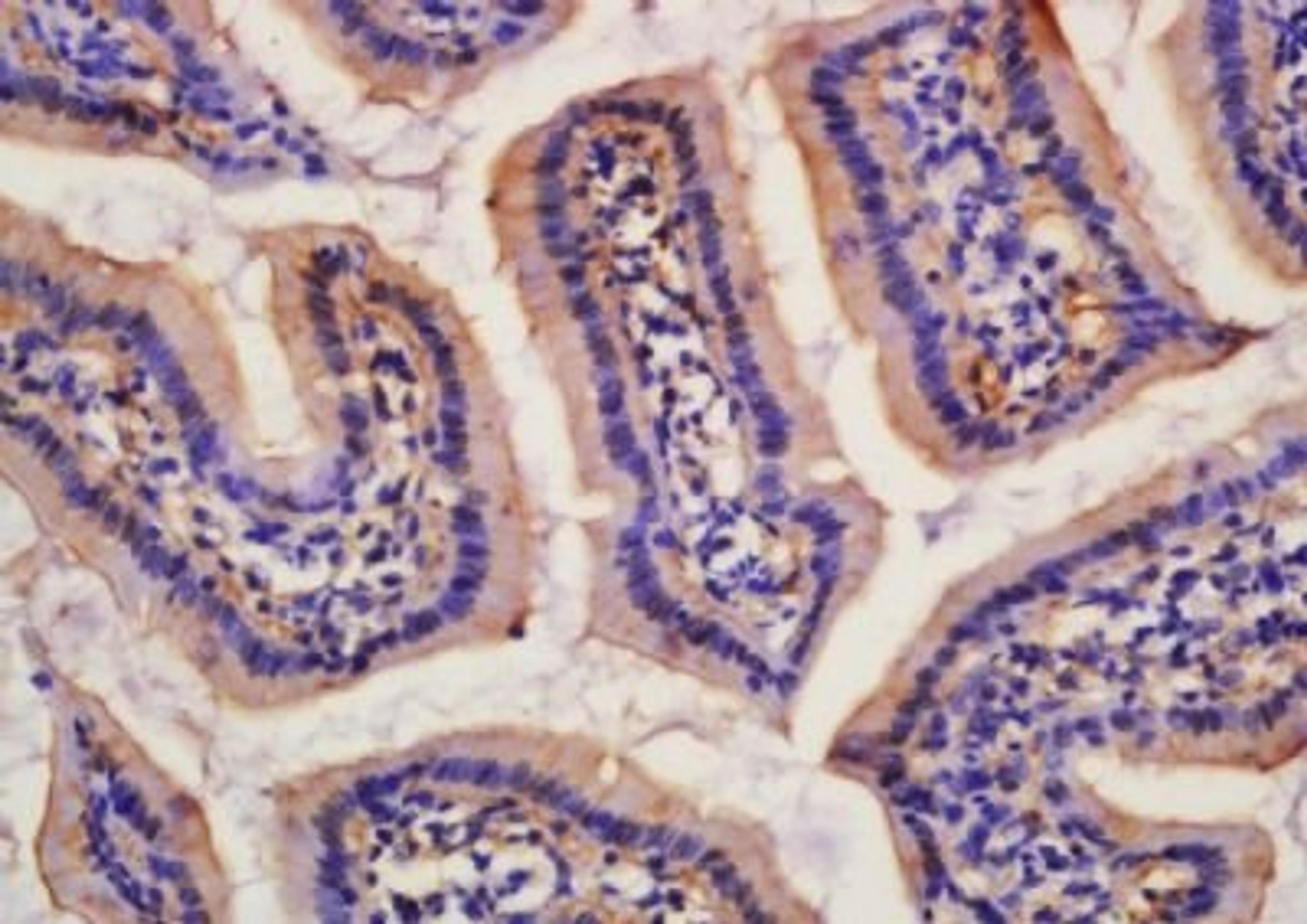
SLC38A2 antibody
Product Details
- Cat. No.
- orb158407
- Type
- Primary Antibody
- Clonality
- Polyclonal
- Host
- Rabbit

The supplier does not provide quotations for this antibody through SelectScience. You can search for similar antibodies in our Antibody Directory.
Description
Rabbit polyclonal antibody to SLC38A2, which is also known as SNAT2 and PRO1068. SNAT2 is frequently found in the axonal shaft of the plasma membrane and is expressed in the uterus and primordial germ cells in the gonads. It is overexpressed in the amnioc
Biological Information
- Clonality: Polyclonal
- Host: Rabbit
- Reactivity: Bovine, Dog (Canine), Human, Mammalian, Mouse
- Isotype: IgG
Handling
- Quantity: 100 µg
- Storage: Store at -20°C for a year
- Buffer: PBS, 50% glycerol, 0.5% BSA and 0.02% sodium azide.
Applications
- ELISA (ELISA)
- Immunofluorescence (Paraffin-Embedded Sections) (IF (P))
- Immunohistochemistry (Frozen Sections) (IHC (Fr))
- Immunohistochemistry (Paraffin-Embedded Sections) (IHC (P))
- Western Blotting (WB)


