Product & ReviewsAntibodies
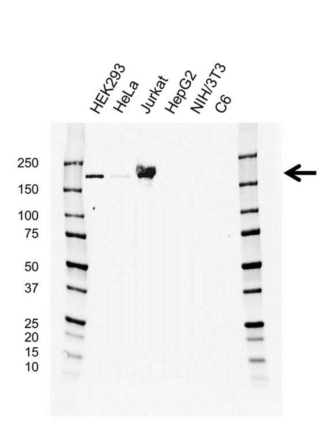
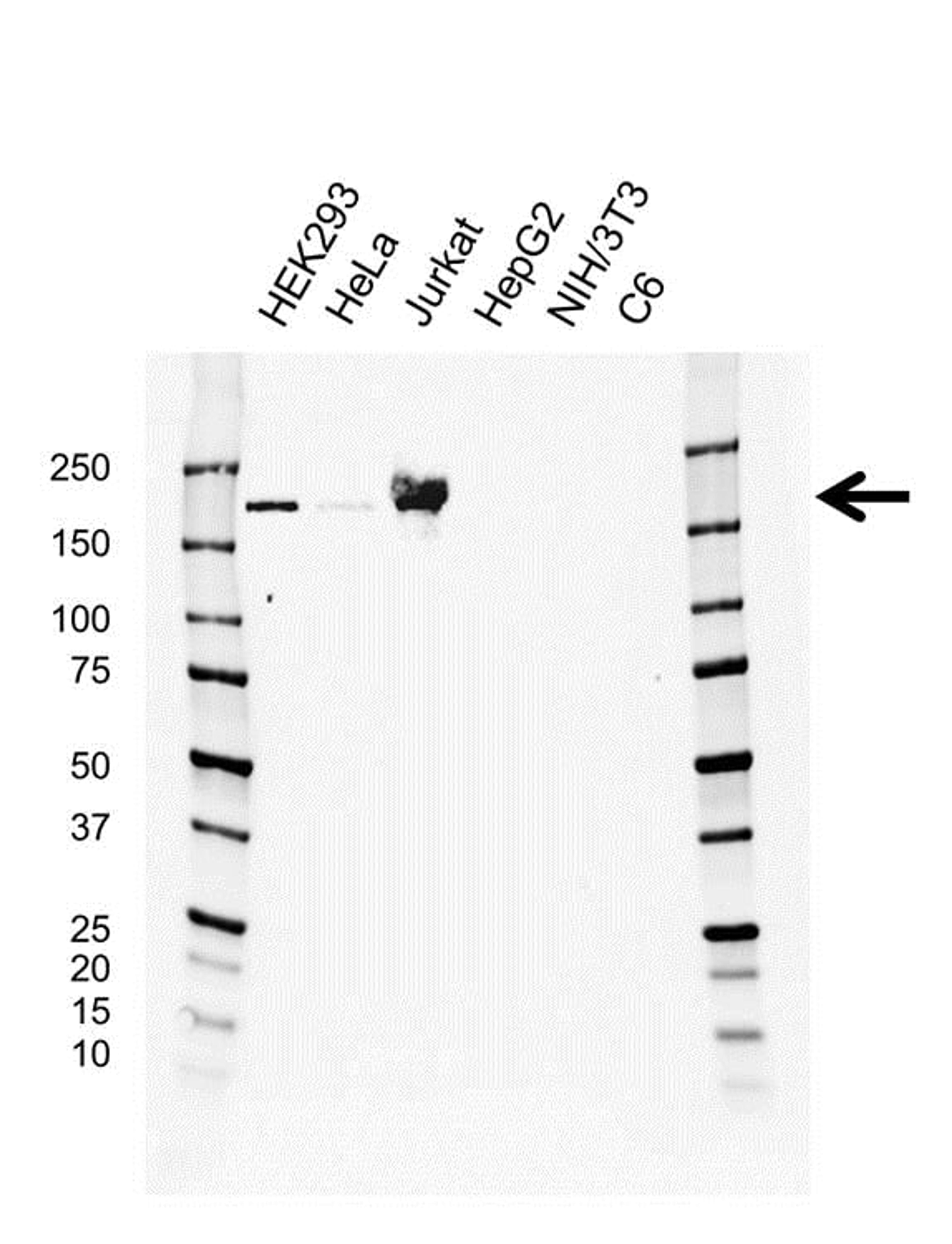
TOPOISOMERASE II ALPHA
Product Details
- Cat. No.
- VMA00677
- Type
- Primary Antibody
- Clonality
- Monoclonal
- Host
- Mouse

The supplier does not provide quotations for this antibody through SelectScience. You can search for similar antibodies in our Antibody Directory.
Description
MOUSE ANTI TOPOISOMERASE II ALPHA
Biological Information
- Clonality: Monoclonal
- Host: Mouse
Handling
- Quantity: 100 µl


