Product & ReviewsAntibodies
SP4 antibody
Product Details
- Cat. No.
- orb11666
- Type
- Primary Antibody
- Clonality
- Polyclonal
- Host
- Rabbit

The supplier does not provide quotations for this antibody through SelectScience. You can search for similar antibodies in our Antibody Directory.
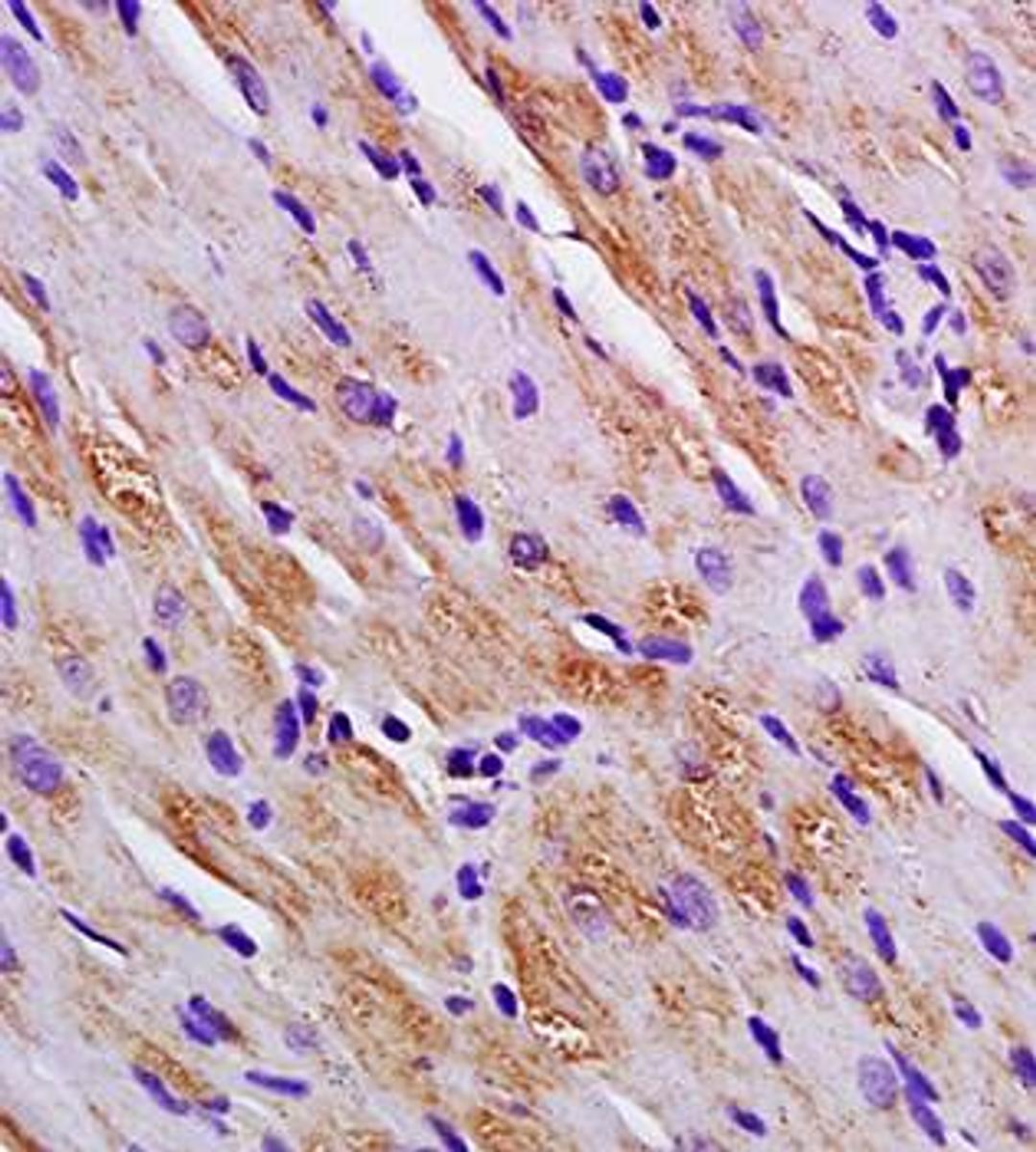
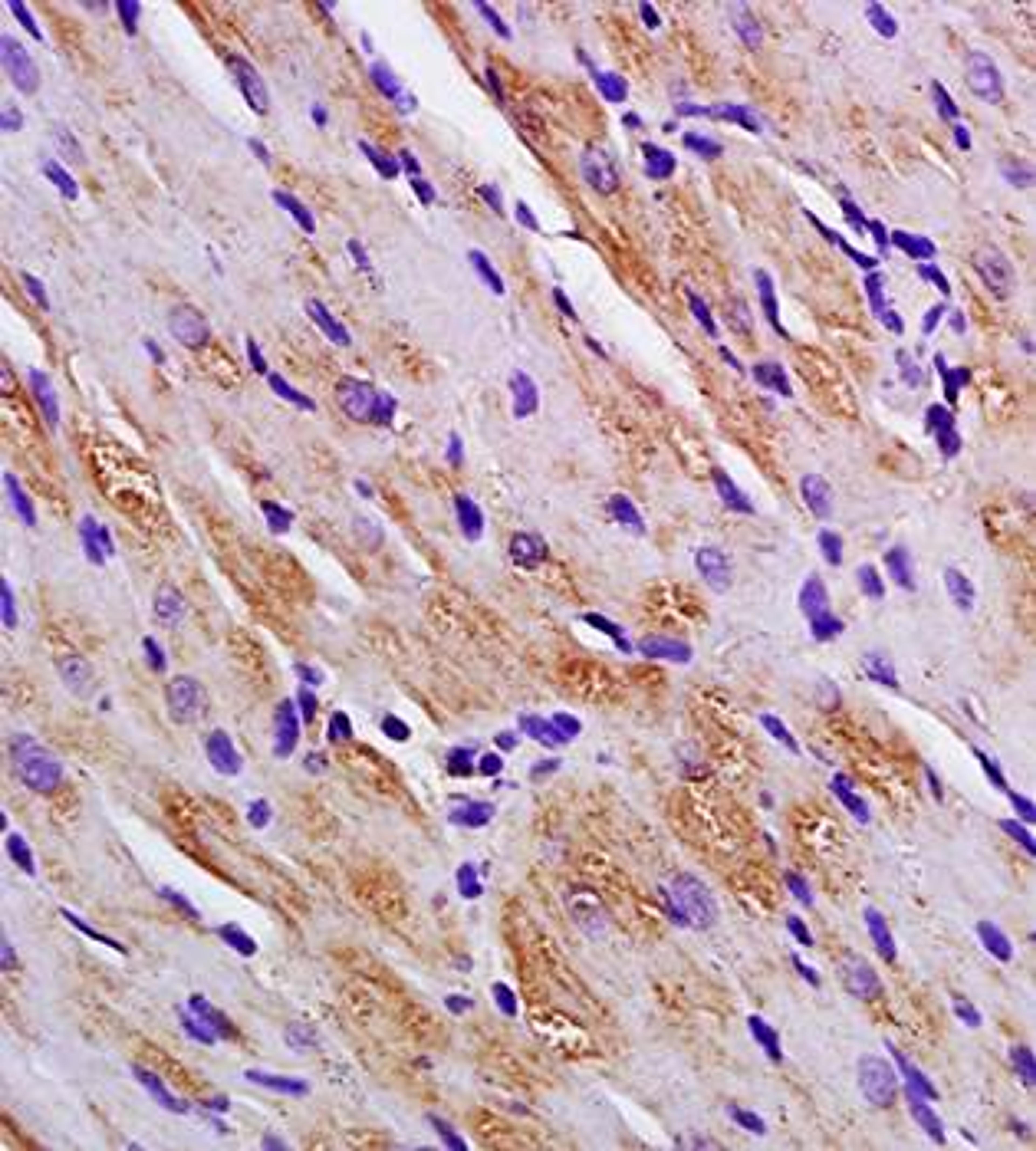
Description
Rabbit polyclonal to SP4. SP4(Sp4 transcription factor), also known as Transcription factor Sp4, MGC130008, MGC130009, SPR-1, HF1B, is a protein that in humans is encoded by the SP4 gene. It is a multigene family of SP proteins. Northern blot analysis tha
Biological Information
- Clonality: Polyclonal
- Host: Rabbit
- Reactivity: Human, Mammalian, Mouse
- Isotype: Rabbit IgG
Handling
- Quantity: 100 µg, 200 µg, 25 µg (Trial Size)
- Storage: Store at 4°C for up to two weeks. For long term storage, aliquot and store at -20°C, avoid freeze/thaw cycles.
- Buffer: PBS (without Mg2+ and Ca2+), pH 7.4, 150mM NaCl, 0.02% sodium azide and 50% glycerol
Applications
- Western Blotting (WB)


