Product & ReviewsAntibodies
SREBP2 antibody
Product Details
- Cat. No.
- orb13693
- Type
- Primary Antibody
- Clonality
- Polyclonal
- Host
- Rabbit

The supplier does not provide quotations for this antibody through SelectScience. You can search for similar antibodies in our Antibody Directory.
Description
Rabbit polyclonal to SREBP2
Biological Information
- Clonality: Polyclonal
- Host: Rabbit
- Reactivity: Human, Mammalian, Mouse
- Isotype: IgG
Handling
- Quantity: 400 µl
- Storage: USP45 Antibody (Center) can be refrigerated at 2-8°C for up to 6 months. For long term storage, place the at -20°C.
- Buffer: Supplied in PBS with 0.09% (W/V) sodium azide.
Applications
- ELISA (ELISA)
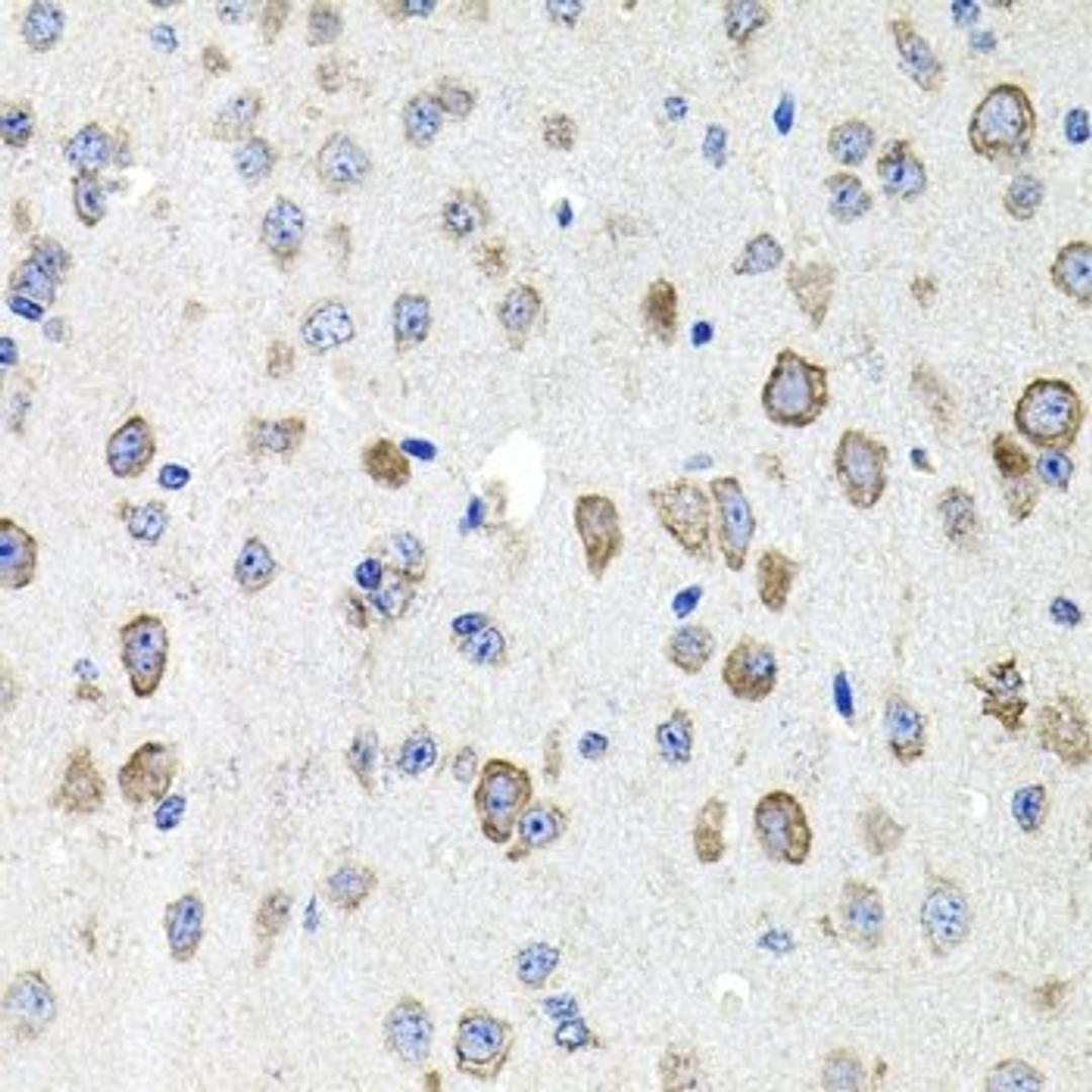
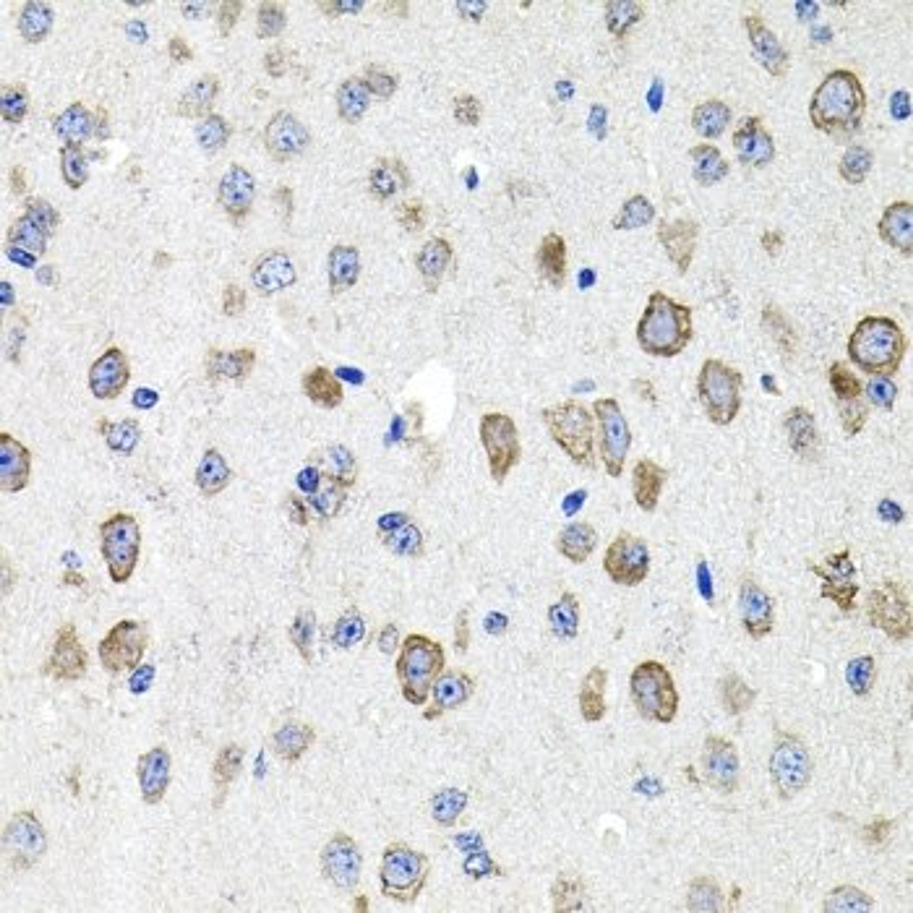
- Immunohistochemistry (Paraffin-Embedded Sections) (IHC (P))
- Western Blotting (WB)


