Product & ReviewsAntibodies
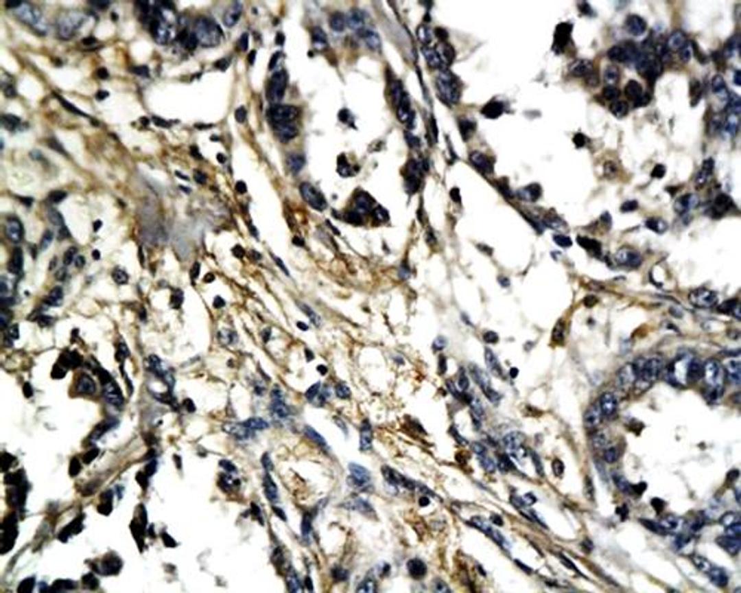
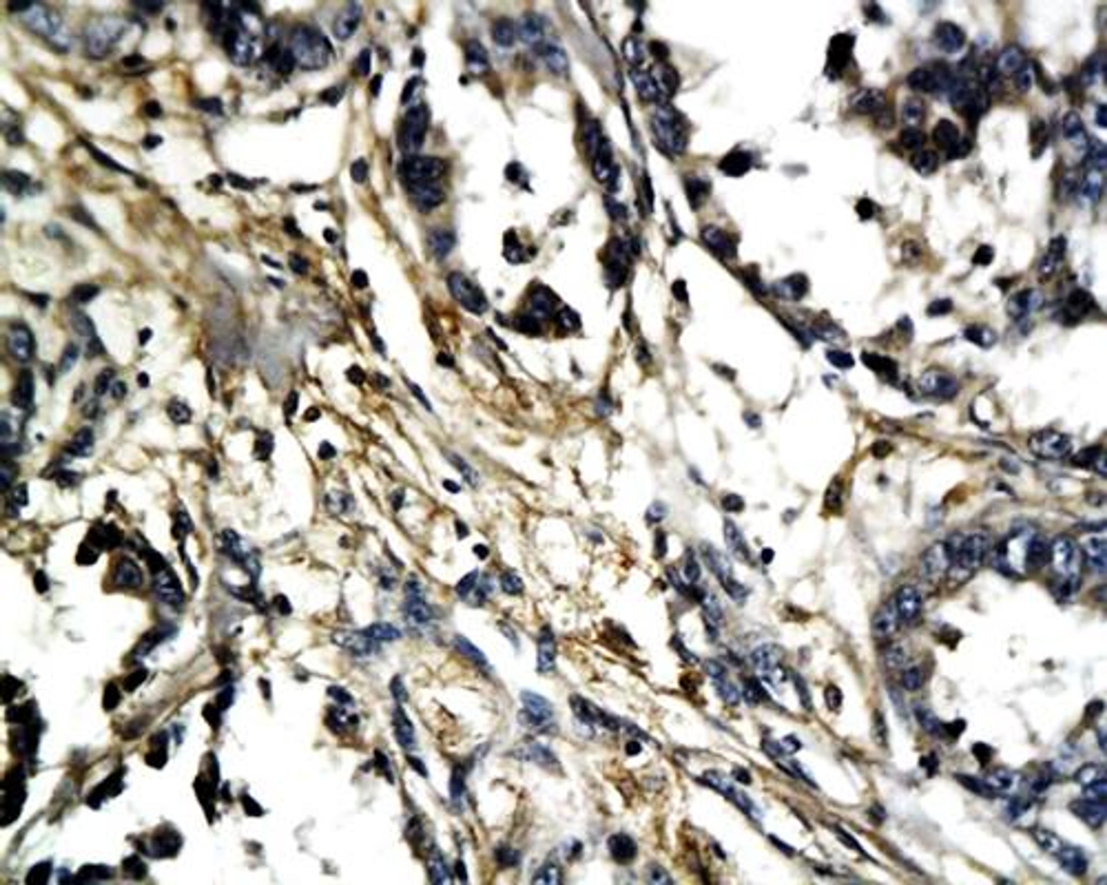
TM4SF3 antibody (FITC)
Product Details
- Cat. No.
- orb103612
- Type
- Primary Antibody
- Clonality
- Polyclonal
- Host
- Rabbit

The supplier does not provide quotations for this antibody through SelectScience. You can search for similar antibodies in our Antibody Directory.
Description
Rabbit Polyclonal to TM4SF3 conjugated to FITC.
Biological Information
- Clonality: Polyclonal
- Host: Rabbit
- Reactivity: Human, Mouse
- Isotype: IgG
Handling
- Quantity: 50 µl, 100 µl, 20 µl (Trial size)
- Storage: Store at -20°C.Stable for 12 months from date of receipt.
- Buffer: Phosphate buffer saline, pH. 7.4, 150mM NaCl, 0.02% sodium azide and 50% glycerol.
Applications
- Immunofluorescence (Paraffin-Embedded Sections) (IF (P))


