Product & ReviewsAntibodies
TRRAP antibody
Product Details
- Cat. No.
- orb158656
- Type
- Primary Antibody
- Clonality
- Polyclonal
- Host
- Rabbit

The supplier does not provide quotations for this antibody through SelectScience. You can search for similar antibodies in our Antibody Directory.
Description
Rabbit polyclonal antibody to TRRAP, which is also known as TRA1 and PAF400. TRRAP is frequently found in the nucleoplasm and is expressed in the placenta and bone marrow stromal cells. It is overexpressed in the peripheral blood mononuclear cells. It may
Biological Information
- Clonality: Polyclonal
- Host: Rabbit
- Reactivity: Human, Mammalian, Mouse
- Isotype: IgG
Handling
- Quantity: 100 µg
- Storage: Store at -20°C for a year
- Buffer: PBS, 50% glycerol, 0.5% BSA and 0.02% sodium azide.
Applications
- ELISA (ELISA)
- Immunofluorescence (Paraffin-Embedded Sections) (IF (P))
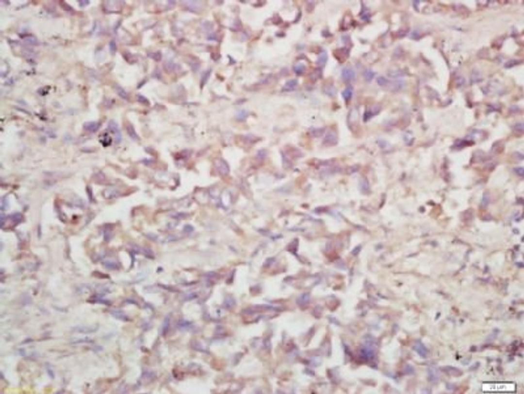
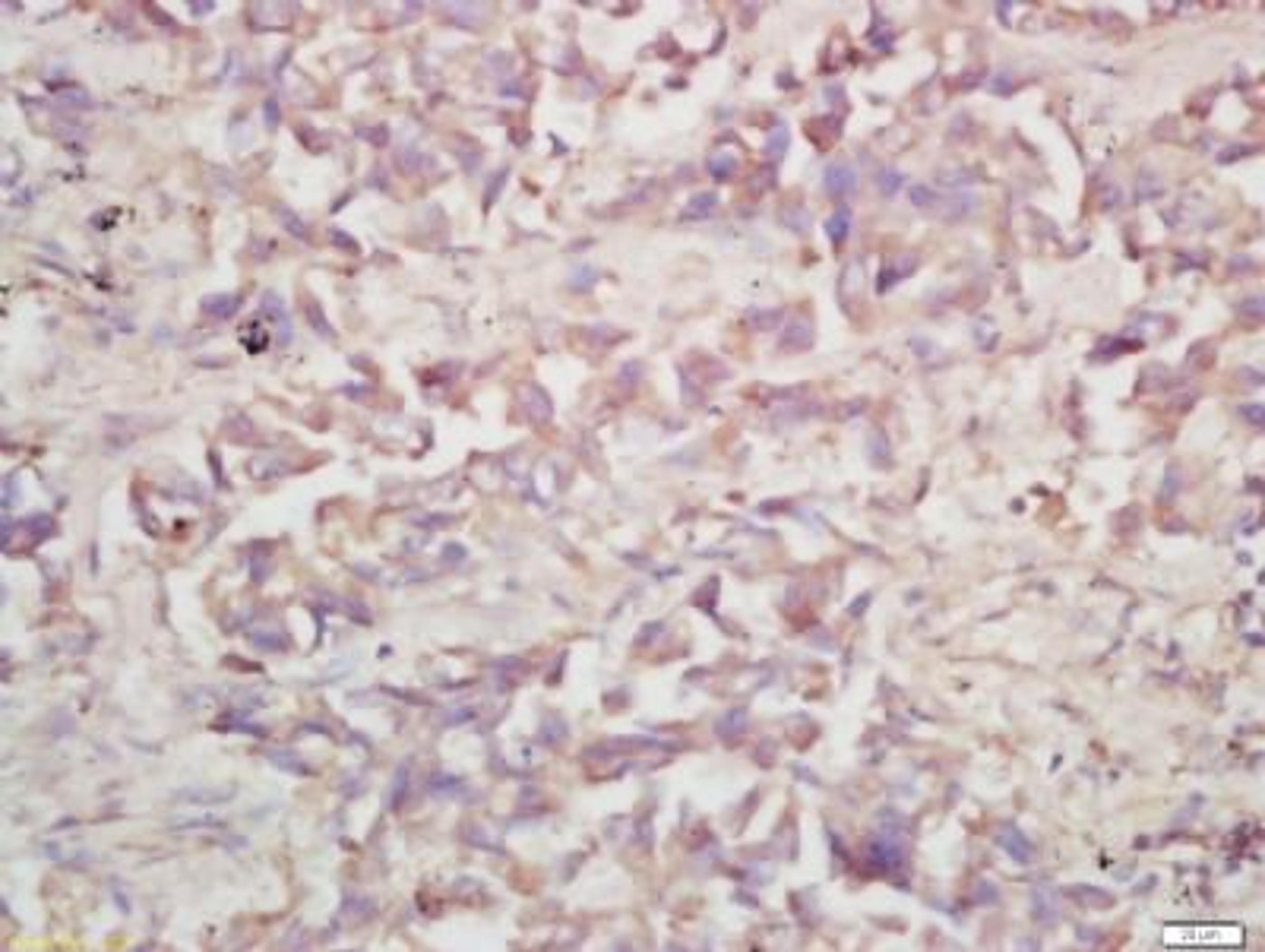
- Immunohistochemistry (Frozen Sections) (IHC (Fr))
- Immunohistochemistry (Paraffin-Embedded Sections) (IHC (P))


